Foram encontradas 240 questões.
Algumas doenças sistêmicas apresentam manifestações orais que podem, inclusive, auxiliar no fechamento do diagnóstico da patologia.
Com base no exposto e considerando as doenças, as respectivas etiologias e as possíveis manifestações bucais, julgue os itens a seguir.
Provas
Algumas doenças sistêmicas apresentam manifestações orais que podem, inclusive, auxiliar no fechamento do diagnóstico da patologia.
Com base no exposto e considerando as doenças, as respectivas etiologias e as possíveis manifestações bucais, julgue os itens a seguir.
Provas
Algumas doenças sistêmicas apresentam manifestações orais que podem, inclusive, auxiliar no fechamento do diagnóstico da patologia.
Com base no exposto e considerando as doenças, as respectivas etiologias e as possíveis manifestações bucais, julgue os itens a seguir.
Provas
Algumas doenças sistêmicas apresentam manifestações orais que podem, inclusive, auxiliar no fechamento do diagnóstico da patologia.
Com base no exposto e considerando as doenças, as respectivas etiologias e as possíveis manifestações bucais, julgue os itens a seguir.
Provas
Algumas doenças sistêmicas apresentam manifestações orais que podem, inclusive, auxiliar no fechamento do diagnóstico da patologia.
Com base no exposto e considerando as doenças, as respectivas etiologias e as possíveis manifestações bucais, julgue os itens a seguir.
Provas

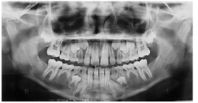
Tendo como base a imagem apresentada, que reproduz uma radiografia panorâmica e os conhecimentos odontológicos correlatos, julgue os itens a seguir.
Provas

Tendo como base a imagem apresentada, que reproduz uma radiografia panorâmica e os conhecimentos odontológicos correlatos, julgue os itens a seguir.
Provas

Tendo como base a imagem apresentada, que reproduz uma radiografia panorâmica e os conhecimentos odontológicos correlatos, julgue os itens a seguir.
Provas

Tendo como base a imagem apresentada, que reproduz uma radiografia panorâmica e os conhecimentos odontológicos correlatos, julgue os itens a seguir.
Provas

Tendo como base a imagem apresentada, que reproduz uma radiografia panorâmica e os conhecimentos odontológicos correlatos, julgue os itens a seguir.
Provas
Caderno Container