Foram encontradas 120 questões.
Uma paciente de 71 anos de idade mostra-se em bom estado geral, com capacidade funcional > 7 mEts e dor torácica ventilatório-dependente unilateral à direita, sem histórico de febre. Foi submetida a toracocentese com biópsia de pleura, cujo resultado foi compatível com adenocarcinoma metastático na pleura, sendo o tumor primário o pulmão. Após toracocentese de alívio, a paciente realizou PET-CT de corpo inteiro e RNM de encéfalo. A RNM de encéfalo não demonstrou lesões metastáticas. O PET-CT apresentou lesão nodular com hipercaptação em lobo médio de 3,5 cm, além de linfonodos ipsilaterais aumentados e hipercaptantes, e captação difusa na pleura à direita.
Com base nesse caso clínico e nos conhecimentos médicos correlatos, julgue os itens a seguir.
Lobectomia média com pleurectomia total paliativa estão indicadas.
Provas
Uma paciente de 71 anos de idade mostra-se em bom estado geral, com capacidade funcional > 7 mEts e dor torácica ventilatório-dependente unilateral à direita, sem histórico de febre. Foi submetida a toracocentese com biópsia de pleura, cujo resultado foi compatível com adenocarcinoma metastático na pleura, sendo o tumor primário o pulmão. Após toracocentese de alívio, a paciente realizou PET-CT de corpo inteiro e RNM de encéfalo. A RNM de encéfalo não demonstrou lesões metastáticas. O PET-CT apresentou lesão nodular com hipercaptação em lobo médio de 3,5 cm, além de linfonodos ipsilaterais aumentados e hipercaptantes, e captação difusa na pleura à direita.
Com base nesse caso clínico e nos conhecimentos médicos correlatos, julgue os itens a seguir.
A paciente tem previsão de boa sobrevida em longo prazo.
Provas
Uma paciente de 71 anos de idade mostra-se em bom estado geral, com capacidade funcional > 7 mEts e dor torácica ventilatório-dependente unilateral à direita, sem histórico de febre. Foi submetida a toracocentese com biópsia de pleura, cujo resultado foi compatível com adenocarcinoma metastático na pleura, sendo o tumor primário o pulmão. Após toracocentese de alívio, a paciente realizou PET-CT de corpo inteiro e RNM de encéfalo. A RNM de encéfalo não demonstrou lesões metastáticas. O PET-CT apresentou lesão nodular com hipercaptação em lobo médio de 3,5 cm, além de linfonodos ipsilaterais aumentados e hipercaptantes, e captação difusa na pleura à direita.
Com base nesse caso clínico e nos conhecimentos médicos correlatos, julgue os itens a seguir.
PDL-1, ALK e EGFR devem ser pesquisados no anatomopatológico. Caso sejam positivos, o prognóstico torna-se melhor.
Provas
Uma paciente de 71 anos de idade mostra-se em bom estado geral, com capacidade funcional > 7 mEts e dor torácica ventilatório-dependente unilateral à direita, sem histórico de febre. Foi submetida a toracocentese com biópsia de pleura, cujo resultado foi compatível com adenocarcinoma metastático na pleura, sendo o tumor primário o pulmão. Após toracocentese de alívio, a paciente realizou PET-CT de corpo inteiro e RNM de encéfalo. A RNM de encéfalo não demonstrou lesões metastáticas. O PET-CT apresentou lesão nodular com hipercaptação em lobo médio de 3,5 cm, além de linfonodos ipsilaterais aumentados e hipercaptantes, e captação difusa na pleura à direita.
Com base nesse caso clínico e nos conhecimentos médicos correlatos, julgue os itens a seguir.
A paciente tem indicação de pesquisa de painel genético do seu tumor.
