Foram encontradas 60 questões.
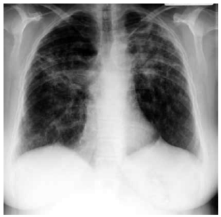
Mulher de 59 anos de idade relata quadro de fadiga, tosse seca e dispneia aos esforços há 1 ano. Nega antecedentes mórbidos, etilismo ou tabagismo. Ao exame físico: PA: 130 x 80 mmHg, FC: 88 bpm; FR: 20 ipm, SatO2: 94% e T: 38 ºC. cardiopulmonar: NDN. Exames séricos: creatinina: 1,1 mg/dL, glicemia: 82 mg/dL, cálcio 11,5 mg/dL (normal: 9 a 10,5), fósforo: 4,7 mg/dL (normal: 3,0 a 4,5), hormônio da paratireoide < 10 pg/mL (normal: 10 a 65) e 1,25-dihidroxivitamina D elevada. Teste cutâneo de tuberculina (PPD) é normal. A radiografia de tórax realizada é mostrada a seguir.

Com os dados descritos, o diagnóstico mais provável é
Provas
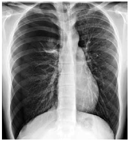
Homem de 39 anos de idade, tabagista, apresenta quadro de dor torácica intensa e dispneia de início agudo. PA: 128 x 78 mmHg, FC: 112 bpm, FR: 28 ipm e oximetria com SatO2: 95%. Não há antecedentes mórbidos e nega etilismo. ECG: taquicardia sinusal. A radiografia de tórax realizada é mostrada a seguir.

Nesse caso descrito, a melhor conduta é
Provas
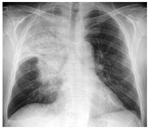
Paciente é atendido com quadro de febre, dispneia, tosse e expectoração amarelada há 5 dias. Não há antecedente mórbido relevante. Ao exame físico: PA: 88 x 58 mmHg, FC: 132 bpm, FR: 46 ipm, T: 38,8 ºC e SatO2: 72%. Eletrólitos e função renal: normais. A radiografia realizada é mostrada a seguir.

Em relação à insuficiência respiratória aguda, a conduta imediata recomendada é
Provas
Homem de 38 anos de idade apresenta quadro de cefaleia persistente há 1 dia, iniciada após esforço físico excessivo. De início, refere dor aguda e intensa periobitária direita, associada a náuseas e dor cervical ipsilateral, seguida de alívio parcial. Há cerca de 1 hora apresentou um episódio de perda visual monocular direita, com cerda de 5 a 10 minutos de duração, mas que cedeu espontaneamente. Ao exame físico: referindo cefaleia; PA: 132 x 82 mmHg, FC: 78 bpm; olho direito com ptose e miose, e reflexo fotomotor normal. A hipótese diagnóstica mais provável é
Provas
Homem de 73 anos apresenta quadro de fraqueza, tontura, anorexia e queda do estado geral há 2 meses, piorando nos últimos dias. Não há comorbidades prévias. Exames séricos: hemoglobina: 7,1 g/dL, leucócitos: 2 720/mm3, plaquetas: 87 600/mm3, volume corpuscular médio: 122 fL, reticulócitos corrigidos: 0,2%, sódio: 138 mEq/L, potássio: 3,5 mEq/L, creatinina: 1,1 mg/dL, glicemia: 88 mg/dL, desidrogenase lática: 3 850 U/L e bilirrubina indireta elevada. Vitamina B12 parenteral diária foi prescrita. Após 3 dias, o paciente evolui com intensa fraqueza muscular e tetraparesia. Constitui a causa mais provável da evolução clínica descrita:
Provas
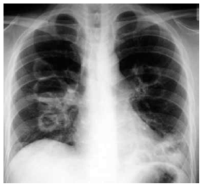
Homem de 62 anos de idade relata quadro de rinite, úlceras orais, fadiga, perda de peso e mal-estar há 3 meses. Há 1 semana evolui com tosse seca, febre baixa, rash cutâneo maculopapular e purpúrico em extremidades inferiores, com hemoptise intensa nas últimas horas, sendo internado na UTI. Exame de urina: hematúria, proteinúria e cilindros hemáticos. A radiografia de tórax realizada é mostrada a seguir.

O diagnóstico mais provável é
Provas
Mulher de 27 anos de idade apresenta quadro de dispneia progressiva há 2 meses, associado a tosse seca, dor torácica, sudorese noturna e perda de peso. Ao exame físico: PA: 112 x 74 mmHg, FC: 108 bpm, FR: 24 ipm e SatO2: 89%; adenomegalias cervicais; abdome e membros inferiores: sem alterações. A radiografia de tórax feita é mostrada a seguir. Uma toracocentese é realizada, com os seguintes achados: células: 5 260/mm3, (95% de linfócitos); proteínas totais: 3,9 g/dL; desidrogenase lática: 2 820 U/L; pH: 7,37; glicose: 72 mg/dL; adenosina deaminase: 18 U/L.

Com os dados descritos, o diagnóstico mais provável é
Provas
Homem de 53 anos de idade apresenta quadro de sonolência e fraqueza há 10 dias, evoluindo com estado confusional agudo há 6 horas. Logo em seguida, apresentou 2 episódios de crises convulsivas. Ele tem histórico de hipertensão e depressão, em uso de hidroclorotiazida, paroxetina e haloperidol. Ao exame físico: rebaixado, escala de Glasgow: 12; PA: 165 x 105 mmHg, FC: 62 bpm, FR: 16 ipm, SatO2: 96% e T: 36,3 ºC; glicemia capilar: 98 mg/dL; tórax: normal; extremidades normais. Exames séricos: sódio: 98 mEq/L, potássio: 4,1 mEq/L, ureia: 12 mg/dL, creatinina 0,3 mg/dL; hemograma sem alterações. O tratamento imediato mais importante é
Provas
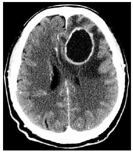
Homem de 43 anos de idade apresenta quadro de tosse produtiva e secreção nasal purulenta há 1 mês. Há 2 semanas evolui com febre, cefaleia, queda do estado geral, sonolência e alteração do comportamento. Ao exame físico: PA: 128 x 82 mmHg, FC: 115 bpm, FR: 22 ipm, SatO2: 95% e T: 38,5 ºC. A tomografia realizada é mostrada a seguir.

O tratamento inicial recomendado é
Provas
Homem de 64 anos de idade é atendido com queixas de náuseas, vômitos, fraqueza e tontura há 3 semanas. Há antecedentes de hipertensão arterial, diabete melito e doença renal crônica. Ao exame físico: sonolento, confuso; PA: 90 x 60 mmHg, FC: 62 bpm, FR: 26 ipm e afebril; glicemia capilar: 136 mg/dL. O ECG realizado é mostrado a seguir. Cerca de 30 minutos após, o paciente apresenta uma PCR em atividade elétrica sem pulso.

Além de RCP de alta qualidade, manejo de via aérea e epinefrina, é correto prescrever por via intravenosa
Provas
Caderno Container