Foram encontradas 60 questões.
Assinale a alternativa que contempla um medicamento utilizado no tratamento da demência por doença de Alzheimer e que possui ação antiglutamatérgica, como seu principal mecanismo de ação.
Provas
Paciente feminina, 81 anos, hipertensa e independente funcionalmente, é admitida no pronto-socorro com déficit neurológico de início há 3,5 horas, caracterizado por afasia motora e hemiparesia completa e proporcionada à direita. Ao exame, apresenta pontuação no NIH de 10, pressão arterial 170/90 mmHg e ritmo cardíaco irregular. Tomografia de crânio realizada com 4 horas do início dos sintomas sem alterações. Assinale a alternativa correta referente à conduta para esta paciente.
Provas
Assinale a alternativa correta referente à localização do núcleo de Edinger-Westphal.
Provas
Paciente de 29 anos é trazido pelo SAMU com história de crises convulsivas tônico-clônicas generalizadas de início há 20 minutos. Na ambulância, foi medicado com 10 mg de Diazepam endovenoso. Na admissão, paciente encontra-se torporoso, Sat02 em 87% com oxigênio nasal a 5 l/min, afebril e ainda apresentando crises motoras generalizadas. Qual é a conduta inicial mais correta para este paciente?
Provas
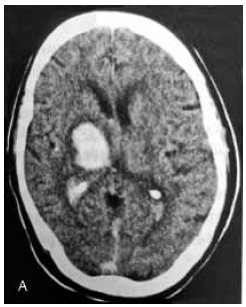
Paciente de 61 anos, admitido no pronto-socorro com duas horas de início de hemiplegia completa à esquerda. Sinais vitais na admissão: Pressão arterial 200/120 mmHg, glicemia capilar 134 mg/dL. Tomografia de crânio sem contraste abaixo. Assinale a alternativa correta referente a este caso clínico.

Provas
Assinale a alternativa que contempla corretamente a síndrome neurológica caracterizada por lesão no tegmento mesencefálico.
Provas
Paciente feminina, 68 anos, comparece a uma consulta ambulatorial acompanhada da filha. A paciente refere que, após quadro de acidente vascular cerebral há 6 meses, está com dificuldade para lembrar-se de fatos recentes, esquece objetos e já se perdeu no bairro onde reside há 30 anos. Possui antecedentes de hipertensão e diabetes, em uso de losartan, hidroclortiazida, gliblencamida e ácido acetil salicílico. Possui tomografia de crânio de 6 meses atrás, confirmando um acidente vascular cerebral lacunar em núcleos da base à esquerda. Assinale a alternativa correta referente à conduta neste caso.
Provas
Assinale a alternativa correta sobre o preenchimento da Declaração de Óbito.
Provas
Feminina, 23 anos, comparece ao consultório com queixa de dor em região do olho direito, intensa, de início há 3 semanas. A dor irradia para hemicrânio e região frontal direitas. Exame físico neurológico sem alterações. Assinale a alternativa correta referente a este caso.
Provas
Paciente de 16 anos, masculino, iniciou quadro de crises convulsivas generalizadas, principalmente ao despertar. Realizou o eletroencefalograma em anexo. Assinale a alternativa que contempla as alternativas terapêuticas de primeira escolha para o tratamento deste paciente.

Provas
Caderno Container