Foram encontradas 60 questões.
A questão terá por base o seguinte caso clínico:
Paciente de 95 anos tem o diagnóstico de osteoporose após sofrer uma fratura de fêmur proximal depois de ter caído da própria altura. Previamente deambulador domiciliar, caminhava com dificuldade utilizando um instrumento de auxílio à marcha. Não havia caído previamente.
Tem de antecedentes uma síndrome demencial, sem investigação, mas em uso de clorpromazina 5 gts, via oral, à noite, devido a agitação psicomotora. Além disso, é portador de insuficiência cardíaca de fração de ejeção preservada (ecocardiograma: fração de ejeção do ventrículo esquerdo de 62%, insuficiência mitral grave, ritmo cardíaco irregular, compatível com fibrilação atrial).
Seus medicamentos de uso contínuo: dapaglifozina 10 mg/d, rivaroxabana 15 mg/d, furosemida s/n.
Seus exames laboratoriais: sódio: 142 mEq/L, potássio: 4,3 mEq/L, ureia: 177 mg/dL, creatinina: 2,42 mg/dL, depuração estimada de creatinina: 24 mL/min., cálcio ionizado: 1,25 mmol/L (VN: 1,17 a 1,43), fósforo: 5,1 mg/dL (VN: 2,5 a 4,5), fosfatase alcalina: 77 U/L (VN: 30 a 120 U/L), paratormônio: 250 pg/mL (VN: 12 A 65 pg/mL), 25 OH Vitamina D: 9,7 ng/ mL, hemoglobina: 6,8 g/dL, hematócrito: 20,6%, leucócitos: 5960 / mL, plaquetas: 123 000 / mL; ferro: 40 mcg/dL (VN: 70 A 180), saturação de ferro: 22% (VN: 20 A 50%), ferritina: 276 ng/mL (VN: 23,9 A 336,2), capacidade total e latente de ligação de transferrina, respectivamente, 176 mcg/dL (VN: 225 a 535) e 136 mcg/dL (VN: 155 a 355).
Quanto ao uso da rivaroxabana, assinale a alternativa correta.
Provas
A questão terá por base o seguinte caso clínico:
Paciente de 95 anos tem o diagnóstico de osteoporose após sofrer uma fratura de fêmur proximal depois de ter caído da própria altura. Previamente deambulador domiciliar, caminhava com dificuldade utilizando um instrumento de auxílio à marcha. Não havia caído previamente.
Tem de antecedentes uma síndrome demencial, sem investigação, mas em uso de clorpromazina 5 gts, via oral, à noite, devido a agitação psicomotora. Além disso, é portador de insuficiência cardíaca de fração de ejeção preservada (ecocardiograma: fração de ejeção do ventrículo esquerdo de 62%, insuficiência mitral grave, ritmo cardíaco irregular, compatível com fibrilação atrial).
Seus medicamentos de uso contínuo: dapaglifozina 10 mg/d, rivaroxabana 15 mg/d, furosemida s/n.
Seus exames laboratoriais: sódio: 142 mEq/L, potássio: 4,3 mEq/L, ureia: 177 mg/dL, creatinina: 2,42 mg/dL, depuração estimada de creatinina: 24 mL/min., cálcio ionizado: 1,25 mmol/L (VN: 1,17 a 1,43), fósforo: 5,1 mg/dL (VN: 2,5 a 4,5), fosfatase alcalina: 77 U/L (VN: 30 a 120 U/L), paratormônio: 250 pg/mL (VN: 12 A 65 pg/mL), 25 OH Vitamina D: 9,7 ng/ mL, hemoglobina: 6,8 g/dL, hematócrito: 20,6%, leucócitos: 5960 / mL, plaquetas: 123 000 / mL; ferro: 40 mcg/dL (VN: 70 A 180), saturação de ferro: 22% (VN: 20 A 50%), ferritina: 276 ng/mL (VN: 23,9 A 336,2), capacidade total e latente de ligação de transferrina, respectivamente, 176 mcg/dL (VN: 225 a 535) e 136 mcg/dL (VN: 155 a 355).
Em relação ao uso de dapaglifozina, assinale a alternativa correta.
Provas
A questão terá por base o seguinte caso clínico:
Paciente de 95 anos tem o diagnóstico de osteoporose após sofrer uma fratura de fêmur proximal depois de ter caído da própria altura. Previamente deambulador domiciliar, caminhava com dificuldade utilizando um instrumento de auxílio à marcha. Não havia caído previamente.
