Foram encontradas 60 questões.
Na síndrome nefrótica, várias são as complicações descritas. Em relação às alterações dos distúrbios de coagulação e de dislipidemia, assinale a alternativa correta.
Provas
Dentre as drogas antiarrítmicas removidas pela hemodiálise, consta:
Provas
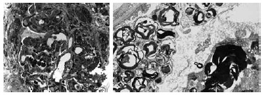
Considerando as imagens a seguir, obtidas por microscopia ótica e microscopia eletrônica, assinale a alternativa que apresenta a descrição da patogênese da doença representada na biópsia renal em questão.

Provas
Paciente em exame de rotina, no ultrassom abdominal, é detectado cisto renal com as seguintes caraterísticas: lesões císticas com uma ou duas septações delgadas (menor que 1,0 mm de espessura) com calcificações finas em suas paredes ou seus septos e cistos benignos hiperdensos com todas as características da classe I (exceto pela homogênea alta densidade), devendo ter 3,0 cm ou menos de diâmetro. Um quarto de sua parede se estendendo para fora do rim, de forma que possa ser medida e não sofra realce após a administração do contraste. De acordo com a classificação de Bosniak, em qual classe se enquadra?
Provas
As microangiopatias trombóticas compreendem um grupo de doenças com diferentes etiopatogenias, podendo ser por alterações hereditárias ou adquiridas. Qual das seguintes alternativas se enquadra na síndrome trombótica microangiopática primária?
Provas
Em relação ao diagnóstico de rejeições agudas mediadas por anticorpos (RAMA), evidências histológicas imunopatológicas da presença de anticorpos e evidência sorológica de anticorpos anti-HLA ou não HLA doador-específico circulantes no Tx renal, é correto afirmar:
Provas
Em relação à calculose renal, quais dos fatores a seguir é responsável por ser promotor da litogênese?
Provas
Na infecção do trato urinário, estão relacionados os fatores predisponentes do hospedeiro e a virulência da bactéria. Assinale a alternativa correta em relação à bactéria.
Provas
Dentre as nefrites tubulointersticiais agudas autoimunes, qual dentre as patologias indicadas a seguir se relaciona com predominância em idosos do sexo masculino, insuficiência renal aguda ou crônica, os critérios diagnósticos são baseados nos achados imunofenotípicos, histológicos, sorológicos, radiográficos e no envolvimento de outros órgãos como pseudo-tumor inflamatório ureteral, fibrose retroperitoneal e relatos de glomerulopatias membranosas secundárias?
Provas
Assinale a alternativa que contém a correta correspondência entre o mecanismo de ação e o nome do fármaco nos estudos para doença renal e diabetes.
Provas
Caderno Container