Foram encontradas 1.460 questões.
Mulher de 45 anos está internada no 11º dia pós-operatório de transplante renal, tendo, até então, boa evolução. Todavia, ela desenvolve infecção urinária fúngica, iniciando fluconazol. Nos próximos dias, a produção de urina do paciente cai e a creatinina do paciente começa a subir. Ela também parece sonolenta na UTI e, quando questionada sobre como se sente, reclama de dor de cabeça. Os sinais vitais da paciente permaneceram estáveis, exceto por hipertensão leve. Anormalidades laboratoriais também incluem piora da hiperglicemia e nova hipercalemia.
Constitui a causa mais provável desses sinais e sintomas durante a evolução:
Provas
Homem de 70 anos com história de hipertensão, diabete tipo 2 e doença renal crônica é internado na UTI após um acidente automobilístico com fraturas múltiplas. Ele recebe dipirona, cetoprofeno e morfina, mas nenhuma outra forma de sedação/analgesia. Durante a evolução, ele desenvolve delírio hiperativo associado a tremores, mioclonias difusas e asterixis, sem febre ou cefaleia. Glicemia capilar: 132 mg/dL. Pressão arterial: 172 x 108 mmHg. Os nervos cranianos estão intactos com movimentação normal nas quatro extremidades. A tomografia sem é negativa para patologia intracraniana aguda.
Considerando a principal hipótese para a evolução do paciente, nesse momento, o tratamento mais eficaz é
Provas
Mulher de 18 anos sem histórico médico relevante apresenta cefaleia e febre. O líquido cefalorraquidiano mostra: leucócitos: 234/mm3 (90% de neutrófilos); glicose: 23 mg/dL; proteína: 300 mg/dL. Ceftriaxona e vancomicina são iniciados e no 2º dia de internação ela desenvolve poliúria. O sódio sérico de hoje é 158 mEq/L. Os achados urinários são: sódio: 20 mEq/L e osmolalidade de 240 mOsmol/kgH2O.
A causa mais provável dessa evolução é
Provas
Homem de 55 anos apresenta dor abdominal e febre de 12 horas de duração. Exame físico: temperatura: 38,8 ºC; pressão arterial: 90 x 60 mmHg; frequência cardíaca: 110/min; frequência respiratória: 26/min; saturação de oxigênio: 95% em ar ambiente; ele está confuso e observa-se icterícia escleral; há sensibilidade à palpação no quadrante superior direito; o restante do exame é inespecífico; Exames séricos: leucócitos: 22.000/mm3; alanina aminotransferase: 448 U/L; bilirrubina total: 5,0 mg/dL (direta: 4,0); creatinina: 2,0 mg/dL; lipase: 56 U/L. Ultrassonografia do quadrante superior direito revela fígado e vesícula biliar de aparência normal com ducto biliar dilatado.
Considerando a principal hipótese diagnóstica, é correto afirmar:
Provas
Mulher de 60 anos com história de hipertensão e diabete melito é internada devido cefaleia súbita e explosiva. O exame físico demonstra pressão arterial de 180 x 90 mmHg, frequência cardíaca oscila de 42 a 55 bpm, crepitações em bases pulmonares, sem galope ou sopro cardíaco. A tomografia demonstra uma hemorragia subaracnóidea aguda por provável ruptura de aneurisma. A troponina sérica é de 0,62 ng/dL (normal: < 0,1). O eletrocardiograma realizado é mostrado a seguir.

(Arquivo pessoal: imagem usada com autorização.)
Nessa circunstância, é correto afirmar:
Provas
Em relação ao paciente em terapia renal substitutiva contínua utilizando citrato de sódio como anticoagulante, é correto afirmar:
Provas
Em relação ao suporte nutricional em pacientes com lesão renal aguda, é correto afirmar:
Provas
Homem de 38 anos chega ao serviço de saúde com queixa principal de dor no braço direito. O paciente relata que é usuário de drogas intravenosas e o local da injeção tornou-se cada vez mais doloroso. Há eritema significativo e endurecimento ao longo da maior parte do braço direito ao redor do local da ferida por vários centímetros circunferencialmente. Ele refere que essas mudanças ocorreram rapidamente nas últimas 6 horas. Ao exame, ele está febril, taquicárdico e normotenso; há dor desproporcional ao exame mesmo com toque leve, provocando uma resposta de dor vigorosa; não se nota bolhas ou crepitação palpável à palpação.
Em relação à principal hipótese diagnóstica, a conduta inicial correta é:
Provas
Homem de 33 anos é internado com quadro de convulsões reentrantes após tentativa de suicídio com medicamentos, mas o quadro teve pouca resposta aos anticonvulsivantes habituais. Todavia, após a aplicação de alta dose de piridoxina, as convulsões cederam. Qual é o medicamento que, mais provavelmente, o paciente ingeriu?
Provas
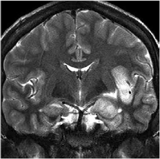
Homem de 63 anos com histórico de hipertensão, tabagismo (30 maços-ano) e etilismo é internado com febre e convulsões de início recente. Ele apresenta espasmos faciais, tremores nos braços e pernas e alguns episódios de tremores aparentemente generalizados que duram 1 hora. Ele recebe o total de 20 mg de diazepam intravenoso, o que interrompe a atividade convulsiva. Ao chegar na UTI, o estado mental começa a piorar e ele é intubado e colocado em ventilação mecânica. A ressonância magnética (coronal, T2) realizada é mostrada a seguir.

(Arquivo pessoal: imagem usada com autorização.)
Considerando a principal hipótese diagnóstica, é correto afirmar:
Provas
Caderno Container