Foram encontradas 120 questões.
Paciente do sexo feminino, de 37 anos de idade, foi diagnosticada com miastenia gravis. Realizou tomografia de tórax durante investigação dos sintomas com identificação de lesão mediastinal com laudo indicando timoma.
Considerando o caso clínico apresentado e os conhecimentos médicos correlatos a ele, julgue os itens a seguir.
Provas
Paciente do sexo feminino, de 37 anos de idade, foi diagnosticada com miastenia gravis. Realizou tomografia de tórax durante investigação dos sintomas com identificação de lesão mediastinal com laudo indicando timoma.
Considerando o caso clínico apresentado e os conhecimentos médicos correlatos a ele, julgue os itens a seguir.
Provas
Paciente do sexo feminino, de 37 anos de idade, foi diagnosticada com miastenia gravis. Realizou tomografia de tórax durante investigação dos sintomas com identificação de lesão mediastinal com laudo indicando timoma.
Considerando o caso clínico apresentado e os conhecimentos médicos correlatos a ele, julgue os itens a seguir.
Provas
Paciente do sexo feminino, de 37 anos de idade, foi diagnosticada com miastenia gravis. Realizou tomografia de tórax durante investigação dos sintomas com identificação de lesão mediastinal com laudo indicando timoma.
Considerando o caso clínico apresentado e os conhecimentos médicos correlatos a ele, julgue os itens a seguir.
Provas
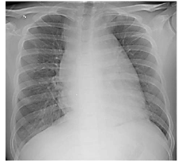
Paciente do sexo masculino, de 16 anos de idade, estudante, compareceu a consulta no posto de saúde, acompanhado da mãe, com queixa de dor no peito. Relatou início dos sintomas após colisão quando jogava futebol. O exame físico foi normal. A imagem a seguir mostra o Raio X do paciente, solicitado por insistência da mãe.

Considerando o caso clínico apresentado, julgue os itens a seguir.
Provas
Paciente do sexo masculino, de 16 anos de idade, estudante, compareceu a consulta no posto de saúde, acompanhado da mãe, com queixa de dor no peito. Relatou início dos sintomas após colisão quando jogava futebol. O exame físico foi normal. A imagem a seguir mostra o Raio X do paciente, solicitado por insistência da mãe.

Considerando o caso clínico apresentado, julgue os itens a seguir.
Provas
Paciente do sexo masculino, de 16 anos de idade, estudante, compareceu a consulta no posto de saúde, acompanhado da mãe, com queixa de dor no peito. Relatou início dos sintomas após colisão quando jogava futebol. O exame físico foi normal. A imagem a seguir mostra o Raio X do paciente, solicitado por insistência da mãe.

Considerando o caso clínico apresentado, julgue os itens a seguir.
Provas
Paciente do sexo feminino, de 58 anos de idade, tabagista em remissão, com diagnóstico de câncer colorretal operado havia 4 meses, com nódulo pulmonar sugestivo de implante secundário, apresentava boa condição funcional e espirometria normal.
Considerando o caso clínico apresentado e os conhecimentos médicos a ele relacionados, julgue os itens a seguir.
Provas
Paciente do sexo feminino, de 58 anos de idade, tabagista em remissão, com diagnóstico de câncer colorretal operado havia 4 meses, com nódulo pulmonar sugestivo de implante secundário, apresentava boa condição funcional e espirometria normal.
Considerando o caso clínico apresentado e os conhecimentos médicos a ele relacionados, julgue os itens a seguir.
Provas
Paciente do sexo feminino, de 58 anos de idade, tabagista em remissão, com diagnóstico de câncer colorretal operado havia 4 meses, com nódulo pulmonar sugestivo de implante secundário, apresentava boa condição funcional e espirometria normal.
Considerando o caso clínico apresentado e os conhecimentos médicos a ele relacionados, julgue os itens a seguir.
Provas
Caderno Container