Foram encontradas 60 questões.
De acordo com a Lei Orgânica da Saúde, as ações e os serviços de saúde executados pelo Sistema Único de Saúde (SUS), seja diretamente ou mediante participação complementar da iniciativa privada, serão organizados de forma
Provas
Com relação ao esquema de tratamento da tuberculose padronizado pelo Ministério da Saúde, assinale a alternativa correta.
Provas
De acordo com as diretrizes do Ministério da Saúde sobre “as estratégias para o cuidado da pessoa com doença crônica na atenção básica: hipertensão arterial sistêmica”, qual opção correlaciona a situação clínica com a classe medicamentosa indicada?
Provas
De acordo com as diretrizes do Ministério da Saúde, sobre as “estratégias para o cuidado da pessoa com doença crônica na atenção básica: diabete melittus”, é correto afirmar que é meta de controle glicêmico para crianças e adolescentes com DM tipo 1:
Provas
Na atenção primária à saúde, dentre as opções a seguir, a abordagem mais efetiva com relação à sexualidade na adolescência é:
Provas
Para evitar a flexão passiva da coluna cervical e permitir vias aéreas pérvias adequadamente, no atendimento inicial de crianças traumatizadas pequenas (menores de 1 ano de idade), deve-se realizar qual dos procedimentos a seguir indicados?
Provas
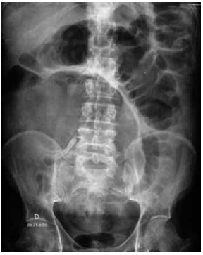
Homem, 70 anos, apresenta tumor no cólon esquerdo e está fazendo exames de estadiamento e avaliação pré-operatória. O exame de colonoscopia completo não revelou lesões sincrônicas. Aguardando ser novamente atendido, começou a apresentar dor abdominal e distensão importante do abdome, com parada de eliminação de gases e fezes. Procurou o pronto-socorro, sendo que lhe foi solicitada uma radiografia do abdome (VIDE IMAGEM).

Após avaliação, a equipe cirúrgica deverá indicar ao paciente
Provas
Mulher, 14 anos, com intensa dor em cólica no hipogástrio, a qual se iniciou correspondendo ao início do período menstrual. Havia feito automedicação, tomando comprimido de antiespasmódico na sua residência com pouca melhora. Passou em consulta com ginecologista de seu convênio 1 semana após o início do quadro. Ao exame físico, apresentava fácies de dor, em bom estado geral, afebril, FC: 80 bpm, PA: 110/75 mmHg, Temp. ax.: 36,4 ºC, corada e hidratada. Exame do tórax normal. Exame do abdome: plano e flácido com discreta dor à palpação profunda no hipogástrio. Foi medicada com anti-inflamatório, com melhora importante do quadro. Trata-se de um quadro
Provas
Homem, 38 anos, pardo, apresenta quadro de intensa dor abdominal aguda a qual se inicia no epigástrio há 3 horas, mas logo se torna difusa em toda a cavidade abdominal. Teve um episódio de vômito de conteúdo gástrico (líquido claro com grumos escuros e moderada quantidade de muco). Ao exame, o paciente permanece imóvel e à palpação do abdome percebe-se intensa rigidez difusa de toda a parede abdominal. À ausculta, presença de ruídos hidroaéreos diminuídos. À percussão, nota-se hipertimpanismo em região hepática no hipocôndrio direito.
Qual o diagnóstico e o método de eleição para a sua confirmação?
Provas
Homem, 30 anos, com antecedente de doença ulcerosa péptica, há 3 semanas, passa a apresentar quadro de vômitos, tardios em relação às refeições, ocorrendo 3 a 6 horas após a alimentação, cujo conteúdo é de restos alimentares e líquido, sem bile. Foi atendido em unidade de urgência com desidratação acentuada, oligúrico, pulso elevado e hipotenso. Qual o distúrbio hidroeletrólico apresentado por esse paciente, e o correspondente pH urinário?
Provas
Caderno Container