Foram encontradas 654 questões.
Sobre Síndrome de Sjogren, analise as afirmativas a seguir e assinale a alternativa correta:
I - O prognóstico geralmente é bom. No entanto, se os pulmões, rins ou linfonodos forem danificados pelos anticorpos, pode ocorrer pneumonia, insuficiência renal ou linfoma.
II - A secura ocular pode ser tratada com lágrimas artificiais durante o dia e pomada lubrificante durante a noite.
III - Medicamentos antimaláricos (como a hidroxicloroquina) podem ser administrados para tratar sintomas articulares. O medicamento metotrexato também pode ser administrado (isoladamente ou em combinação com medicamentos antimaláricos) quando medicamentos antimaláricos não aliviam com sucesso os sintomas articulares.
Provas
Sobre Osteoartrose, assinale a alternativa incorreta:
Provas
As Espondiloartropatias Soronegativas (Espondiloartrites) correspondem a um grupo de doenças que apresentam as seguintes manifestações clínicas em comum.
Assinale a alternativa que contenha as afirmativas corretas:
I - Artrite, com preferência ao acometimento das articulações sacroilíacas e da coluna vertebral.
II - Pesquisa negativa para o fator reumatóide (FR: exame de sangue).
III - Inflamação nos tendões e ligamentos que se ligam ao osso (entesites).
IV - Marcador genético semelhante (HLA-B27).
Provas
Sobre Doenças Difusas do Tecido Conjuntivo, assinale a alternativa incorreta:
Provas
As mulheres com um gene BRCA1 ou BRCA2 anormal têm 80% de risco de desenvolver câncer de mama até os 90 anos. O risco aumentado de desenvolver câncer de ovário é de cerca de 55% para mulheres com mutações no BRCA1 e cerca de 25% para mulheres com mutações no BRCA2 (HERRING, 2019).
Sobre a avaliação diagnóstica da mama, está correto o que se afirmar em:
Provas
Paciente de 83 anos com dor abdominal, após ter sido submetido à uma US de abdome que revela massa é submetido à Angiotomografia que identifica a seguinte imagem.
Qual corte foi realizado e qual estrutura está assinalada?

Provas
O diagnóstico diferencial da dor escrotal inclui orquite, epididimite, torção testicular, traumatismo testicular e herniação do conteúdo abdominal para dentro do escroto. A torção testicular, comum em adolescentes, é um diagnóstico especialmente importante, porque a distorção oportuna é curativa, enquanto uma torção que passe despercebida pode resultar na perda do testículo.
Qual é exame padrão ouro para esse diagnóstico que melhor permite visualizar o fluxo do testículo?
Provas
Analise as informações abaixo:

Provas
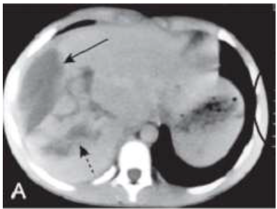
Paciente procura unidade de Urgência com dor em hipocôndrio direito, evolução de 48 hs, após trauma abdominal, acompanhada de náuseas e vômitos e queda do estado geral. Após a abordagem terapêutica foi submetido ao exame de Tomografia do Abdome (imagem abaixo, figura A.), qual o órgão avaliado e o que indicam as setas contínua e descontínua?

FONTE: HERRING, 2019
Provas
Observe as imagens abaixo:

Paciente dá entrada no pronto atendimento com quadro de dor abdominal súbita, moderada, acompanhada de vômitos de conteúdo alimentar. Diabético, em uso irregular de hipoglicemiante, com história de etilismo. Apresenta-se pálido, mucosas secas, redução do turgor da pele, auscultas cardíacas e pulmonares preservadas, abdome distendido, com ruídos hidroaéreos reduzidos e dor à palpação de todo abdome. Solicitados exames laboratoriais e exame radiológico do abdome (imagem anexa acima).
Qual é o diagnóstico radiológico?
Provas
Caderno Container