Foram encontradas 60 questões.
Com relação aos aspectos epidemiológicos da morbimortalidade por acidentes em pediatria, é correto afirmar que
Provas
Na parada respiratória em pediatria, deve-se realizar
Provas
No contexto do preenchimento do atestado de óbito, assinale a alternativa que apresenta opção mais adequada para o registro da causa da morte.
Provas
Dentre os cuidados no pós-operatório de crianças submetidas a cirurgias pediátricas e que são admitidas em Unidades de Terapia Intensiva Pediátrica, a analgesia é sempre um dos fatores mais importantes a serem considerados na realização da prescrição.
Com relação à analgesia é correto afirmar:
Provas
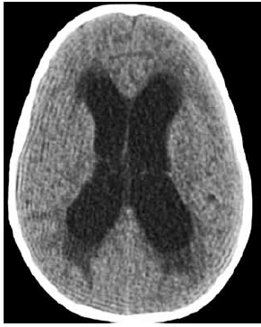
Criança de 2 anos e 8 meses, internada em uma enfermaria, no pós-operatório de uma neurocirurgia, com queixa de sonolência, tem história de tumor de tronco ressecado há 1 semana, sem a realização de derivação ventrículo peritoneal, pois o neurocirurgião achou desnecessário e optou por observar clinicamente a evolução da criança. Nas últimas 6 horas, está mais sonolenta. Foi avaliada pelo médico hospitalista, que solicitou uma tomografia de crânio, e encaminhada pelo técnico de transporte e transferência para UTI após o exame. No exame de entrada na UTI pediátrica: regular estado geral, descorada+, acianótica, anictérica, bradipneica, afebril, letárgica (sem abertura ocular ao chamado ou à dor, gemência aos estímulos dolorosos, resposta motora com retirada inespecífica à dor), FR – 16 irregular Sat – 92% em nebulização com oxigênio 5l/minuto, PA – 155 x 100 mmHg, FC – 65 bpm, pulsos firmes, tempo de enchimento capilar – 2 segundos.
Imagem da tomografia de crânio:

Com relação à conduta inicial, hipótese diagnóstica e conduta a ser tomada imediatamente, assinale a alternativa correta.
Provas
Em uma criança gravemente doente e imunossuprimida, qual dos seguintes agentes etiológicos é a mais provável causa de infecção?
Provas
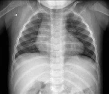
Criança de 2 anos e 3 meses, 13 kg, é admitida na Unidade de Terapia Intensiva com hipótese diagnóstica de crise asmática grave. No pronto-socorro, já havia recebido 3 ciclos de Salbutamol – 4 puffs, 6 puffs e 8 puffs – sem melhora, metilprednisolona 25 mg endovenoso e sulfato de magnésio – 650 mg em 30 minutos. Instalado cateter nasal de alto fluxo – 20 L/minuto com FiO2 50%, mas mantendo desconforto respiratório moderado a grave, frequência respiratória – 55, saturação de oxigênio – 93% e retração intercostal e subdiafragmática, além de batimento de asa de nariz. Antecedente pessoal – nunca teve crise de broncoespasmo anterior; antecedente familiar – pais saudáveis, negam asma, rinite ou alergias, irmã mais velha escolar saudável, mas teve gripe há 1 semana. Quando questionada sobre engasgos recentes, a mãe relata que, há cerca de 4 dias, teve uma crise de tosse enquanto comia arroz integral, sete cereais, mas não tem certeza se engasgou ou pegou a gripe da irmã. Depois disso, com tosse esporádica e hoje cansaço.
No pronto-socorro, foi realizado o seguinte Rx de torax.

Quais são a hipótese diagnóstica e a conduta neste caso?
Provas
Com relação às queimaduras, assinale a alternativa correta.
Provas
Com relação às intoxicações exógenas, assinale a alternativa correta no que diz respeito ao possível agente causador, ao quadro clínico e ao antídoto nas toxíndromes relacionadas.
Provas
Dentre as principais causas de coma em pediatria, é correto afirmar que aquelas s que se relacionam com maior mortalidade são os casos de
Provas
Caderno Container