Foram encontradas 1.540 questões.
Radiografias em PA e perfil do punho de paciente masculino, 54 anos, com queda com a mão espalmada, praticando atividade esportiva.


A fratura do rádio mostrada nas imagens pode ser classificada como fratura de
Provas
Analise a imagem a seguir e assinale a alternativa que apresenta a lesão observada e o mecanismo mais provável.

Provas
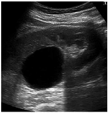
Paciente de 50 anos, sem comorbidades. Em exame de rotina, foi encontrada a imagem a seguir. Diante do achado da imagem, e com a opinião bem definida emitida pelo ultrassonografista no laudo, qual é a conduta mais adequada do nefro–urologista?

Provas
Conforme a onda de ultrassom se propaga no corpo do paciente, ela sofre mudanças físicas.
Assinale a alternativa que melhor descreve essas mudanças.
Provas
Com relação às patologias salivares, assinale a correta.
Provas
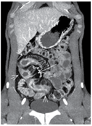
Dor abdominal constante e, às vezes, episódios de diarreia. Nesse caso, considerando-se a imagem a seguir, o diagnóstico mais provável é:

Provas
O ângulo de insonação do feixe doppler com o vaso estudado
Provas
Sobre resultados de biópsias de lesões borderline de mama, é correto afirmar:
Provas
A utilização de diafragma nos aparelhos de raios X tem a função de
Provas
Considere o caso e a imagem a seguir.
Paciente com cefaleia há três semanas. Procurou atendimento anteriormente, mas foi medicado e liberado. Piorou com tonturas e sensação de desmaio e voltou ao pronto-socorro, onde realizaram uma tomografia do crânio.

Em face do exemplo, o diagnóstico é:
Provas
Caderno Container