Foram encontradas 60 questões.
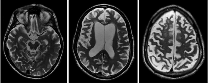
Observe a ressonância magnética a seguir.

(https://www.google.com/url?sa=i&url=https%3A%2F%2Fwww.pacificneuroscienceinstitute.org)
Um homem de 65 anos apresenta-se para avaliação neurológica com queixas de movimentos involuntários lentos e contorcidos afetando principalmente os membros superiores. Ele relata que esses sintomas começaram há cerca de dois anos e têm piorado progressivamente, interferindo nas atividades diárias, como escrever e manusear utensílios. O exame físico revela distonia axial leve e ausência de sinais parkinsonianos. Não há histórico familiar conhecido da condição. Com base na apresentação clínica e na imagem da ressonância desse paciente, qual dos seguintes diagnósticos é mais provável?
Provas
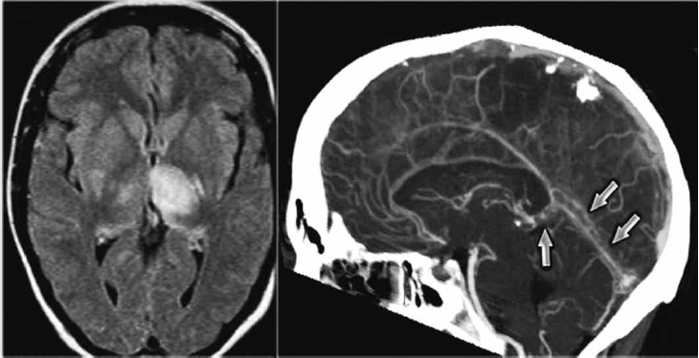
Observe a tomografia de crânio a seguir.

(https://www.google.com/url?sa=i&url=https%3A%2F%2Fradiologyassistant.nl%2Fneuroradiology%)
Feminina, 32 anos, chega ao pronto-socorro relatando cefaleia intensa e persistente de início súbito há 3 dias, associada a episódios intermitentes de diplopia. Refere que a dor é difusa, não pulsátil e tem piorado progressivamente. Faz uso de anticoncepcional oral combinado nos últimos dois anos, viagem recente longa (voo transatlântico), uma semana antes do início dos sintomas, e sem histórico prévio significativo para enxaqueca ou outras doenças neurológicas. Exame Físico: Pressão arterial: 130/85 mmHg; Frequência cardíaca: 78 bpm; Temperatura corporal: 36.8 °C e exame neurológico, inicialmente, sem alterações focais evidentes, além da diplopia ocasional durante períodos prolongados de fixação visual. Não há sinais meníngeos presentes nem déficits motores ou sensitivos localizados. Coletado líquor que se encontra dentro dos parâmetros normais. Considerando as informações e a tomagrafia apresentadas, qual a abordagem terapêutica inicial mais adequada para essa paciente?
Provas
As neoplasias do sistema nervoso central (SNC) compreendem um espectro diversificado de tumores com variados prognósticos e abordagens terapêuticas. No manejo dos gliomas, que são os tumores primários mais comuns do SNC em adultos, múltiplos aspectos devem ser considerados para otimizar o tratamento. Com base nos conhecimentos atuais sobre a patologia e no tratamento dos gliomas, qual das seguintes afirmações é correta?
Provas
Um paciente de 45 anos apresenta-se ao consultório com queixas de ptose palpebral e miose no olho esquerdo, notadas progressivamente ao longo dos últimos três meses. Não relata dor, alteração visual ou outros sintomas sistêmicos. O exame físico confirma a presença da tríade clássica da síndrome de Horner (ptose, miose e anidrose) unilateralmente. Qual das seguintes investigações é mais adequada para determinar a etiologia dessa síndrome nesse paciente?
Provas
Uma mulher de 35 anos consulta seu médico relatando dores difusas bilaterais na cabeça quase todos os dias há mais de três meses. Ela descreve as dores como opressivas, mas não pulsáteis; elas variam em intensidade, mas raramente impedem suas atividades diárias. Não há presença significativa nem consistente da fotofobia ou fonofobia durante esses episódios dolorosos. Com base na história clínica dessa paciente, qual diagnóstico é mais provável?
Provas
A determinação de morte encefálica requer uma abordagem meticulosa e aderência estrita aos protocolos estabelecidos. Os profissionais envolvidos devem estar cientes das nuances que podem influenciar o processo diagnóstico, incluindo variáveis fisiológicas e farmacológicas. Considerando as diretrizes do Conselho Federal de Medicina (CFM) para a definição de morte encefálica no Brasil, qual das seguintes afirmações é correta?
Provas
As miopatias representam um grupo heterogêneo de doenças musculares com diversas etiologias, manifestações clínicas e implicações terapêuticas. No contexto das miopatias inflamatórias idiopáticas (MIIs), as abordagens diagnósticas e terapêuticas são desafiadoras devido à variabilidade fenotípica e resposta ao tratamento. Considerando os avanços recentes na compreensão das MIIs, assinale a alternativa correta.
Provas
Uma mulher jovem foi internada com sintomas subagudos incluindo cefaleia, rigidez nucal, alterações visuais progressivas e déficits motores assimétricos. A tomografia computadorizada evidencia hidrocefalia comunicante leve, enquanto análises laboratoriais destacam hipoglicorraquia relativa e aumento significativo da concentração proteica no LCR. Bacilos Álcool- -Ácido Resistentes foram observados após coloração especial. Na presença desses achados, qual regime terapêutico deve ser iniciado imediatamente?
Provas
O ciclo vigília-sono é regulado por um equilíbrio homeostático entre as pressões do sono não-REM e do sono REM. Quando esse equilíbrio é perturbado, como em casos de privação seletiva de uma das fases do sono, mecanismos compensatórios entram em jogo nas tentativas subsequentes de recuperação do sono. Após uma noite de privação total de sono, qual alteração é mais provável ser observada nos padrões típicos dessas fases durante a recuperação?
Provas
Em pacientes com acidente vascular cerebral isquêmico (AVCi) recente e estenose carotídea significativa, as estratégias de prevenção secundária são fundamentais para mitigar o risco de recorrência. Considerando um paciente que apresentou AVCi e foi diagnosticado com uma estenose carotídea ipsilateral de 69%, qual das seguintes opções é a mais adequada para a prevenção secundária?
Provas
Caderno Container