Tem de antecedentes uma síndrome demencial, sem investigação, mas em uso de clorpromazina 5 gts, via oral, à noite, devido a agitação psicomotora. Além disso, é portador de insuficiência cardíaca de fração de ejeção preservada (ecocardiograma: fração de ejeção do ventrículo esquerdo de 62%, insuficiência mitral grave, ritmo cardíaco irregular, compatível com fibrilação atrial).
Seus medicamentos de uso contínuo: dapaglifozina 10 mg/d, rivaroxabana 15 mg/d, furosemida s/n.
Seus exames laboratoriais: sódio: 142 mEq/L, potássio: 4,3 mEq/L, ureia: 177 mg/dL, creatinina: 2,42 mg/dL, depuração estimada de creatinina: 24 mL/min., cálcio ionizado: 1,25 mmol/L (VN: 1,17 a 1,43), fósforo: 5,1 mg/dL (VN: 2,5 a 4,5), fosfatase alcalina: 77 U/L (VN: 30 a 120 U/L), paratormônio: 250 pg/mL (VN: 12 A 65 pg/mL), 25 OH Vitamina D: 9,7 ng/ mL, hemoglobina: 6,8 g/dL, hematócrito: 20,6%, leucócitos: 5960 / mL, plaquetas: 123 000 / mL; ferro: 40 mcg/dL (VN: 70 A 180), saturação de ferro: 22% (VN: 20 A 50%), ferritina: 276 ng/mL (VN: 23,9 A 336,2), capacidade total e latente de ligação de transferrina, respectivamente, 176 mcg/dL (VN: 225 a 535) e 136 mcg/dL (VN: 155 a 355).
Assinale a alternativa quanto a causa da anemia.
Provas
A questão terá por base o seguinte caso clínico:
Paciente de 95 anos tem o diagnóstico de osteoporose após sofrer uma fratura de fêmur proximal depois de ter caído da própria altura. Previamente deambulador domiciliar, caminhava com dificuldade utilizando um instrumento de auxílio à marcha. Não havia caído previamente.
Tem de antecedentes uma síndrome demencial, sem investigação, mas em uso de clorpromazina 5 gts, via oral, à noite, devido a agitação psicomotora. Além disso, é portador de insuficiência cardíaca de fração de ejeção preservada (ecocardiograma: fração de ejeção do ventrículo esquerdo de 62%, insuficiência mitral grave, ritmo cardíaco irregular, compatível com fibrilação atrial).
Seus medicamentos de uso contínuo: dapaglifozina 10 mg/d, rivaroxabana 15 mg/d, furosemida s/n.
Seus exames laboratoriais: sódio: 142 mEq/L, potássio: 4,3 mEq/L, ureia: 177 mg/dL, creatinina: 2,42 mg/dL, depuração estimada de creatinina: 24 mL/min., cálcio ionizado: 1,25 mmol/L (VN: 1,17 a 1,43), fósforo: 5,1 mg/dL (VN: 2,5 a 4,5), fosfatase alcalina: 77 U/L (VN: 30 a 120 U/L), paratormônio: 250 pg/mL (VN: 12 A 65 pg/mL), 25 OH Vitamina D: 9,7 ng/ mL, hemoglobina: 6,8 g/dL, hematócrito: 20,6%, leucócitos: 5960 / mL, plaquetas: 123 000 / mL; ferro: 40 mcg/dL (VN: 70 A 180), saturação de ferro: 22% (VN: 20 A 50%), ferritina: 276 ng/mL (VN: 23,9 A 336,2), capacidade total e latente de ligação de transferrina, respectivamente, 176 mcg/dL (VN: 225 a 535) e 136 mcg/dL (VN: 155 a 355).
Considerando o caso clínico descrito, assinale a alternativa correta quanto a causa da osteoporose.
Provas
A questão dize respeito ao caso clínico descrito a seguir.
Paciente de 80 anos procura o consultório médico com queixa de esquecimentos e confusão mental há 3 anos. Seus déficits vinham piorando lenta e paulatinamente. Relata uma piora importante, de forma súbita, há cerca de 2 anos, quando apresentou um desvio de rima labial para direita e diminuição da força muscular do membro superior esquerdo. Concomitantemente, paciente deixou de cozinhar por deixar a comida queimar no fogo. Deixou de realizar compras na feira porque esquecia do que precisava comprar e se atrapalhava com os pagamentos. Tornou-se apática, desinteressada, triste e vem se isolando socialmente.
