Foram encontradas 60 questões.
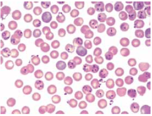
A fotografia mostra eritrócitos, do sangue de um roedor, infectados pelo parasita Plasmodium chabaudi (pontos roxos internos).

(www.publico.pt)
Durante a ação dos plasmódios nos eritrócitos ocorre
Provas
A esporulação é um processo pelo qual as bactérias geram esporos, por meio da eliminação de conteúdo citoplasmático, quando estão ambientes desfavoráveis à sua sobrevivência. Um esporo bacteriano pode permanecer dormente por um longo tempo, até que as condições voltem a ser favoráveis para sua ativação do metabolismo.
Uma importante doença transmitida por meio de esporos bacterianos é
Provas
A figura ilustra o processo de replicação de um determinado vírus responsável por uma grave doença em humanos.

(https://brasilescola.uol.com.br)
Com relação ao processo de replicação deste grupo de vírus, a etapa
Provas
A onça-parda (Puma concolor), e o jaguarandi (Puma yagouaroundi) são mamíferos habitantes das Américas.
A análise das informações taxonômicas contidas nos nomes científicos permite afirmar, com certeza, que tais mamíferos
Provas
A classificação dos seres vivos em três domínios, proposta por Carl Woese, está fundamentada na divisão de organismos.

Provas
O principal impacto ambiental sofrido atualmente pela humanidade, gerado antropicamente, é o aquecimento global, cuja causa primária reside
Provas
Os biomas aquáticos marinhos se caracterizam por apresentar organismos caracterizados por apresentarem, de forma geral, três habitats típicos: organismos presos ou apoiados no substrato (I); suspensos na coluna d’água (II) e livre natantes (III).
I, II e III representam, respectivamente, os organismos
Provas
No ciclo biogeoquímico do nitrogênio, a nitrosação e a nitratação são processos integrantes da nitrificação, realizados por bactérias
Provas
Um tipo de interação ecológica entre seres vivos na qual um ser vivo se aproveita das atividades, do trabalho ou de produtos produzidos por outros seres vivos é o que ocorre entre chupins e tico-ticos, humanos e abelhas e formigas e pulgões.
Tal relação é classificada como
Provas
Muitas ilustrações didáticas de cadeias alimentares representam os decompositores imediatamente após o consumidor com maior nível trófico.

(www.todamateria.com.br)
Tal representação é falha, pois
Provas
Caderno Container