Foram encontradas 60 questões.
Provas
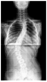
M., 23 anos, apresentou o raio-X abaixo para o seu médico:

É CORRETO afirmar que ele tem:
Provas
A., 70 anos, foi examinada, e o médico constatou suspeita de osteoartrose.
Qual o exame responsável por efetuar o diagnóstico?
Provas
J., 20 anos, sofreu uma lesão ligamentar de 1º grau.
Sendo assim, é CORRETO afirmar que ela sofreu uma:
Provas
A respeito da embriologia do sistema musculoesquelético, assinalar a alternativa INCORRETA:
Provas
M., 46 anos, foi diagnosticada com osteonecrose após uma lesão.
Assinalar a alternativa que NÃO corresponde a um possível tratamento para ela:
Provas
Assinalar a alternativa que preenche a lacuna abaixo CORRETAMENTE:
é uma doença contagiosa aguda causada por vírus que pode infectar crianças e adultos e em casos graves pode acarretar paralisia nos membros inferiores. A vacinação é a única forma de prevenção. Todas as crianças menores de cinco anos devem ser vacinadas. As principais sequelas são: problemas e dores nas articulações, pé torto, crescimento diferente das pernas, entre outros.
Provas
Qual o nome da cobertura indicada nos casos de úlceras venosas de perna?
Provas
Alginato de cálcio NÃO pode ser utilizado em:
Provas
L., 5 anos, foi diagnosticado com raquitismo, uma doença que causa dor óssea e pode desacelerar o crescimento da criança.
Qual o tratamento adequado para esta condição?
Provas
Caderno Container