Paciente mantém-se independente para as atividades básicas, mas tem comprometimento para as atividades instrumentais.
Vem apresentando diminuição da velocidade de marcha, autorrelato de cansaço e força de preensão palmar de 12 Kgf.
Medicação de uso continuado: ácido acetilsalicílico 100 mg após o almoço, atorvastatina 40 mg uma vez ao dia, memantina 10 mg 1x/d, donepezila 10 mg 1x/d, losartana 50 mg 12/12h, atenolol 25 mg 12/12h, insulina NPH 6 unidades por via subcutânea pela manhã e à noite, metformina 850 mg 3x/d, gliclazida 60 mg 1x/d e evogliptina 5 mg pela manhã.
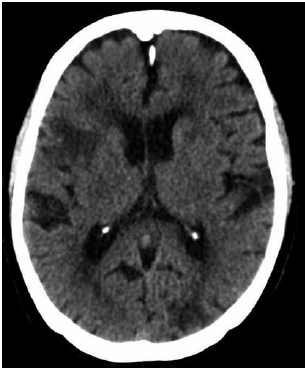
A paciente realizou uma tomografia computadorizada de crânio.

(Arquivo pessoal; imagem usada com autorização)
Em relação ao tratamento do diabetes, a paciente está utilizando insulina NPH 6U pela manhã e à noite, metformina 850 mg 3x/d, gliclazida 60 mg/d e evogliptina 5 mg/d.
a alternativa correta.
Provas
A questão dize respeito ao caso clínico descrito a seguir.
Paciente de 80 anos procura o consultório médico com queixa de esquecimentos e confusão mental há 3 anos. Seus déficits vinham piorando lenta e paulatinamente. Relata uma piora importante, de forma súbita, há cerca de 2 anos, quando apresentou um desvio de rima labial para direita e diminuição da força muscular do membro superior esquerdo. Concomitantemente, paciente deixou de cozinhar por deixar a comida queimar no fogo. Deixou de realizar compras na feira porque esquecia do que precisava comprar e se atrapalhava com os pagamentos. Tornou-se apática, desinteressada, triste e vem se isolando socialmente.
Paciente mantém-se independente para as atividades básicas, mas tem comprometimento para as atividades instrumentais.
Vem apresentando diminuição da velocidade de marcha, autorrelato de cansaço e força de preensão palmar de 12 Kgf.
Medicação de uso continuado: ácido acetilsalicílico 100 mg após o almoço, atorvastatina 40 mg uma vez ao dia, memantina 10 mg 1x/d, donepezila 10 mg 1x/d, losartana 50 mg 12/12h, atenolol 25 mg 12/12h, insulina NPH 6 unidades por via subcutânea pela manhã e à noite, metformina 850 mg 3x/d, gliclazida 60 mg 1x/d e evogliptina 5 mg pela manhã.
A paciente realizou uma tomografia computadorizada de crânio.

(Arquivo pessoal; imagem usada com autorização)
Em relação ao tratamento anti-hipertensivo, assinale a alternativa correta.
Provas
A questão dize respeito ao caso clínico descrito a seguir.
Paciente de 80 anos procura o consultório médico com queixa de esquecimentos e confusão mental há 3 anos. Seus déficits vinham piorando lenta e paulatinamente. Relata uma piora importante, de forma súbita, há cerca de 2 anos, quando apresentou um desvio de rima labial para direita e diminuição da força muscular do membro superior esquerdo. Concomitantemente, paciente deixou de cozinhar por deixar a comida queimar no fogo. Deixou de realizar compras na feira porque esquecia do que precisava comprar e se atrapalhava com os pagamentos. Tornou-se apática, desinteressada, triste e vem se isolando socialmente.
Paciente mantém-se independente para as atividades básicas, mas tem comprometimento para as atividades instrumentais.
Vem apresentando diminuição da velocidade de marcha, autorrelato de cansaço e força de preensão palmar de 12 Kgf.
Medicação de uso continuado: ácido acetilsalicílico 100 mg após o almoço, atorvastatina 40 mg uma vez ao dia, memantina 10 mg 1x/d, donepezila 10 mg 1x/d, losartana 50 mg 12/12h, atenolol 25 mg 12/12h, insulina NPH 6 unidades por via subcutânea pela manhã e à noite, metformina 850 mg 3x/d, gliclazida 60 mg 1x/d e evogliptina 5 mg pela manhã.
