Foram encontradas 50 questões.
Paciente masculino, 42 anos, com história de calculose renal de repetição, com vários episódios prévios de cólicas e hematúria. Procura orientação médica para avaliação de exames laboratoriais colhidos recentemente.
Exames: fita de urina: sangue ++/4; leucócitos ++/4; pH 5,8; densidade 1.025. Leucócitos: 80.000/mL; hemácias: 125.000/mL.
Urina 24 h: volume 1.500 mL; citrato 600 mg/24 h; oxalato 20 mg/24 h; ácido úrico 450 mg/24 h; creatinina 10 mg/kg/peso; cálcio 2,0 mg/kg/peso.
Assinale a alternativa que apresenta a análise correta com base no quadro clínico e nos exames laboratoriais.
Provas
Adolescente, 16 anos, apresenta hipertensão persistente, hipocalemia e alcalose metabólica, com casos similares de hipertensão precoce em familiares. Com base no quadro clínico de mialgia, fraqueza muscular e palpitações ocasionais, a suspeita diagnóstica é de síndrome de Liddle.
Quais achados laboratoriais são esperados neste paciente e qual é a abordagem terapêutica recomendada?
Provas
Grávida de 36 anos, com 18 semanas de gestação, retorna à consulta do pré-natal sem queixas urinárias e nega alterações nas características da urina. Em exame de urina e urocultura de rotina, foi identificado crescimento de E coli com 100.000 col./mL.
A abordagem mais apropriada para o manejo desta paciente é:
Provas
Homem, 42 anos, está passando por uma avaliação para potencial doador de rim para seu primo. Exames revelam hematúria microscópica (8 a 10 eritrócitos dismórficos por campo de grande aumento). Os resultados do exame físico, pressão arterial, creatinina sérica, C3 e C4, exames de imagem renal e excreção urinária de albumina são normais. História familiar de doença renal em primo (DRC de causa desconhecida). Uma biópsia renal é realizada.
Assinale a alternativa que apresenta a característica patológica mais provável de ser encontrada na amostra de biópsia renal.
Provas
Paciente feminina, 37 anos, com história de sinusite e cefaleia há 3 anos, refere dor e vermelhidão em mãos associadas com água fria. Antecedente de nefrolitíase com 2 episódios de eliminação de cálculos.
Exames laboratoriais: creatinina 1,1 mg/dL; Na e K 141 e 2,5 mEq/L; cloreto 125 mEq/L; bicarbonato 11 mEq/L; Ca / P 9,0 e 3,5 mg/dL; Pt / Alb 8.0 e 3.7 g/L.
Qual dos seguintes testes de laboratório deve ser solicitado em seguida?
Provas
Paciente feminina, 31 anos, com queixas de faringoalgia e febre, recebeu prescrição de penicilina benzatina, com resolução de quadro clínico. Cinco dias depois, iniciou cefaleia frontal, indisposição e notou diminuição do volume urinário, com aspecto mais nublado da urina. Refere edema discreto e nega tanto hipertensão neste período quanto doenças prévias. Procurou o pronto atendimento, onde foi verificada piora de função renal (creatinina de 3,5 mg/dL), hematúria, leucocitúria e proteinuria +++/4 em fita de urina.
Submetida à biópsia renal: cortical representada por 28 glomérulos, 15 glomérulos apresentam hiperplasia podocitária segmentar e colapso parcial ou global de alças capilares. O restante deles tem a estrutura geral preservada, com celularidade normal, capilares com luz patente e membrana basal sem alterações significativas. As cápsulas de Bowman estão íntegras.

(Coloração de prata de Jones. Disponível em: https://www.ajkd.org)
A opção diagnóstica que melhor justifica o caso é:
Provas
Mulher de 63 anos, com quadro de fraturas múltiplas iniciado há 2 anos, após uma queda, diagnosticada com osteopenia. Meses depois da queda, apresentou fratura não traumática do côndilo femoral medial esquerdo. Cintilografia óssea, realizada há 3 meses, mostrou múltiplas áreas de captação, consistentes com fraturas das tíbias proximal e distal, calcâneo direito, várias costelas e vértebras. Antecedente de hipertensão arterial controlada.
Medicação: losartana 100 mg/dia, carbonato de cálcio, 1.250 mg (fornecendo 500 mg de cálcio elementar), mais 400 UI de vitamina D3, diariamente.
Exames da paciente e valores de normalidade (N)
| Creatinina (mg/dL) 0,55 | (N 0,50-1,0) |
| NA/K mEq/L 141/4,3 | (N 135-145/3,5-5,0) |
| Albumina (g/litro) 4,4 | (N 3,5-5,2) |
| Cálcio/fosfato (mg/dL) 8,6/1,4 | (N Ca 8,8-10,7//// P (2,4-4,3) |
| Fosfatase alcalina (U/litro) 185 | (N 35-130) |
| PTH (pg/mL) 57 | (N 15-65) |
| 25-hidroxivitamina D (ng/mL) 31 | (N 20-80) |
| FGF-23 (RU/mL) 235 | (N < 180) |
Com base na história e nos exames laboratoriais, a hipótese diagnóstica é:
Provas
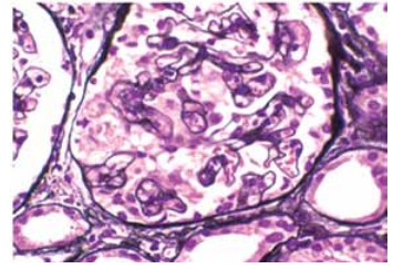
Homem de 18 anos tem diagnóstico clínico laboratorial de síndrome nefrótica há 6 meses, com complemento sérico dentro dos valores da normalidade e excelente resposta a corticoide. Foi realizada biopsia renal, que mostrou 22 glomérulos, todos com a imagem semelhante ao apresentado na figura a seguir. A imunofluorescência foi negativa.

(Coloração de prata de Jones. Disponível em: https://www.ajkd.org)
Qual é o diagnóstico da glomerulopatia?
Provas
Homem, 75 anos, diabético tipo 2, DRC G3bA2 e insuficiência cardíaca com fração de ejeção de 32%. Várias internações prévias com hipervolemia e hipercalemia, sendo suspenso enalapril. Atualmente, em uso de furosemida 40 mg duas vezes ao dia, discreto edema e sem dificuldade para respirar.
Exame físico: PA 146/86 mmHg, frequência cardíaca de 68 batimentos por minuto e frequência respiratória de 14 por minuto, sem congestão pulmonar e discreto edema.
Exames laboratoriais: K 5.4 mEq/L; gasometria arterial pH 7,49, pressão parcial de CO2 de 55 mmHg, pressão parcial de O2 de 90 mm Hg e bicarbonato 41 mEq/L.
Assinale a alternativa que apresenta a melhor conduta.
Provas
A hipertensão arterial (HA) em pacientes em diálise tem alta prevalência, e seu manejo, na prática do nefrologista, ocorre de forma heterogênea e, frequentemente, empírica.
Assinale a alternativa correta em relação ao manuseio da hipertensão arterial durante o procedimento hemodialítico.
Provas
Caderno Container