Foram encontradas 60 questões.
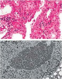
No transplante renal, tem sido descritas as infecções oportunistas. As imagens a seguir na microscopia óptica e eletrônica sugerem:

(Arquivo pessoal; imagens usadas com autorização.)
Provas
Nas neoplasias do trato urinário, o tumor de bexiga é o tumor mais frequente. Assinale a alternativa que corresponde corretamente ao estadiamento T3a.
Provas
A literatura aponta várias doenças hereditárias associadas a nefrocalcinose e nefrolitíase por cálculos de oxalato de cálcio ou fosfato de cálcio, sendo chamadas de doenças monogênicas. A doença caracterizada por locus herança Xp 11.22/recessiva ligada ao X, com mutação no gene CLCN5 com alteração na acidificação, apresentando hipercalciúria, hipofosfatemia, proteinúria de baixo peso molecular, nefrolitíase e possível doença renal crônica.
O diagnóstico correto é:
Provas
Na alcalose metabólica por perda de hidrogênio, assinale a alternativa correta.
Provas
Na Síndrome Nefrótica, a dislipidemia é uma complicação frequente, estando alteradas várias frações do colesterol, lipoproteínas, apoliproteínas e receptores.
A respeito dessas alterações, assinale a alternativa correta.
Provas
Sobre a tuberculose no Brasil, pode-se falar no seu ressurgimento nos dias de hoje, principalmente nos pacientes imunocomprometidos. Com relação à tuberculose renal, assinale a alternativa correta.
Provas
No diagnóstico de hipertensão arterial secundária, com suspeita de feocromocitoma na investigação, assinale a alternativa que indica corretamente o exame que apresenta especificidade de 100%.
Provas
Na síndrome nefrótica primária, vários medicamentos são utilizados para tratamento. Assinale a alternativa que apresenta corretamente a medicação que causa hepatotoxicidade, linfopenia, alterações gastrointestinais.
Provas
Assinale a alternativa correta em relação ao uso de medicamentos que são litogênicos na sua composição primária de cálculos e à sua apresentação de imagem radiológica.
Provas
Assinale a alternativa que corretamente apresenta a resposta compensatória esperada nos distúrbios simples da acidose metabólica.
Provas
Caderno Container