Foram encontradas 960 questões.
Qual das seguintes condutas é mais indicada para um homem de 35 anos, vítima de ferimento por arma branca na zona II do pescoço à direita, encontrando-se hemodinamicamente estável e com ausência de sinais clínicos de lesão vascular, aerodigestiva ou neurológica?
Provas
Criança de 4 anos, sexo masculino, 19 kg, é levada ao pronto atendimento, pois ingeriu acidentalmente 10 comprimidos de paracetamol de 500 mg, a mãe refere que a ingestão foi há cerca de 2 horas. A criança encontra-se em bom estado geral e sem sintomas, exceto por discreta sonolência. Sobre a intoxicação exógena por paracetamol na pediatria, é correto afirmar:
Provas
Menina de 4 anos, previamente hígida, levada ao pronto atendimento com de tosse e febre há 3 dias. Há 2 dias, a febre piorou, houve aumento da frequência da febre e da temperatura, chegando a 39 ºC e piora do estado geral, com recusa alimentar e cansaço para respirar. Ao exame, encontra-se com febre de 38 ºC, FR: 48 bpm, saturação em ar ambiente: 91%, com retração subcostal, o murmúrio vesicular está diminuído em base direita, com macicez à percussão. Sobre este caso, é correto afirmar:
Provas
Recentemente houve um aumento significativo de casos de doença mão-pé-boca no Brasil, o que levou a uma atualização do documento científico sobre o tema pela Sociedade Brasileira de Pediatria, além de uma nota técnica do Ministério da Saúde alertando sobre a doença. Sobre esse tema, é correto afirmar:
Provas
Os aparelhos de anestesia são equipamentos fundamentais para a prática diária do anestesista. Seus componentes seguem regulamentação específica, que traz mais segurança para sua utilização.
Nos aparelhos de anestesia,
Provas
Em 2024 o ministério da saúde publicou as diretrizes para enfrentamento das meningites até 2030. Sobre esse tema na pediatria, é correto afirmar:
Provas
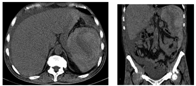
Homem de 39 anos é admitido no pronto-socorro com quadro de dor abdominal intensa no flanco esquerdo irradiando para o ombro homolateral (sinal de Kehr), associada a lipotimia e sudorese profusa, iniciada subitamente há cerca de 40 minutos. Nega trauma recente, esforço físico ou histórico de coagulopatia. Ao exame, encontra-se sudorético, com palidez cutaneomucosa importante, frequência cardíaca de 126 bpm, pressão arterial de 85/54 mmHg e dor à palpação profunda do hipocôndrio esquerdo, com sinais de irritação peritoneal. Os exames laboratoriais revelam:
• Hemoglobina: 7,4 g/dL (VN: 13,5–17,5)
• Hematócrito: 21% (VN: 41–53)
• Leucócitos: 14.500/mm³ com predomínio de neutrófilos
• Plaquetas: 250.000/mm³
• TAP e PTT normais
• Sorologias para mononucleose, citomegalovírus e hepatites negativas
A tomografia computadorizada de abdome está demonstrada a seguir:

(Coimbra, B. M.; Cardoso. T. T. Brad Cases - Brazilian Radiological Cases 2022, 1(4): 474-480)
Com base no quadro clínico, exames laboratoriais e de imagem, o diagnóstico e conduta para com o paciente são, respectivamente:
Provas
Cardiopatias congênitas críticas são responsáveis por significativa morbimortalidade neonatal e requerem intervenção precoce. O diagnóstico clínico nem sempre é evidente ao nascimento, e a evolução pode ser rápida e grave. Sobre essas condições, assinale a alternativa correta.
Provas
Sobre o diabetes mellitus na pediatria, é correto afirmar:
Provas
O cyberbullying é uma forma de violência contemporânea, frequentemente invisível, que tem ganhado relevância na prática pediátrica pela sua associação a agravos psiquiátricos, ideação suicida e risco de óbito entre crianças e adolescentes. Em relação à abordagem médica especializada desse tema, assinale a alternativa correta.
Provas
Caderno Container