Foram encontradas 60 questões.
Ao auscultar mulher de 20 anos, nota-se sopro sistólico em crescendo-decrescendo que dura até a 2ª bulha cardíaca (finalizando junto com a P2, após a A2), sugerindo a presença de
Provas
Assinale a alternativa correta sobre inotrópicos utilizados na insuficiência cardíaca.
Provas
Cirurgias paliativas podem ser indicadas no tratamento de cardiopatias congênitas cianóticas. Entre elas, a cirurgia de Glenn faz a seguinte conexão:
Provas
Assinale a alternativa que apresenta uma situação na qual o teste ergométrico está contraindicado.
Provas
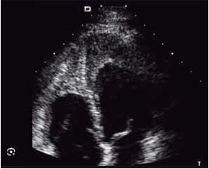
Paciente com dispneia aos esforços realiza o ecocardiograma a seguir.

(Arquivo pessoal; imagem usada com autorização)
A imagem sugere qual causa de miocardiopatia restritiva?
Provas
Mulher, 40 anos, portadora de lúpus eritematoso sistêmico, inicia dor torácica ventilatório-dependente. A ausculta mostra atrito pericárdico. Para o tratamento de primeira escolha da condição atual, deve-se considerar
Provas
Assinale a alternativa correta sobre a oclusão total crônica (OTC) de artéria coronária.
Provas
Paciente com pericardite aguda é submetido à biópsia pericárdica, que demonstra granulomas, porém sem presença de necrose caseosa. Uma possível hipótese diagnóstica é
Provas
Na avaliação de mulheres com dor torácica na sala de emergência, é importante considerar que, em comparação aos homens,
Provas
Homem, 75 anos, apresenta infarto agudo do miocárdio com supradesnivelamento do segmento ST tratado com trombolítico com sucesso. Aproximadamente 24 horas após, realiza cateterismo cardíaco, que, ao verificar a pressão em átrio esquerdo, observa a curva a seguir.

(Arquivo pessoal; imagem usada com autorização)
O achado sugere
Provas
Caderno Container