Foram encontradas 60 questões.
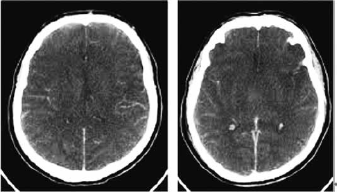
Observe a tomagrafia de crânio a seguir.

(https://pt.dreamstime.com/varreduras-cerebrais-mri-e-detecçãode- tumores-ferramenta-médica-diagnóstico-ct-cérebro-um-doentecom- lesão-em-queda-video208129691)
Em um paciente de 48 anos, admitido com a tomografia de crânio apresentada, qual das seguintes estratégias terapêuticas é mais adequada para reduzir o risco de ressangramento e melhorar o prognóstico neurológico?
Provas
Um paciente de 50 anos, diagnosticado com esclerose múltipla (EM) há 15 anos, apresentou uma progressão lenta e contínua da incapacidade neurológica nos últimos dois anos. Essa evolução foi marcada pelo aumento da espasticidade em membros inferiores e dificuldade na marcha. A ressonância magnética revelou novas lesões desmielinizantes periventriculares na substância branca. O paciente já fez uso prévio de interferon beta-1a sem melhora clínica significativa. Considerando as opções terapêuticas atuais para a forma secundária progressiva da EM, qual das seguintes drogas seria a primeira escolha terapêutica nesse caso?
Provas
Um paciente de 55 anos apresenta-se com cefaleia progressiva e alterações cognitivas. A ressonância magnética (RM) do encéfalo revela uma massa intra- -axial com realce heterogêneo após a administração de contraste gadolínio e sinais de edema perilesional. Com base nos achados típicos em neuroimagem, qual das seguintes neoplasias do sistema nervoso central é mais consistente com esse padrão radiológico?
Provas
Durante a avaliação de um paciente com suspeita de epilepsia, o eletroencefalograma (EEG) é uma ferramenta diagnóstica essencial. Cada tipo de epilepsia pode apresentar padrões característicos no EEG. Com base nos achados eletroencefalográficos típicos, qual das seguintes descrições corresponde ao padrão observado em pacientes com síndrome de West?
Provas
Uma paciente de 72 anos é levada ao consultório médico por seus familiares, que relatam um declínio progressivo na memória e no funcionamento cognitivo dela ao longo dos últimos dois anos. Eles notaram dificuldades com planejamento, organização e execução de tarefas diárias complexas. A paciente tem se perdido em lugares familiares e apresenta alterações de humor, incluindo apatia e ocasional irritabilidade. Seu exame neurológico revelou rigidez axial moderada sem tremor evidente ou bradicinesia significativa. O miniexame do estado mental (MMSE) mostrou uma pontuação de 20/30 pontos, indicando comprometimento cognitivo leve a moderado. Ressonância magnética (RM) do cérebro demonstrou atrofia cortical difusa com ênfase nos lobos frontais e temporais anteriores. Com base nesse caso clínico, qual o diagnóstico mais provável?
Provas
Durante um exame neurológico completo em um paciente adulto sem histórico prévio significativo, decide-se avaliar os reflexos tendinosos profundos como parte da semiologia neurológica básica. Ao realizar o teste utilizando um martelo de reflexos sobre o tendão patelar, observa-se uma resposta hiperativa bilateralmente com clonus sustentado após a percussão. Esse achado pode ser indicativo de qual condição?
Provas
A eletroneuromiografia (ENMG) é um exame complementar essencial na avaliação de pacientes com suspeita de neuropatias periféricas. Esse procedimento permite a análise da função dos nervos periféricos e músculos, fornecendo informações valiosas para o diagnóstico diferencial das diversas etiologias que podem afetar o sistema nervoso periférico. Com base em achados eletroneuromiográficos, qual das seguintes características é mais consistentemente observada em casos de neuropatia axonal?
Provas
Você está avaliando um paciente de 52 anos que apresenta história de episódios recorrentes de enxaqueca com aura, acidentes isquêmicos transitórios e deterioração cognitiva progressiva. A ressonância magnética (RM) do encéfalo revela múltiplas lesões hiperintensas na substância branca subcortical e periventricular, sem evidências claras de infarto recente. Uma análise detalhada da história familiar identifica padrões similares em outros membros da família ao longo de várias gerações. Com base nesse quadro clínico e nos achados radiológicos, qual das seguintes condições apresenta o diagnóstico mais provável?
Provas
Durante uma consulta em um serviço de neurologia, um paciente de 65 anos é atendido com queixas progressivas de perda de memória e dificuldades cognitivas. Após uma avaliação clínica detalhada e a realização dos exames neuropsicológicos, o diagnóstico provável é de doença de Alzheimer (DA). A família questiona sobre a possibilidade do uso da genética para auxiliar no diagnóstico ou prognóstico da condição. Com base nos conhecimentos científicos atuais, qual das seguintes afirmações está correta em relação aos testes genéticos para demências?
Provas
Um paciente masculino de 28 anos, trabalhador rural no interior da Amazônia Legal, é encaminhado ao serviço de neurologia com queixas de crises convulsivas tônico-clônicas generalizadas recorrentes, iniciadas há seis meses. Não relata febre ou alterações comportamentais significativas. Refere contato frequente com águas fluviais. A ressonância magnética (RM) do encéfalo evidencia lesões expansivas intraparenquimatosas múltiplas com edema perilesional e realce nodular após administração de contraste gadolíneo. O exame do líquido cefalorraquidiano demonstra leve pleocitose linfocítica sem hipoglicorraquia. Com base nas informações clínicas e epidemiológicas apresentadas, qual das seguintes neuroparasitoses mais provavelmente explica os achados nesse caso?
Provas
Caderno Container