Foram encontradas 60 questões.
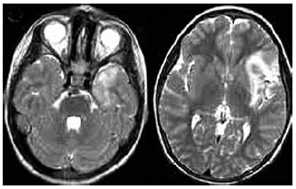
Feminina, 42 anos, admitida no pronto-socorro com história de febre não aferida e confusão mental de início há 3 dias. Enquanto aguardava para ser atendida, apresentou um episódio de crise convulsiva generalizada. Ao exame neurológico, apresentava confusão mental, agitação psicomotora e rigidez de nuca. O exame de neuroimagem encontra-se abaixo.

Exame de líquor mostrou pressão de abertura de 22 mmH20, celularidade de 25 com predomínio de linfócitos, proteinorraquia de 15 mg/dL e glicorraquia de 50 mg/dL. De acordo com este quadro clínico, assinale a alternativa correta.
Provas
No espectro da Esclerose Múltipla, quadros clínicos caracterizados por “apresentar episódios agudos de comprometimento neurológico com duração maior que 24 horas e com intervalo mínimo de 30 dias entre cada nova manifestação” devem iniciar o tratamento preventivo como? Assinale a alternativa correta.
Provas
Qual é a primeira opção terapêutica para um paciente masculino, 19 anos, com queixa de episódios de abalos musculares bilaterais, repetitivos e irregulares em membros superiores e com um padrão eletroencefalográfico descrito como “descargas de espícula-onda e polispícula- onda rápidas, generalizadas e irregulares com frequência de 12 a 15 Hz”? Assinale a alternativa correta.
Provas
Feminina, 52 anos, comparece ao consultório referindo dor súbita e lancinante, de curta duração, em hemiface esquerda, sem desencadeante e associada à sensação de repuxamento da musculatura do mesmo lado. Nega episódios semelhantes. Diante da suspeita diagnóstica de neuralgia do trigêmeo, assinale a alternativa correta.
Provas
Paciente comparece ao seu consultório referindo antecedentes de trombose venosa de seio sagital superior (TVC) com internação hospitalar há 3 meses. Recebeu alta com prescrição de warfarina, estando com INR controlado em torno de 2,5 desde então e fenitoína profilática. Traz consigo os exames realizados durante a internação hospitalar que confirmam o diagnóstico de TVC sem investigação etiológica. Ela solicita uma segunda opinião para continuidade do seu tratamento. Assinale a alternativa correta sobre esse caso.
Provas
Situações em que o paciente consegue “executar componentes individuais de um ato motor complexo, mas não consegue executar a sequência inteira corretamente” são definidas como
Provas
Paciente de 62 anos, masculino, hipertenso e diabético é admitido com 2,5 horas de vertigem súbita, tetraparesia e sonolência. Tomografia de crânio demonstra hipersinal em território de artéria basilar. Sinais vitais: pressão arterial 180/90 mmHg, glicemia capilar 134 mg/dL e Saturação de O2 em ar ambiente de 94%. Assinale a conduta inicial correta para este paciente.
Provas
Assinale a afirmativa correta referente às neoplasias do sistema nervoso central.
Provas
Paciente de 50 anos queixa-se de parestesias nas mãos e pés, simétricas, com evolução para sensação de queimação, anestesia nos pés e perda de força na mão direita. Uma semana depois, evoluiu com paresia em membro superior direito e mialgia generalizada. Antecedentes de artrite reumatoide em uso de metotrexate. Assinale a alternativa que demonstra corretamente o resultado do exame eletroneuromiográfico dos 4 membros realizado nesta paciente.
Provas
Masculino, 44 anos, queixa-se de dificuldade de concentração há um ano e sonolência excessiva durante o dia. Nega estar ansioso ou deprimido. A esposa relata que o paciente ronca bastante à noite, apresenta muita agitação durante o sono e algumas vezes apresenta engasgos e parece que “para de respirar”. Ao exame, apresenta circunferência abdominal aumentada e circunferência cervical > 43 cm. Pressão arterial aferida de 126/80 mmHg. Assinale a conduta mais adequada para este quadro clínico.
Provas
Caderno Container