Magna Concursos

Foram encontradas 933 questões.

3745575 Ano: 2024
Disciplina: Medicina
Banca: IADES
Orgão: ESPDF

Enunciado 4335221-1

Uma paciente de 63 anos de idade compareceu ao consultório queixando-se de dor nos joelhos há cerca de cinco anos. Nega trauma. Refere que a dor começou a piorar nos últimos três meses. Relata ainda diabetes mellitus, e que seu joelho começou a entortar (sic) e que, quando acorda, o seu joelho frequentemente está rígido.

Nesse caso clínico, a principal hipótese diagnóstica é

 

Provas

Questão presente nas seguintes provas
3745574 Ano: 2024
Disciplina: Medicina
Banca: IADES
Orgão: ESPDF

Enunciado 4335220-1

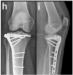
A respeito da técnica empregada na osteossíntese do platô tibial nesse caso, é correto afirmar que a placa lateral

 

Provas

Questão presente nas seguintes provas
3745573 Ano: 2024
Disciplina: Medicina
Banca: IADES
Orgão: ESPDF

Enunciado 4335219-1

A estrutura que mais corre risco de ser lesada nessa abordagem é o

 

Provas

Questão presente nas seguintes provas
3745572 Ano: 2024
Disciplina: Medicina
Banca: IADES
Orgão: ESPDF

Enunciado 4335218-1

Enunciado 4335218-2

A abordagem cirúrgica para a osteossíntese foi realizada pela via

 

Provas

Questão presente nas seguintes provas
3745571 Ano: 2024
Disciplina: Medicina
Banca: IADES
Orgão: ESPDF

Enunciado 4335217-1

Assinale a alternativa que indica os princípios a serem seguidos na osteossíntese do platô tibial lateral, nesse caso.

 

Provas

Questão presente nas seguintes provas
3745570 Ano: 2024
Disciplina: Medicina
Banca: IADES
Orgão: ESPDF

Enunciado 4335216-1

No acesso cirúrgico para o caso, deve-se abordar a articulação do joelho através do espaço entre os músculos

 

Provas

Questão presente nas seguintes provas
3745569 Ano: 2024
Disciplina: Medicina
Banca: IADES
Orgão: ESPDF

Enunciado 4335215-1

O exame apresentado indica o envolvimento do platô tibial

 

Provas

Questão presente nas seguintes provas
3745568 Ano: 2024
Disciplina: Medicina
Banca: IADES
Orgão: ESPDF

Enunciado 4335214-1

Um paciente de 39 anos de idade, vítima de queda de bicicleta, sofreu trauma no joelho direito. Foi levado ao pronto-socorro do hospital mais próximo, onde foram realizadas as radiografias apresentadas.

O quadro clínico desse paciente se caracteriza por dor

 

Provas

Questão presente nas seguintes provas
3745567 Ano: 2024
Disciplina: Medicina
Banca: IADES
Orgão: ESPDF

Enunciado 4335213-1

Um paciente de 39 anos de idade, vítima de queda de bicicleta, sofreu trauma no joelho direito. Foi levado ao pronto-socorro do hospital mais próximo, onde foram realizadas as radiografias apresentadas.

O exame de imagem mais apropriado para o estudo do caso é

 

Provas

Questão presente nas seguintes provas
3745566 Ano: 2024
Disciplina: Medicina
Banca: IADES
Orgão: ESPDF

Enunciado 4335212-1

Um paciente de 39 anos de idade, vítima de queda de bicicleta, sofreu trauma no joelho direito. Foi levado ao pronto-socorro do hospital mais próximo, onde foram realizadas as radiografias apresentadas.

Geralmente, o mecanismo de trauma dessas fraturas envolve

 

Provas

Questão presente nas seguintes provas