A paciente realizou uma tomografia computadorizada de crânio.

(Arquivo pessoal; imagem usada com autorização)
Assinale a alternativa correta quanto à prescrição de memantina a essa paciente.
Provas
A questão dize respeito ao caso clínico descrito a seguir.
Paciente de 80 anos procura o consultório médico com queixa de esquecimentos e confusão mental há 3 anos. Seus déficits vinham piorando lenta e paulatinamente. Relata uma piora importante, de forma súbita, há cerca de 2 anos, quando apresentou um desvio de rima labial para direita e diminuição da força muscular do membro superior esquerdo. Concomitantemente, paciente deixou de cozinhar por deixar a comida queimar no fogo. Deixou de realizar compras na feira porque esquecia do que precisava comprar e se atrapalhava com os pagamentos. Tornou-se apática, desinteressada, triste e vem se isolando socialmente.
Paciente mantém-se independente para as atividades básicas, mas tem comprometimento para as atividades instrumentais.
Vem apresentando diminuição da velocidade de marcha, autorrelato de cansaço e força de preensão palmar de 12 Kgf.
Medicação de uso continuado: ácido acetilsalicílico 100 mg após o almoço, atorvastatina 40 mg uma vez ao dia, memantina 10 mg 1x/d, donepezila 10 mg 1x/d, losartana 50 mg 12/12h, atenolol 25 mg 12/12h, insulina NPH 6 unidades por via subcutânea pela manhã e à noite, metformina 850 mg 3x/d, gliclazida 60 mg 1x/d e evogliptina 5 mg pela manhã.
A paciente realizou uma tomografia computadorizada de crânio.

(Arquivo pessoal; imagem usada com autorização)
Assinale a alternativa correta quanto à prescrição de atorvastatina 40 mg/d a essa paciente.
Provas
A questão dize respeito ao caso clínico descrito a seguir.
Paciente de 80 anos procura o consultório médico com queixa de esquecimentos e confusão mental há 3 anos. Seus déficits vinham piorando lenta e paulatinamente. Relata uma piora importante, de forma súbita, há cerca de 2 anos, quando apresentou um desvio de rima labial para direita e diminuição da força muscular do membro superior esquerdo. Concomitantemente, paciente deixou de cozinhar por deixar a comida queimar no fogo. Deixou de realizar compras na feira porque esquecia do que precisava comprar e se atrapalhava com os pagamentos. Tornou-se apática, desinteressada, triste e vem se isolando socialmente.
Paciente mantém-se independente para as atividades básicas, mas tem comprometimento para as atividades instrumentais.
Vem apresentando diminuição da velocidade de marcha, autorrelato de cansaço e força de preensão palmar de 12 Kgf.
Medicação de uso continuado: ácido acetilsalicílico 100 mg após o almoço, atorvastatina 40 mg uma vez ao dia, memantina 10 mg 1x/d, donepezila 10 mg 1x/d, losartana 50 mg 12/12h, atenolol 25 mg 12/12h, insulina NPH 6 unidades por via subcutânea pela manhã e à noite, metformina 850 mg 3x/d, gliclazida 60 mg 1x/d e evogliptina 5 mg pela manhã.
A paciente realizou uma tomografia computadorizada de crânio.

(Arquivo pessoal; imagem usada com autorização)
Diante do exposto, assinale qual a alternativa correta em relação ao diagnóstico e qual a escala que pode ajudar a direcioná-lo.
Provas
A questão refere-se ao seguinte enunciado:
Paciente de 88 anos, mulher, hipertensa, foi submetida a osteossíntese do fêmur esquerdo há 2 anos por fratura ocorrida após queda da própria altura. Relata que, há 1 dia, ao tentar levantar da cama durante a madrugada para ir urinar, não conseguiu manter-se em pé e voltou a sentar na cama, involuntariamente. Não houve trauma. Ela faz uso dos seguintes medicamentos: hidroclorotiazida 25 mg pela manhã, hidralazina 25 mg 8/8 horas, anlodipino 5 mg 12/12 horas.
Em relação ao tratamento anti-hipertensivo, assinale a alternativa correta.
Provas
Caderno Container