Provas
Uma paciente de 71 anos de idade mostra-se em bom estado geral, com capacidade funcional > 7 mEts e dor torácica ventilatório-dependente unilateral à direita, sem histórico de febre. Foi submetida a toracocentese com biópsia de pleura, cujo resultado foi compatível com adenocarcinoma metastático na pleura, sendo o tumor primário o pulmão. Após toracocentese de alívio, a paciente realizou PET-CT de corpo inteiro e RNM de encéfalo. A RNM de encéfalo não demonstrou lesões metastáticas. O PET-CT apresentou lesão nodular com hipercaptação em lobo médio de 3,5 cm, além de linfonodos ipsilaterais aumentados e hipercaptantes, e captação difusa na pleura à direita.
Com base nesse caso clínico e nos conhecimentos médicos correlatos, julgue os itens a seguir.
A pleurodese por VATS é superior à pleurodese com talcagem, realizada pelo dreno de tórax.
Provas
Uma paciente de 71 anos de idade mostra-se em bom estado geral, com capacidade funcional > 7 mEts e dor torácica ventilatório-dependente unilateral à direita, sem histórico de febre. Foi submetida a toracocentese com biópsia de pleura, cujo resultado foi compatível com adenocarcinoma metastático na pleura, sendo o tumor primário o pulmão. Após toracocentese de alívio, a paciente realizou PET-CT de corpo inteiro e RNM de encéfalo. A RNM de encéfalo não demonstrou lesões metastáticas. O PET-CT apresentou lesão nodular com hipercaptação em lobo médio de 3,5 cm, além de linfonodos ipsilaterais aumentados e hipercaptantes, e captação difusa na pleura à direita.
Com base nesse caso clínico e nos conhecimentos médicos correlatos, julgue os itens a seguir.
A paciente tem indicação de pleuroscopia e pleurodese.
Provas
Uma paciente de 71 anos de idade mostra-se em bom estado geral, com capacidade funcional > 7 mEts e dor torácica ventilatório-dependente unilateral à direita, sem histórico de febre. Foi submetida a toracocentese com biópsia de pleura, cujo resultado foi compatível com adenocarcinoma metastático na pleura, sendo o tumor primário o pulmão. Após toracocentese de alívio, a paciente realizou PET-CT de corpo inteiro e RNM de encéfalo. A RNM de encéfalo não demonstrou lesões metastáticas. O PET-CT apresentou lesão nodular com hipercaptação em lobo médio de 3,5 cm, além de linfonodos ipsilaterais aumentados e hipercaptantes, e captação difusa na pleura à direita.
Com base nesse caso clínico e nos conhecimentos médicos correlatos, julgue os itens a seguir.
Trata-se de um tumor de pulmão estadiamento T2aN2M1a.
Provas
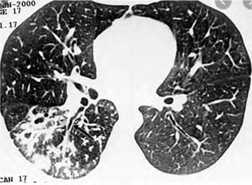
Um adolescente de 17 anos de idade procura atendimento em função de tosse vespertina, febre e hemoptise em pequena quantidade. Refere sudorese noturna e perda de peso. A tomografia de tórax apresenta nódulos centrolobulares com padrão de árvore em brotamento, além de pequenas cavitações espessas e de paredes irregulares, bem como brônquios espessados em segmento posterior do lobo inferior direito, conforme a imagem a seguir.

Acervo Pessoal.
Tendo em vista esse caso clínico, a imagem apresentada e os conhecimentos médicos correlatos, julgue os itens a seguir.
A doença que o paciente apresenta é um problema de saúde pública do Brasil e acomete principalmente mulheres idosas.
Provas
Um adolescente de 17 anos de idade procura atendimento em função de tosse vespertina, febre e hemoptise em pequena quantidade. Refere sudorese noturna e perda de peso. A tomografia de tórax apresenta nódulos centrolobulares com padrão de árvore em brotamento, além de pequenas cavitações espessas e de paredes irregulares, bem como brônquios espessados em segmento posterior do lobo inferior direito, conforme a imagem a seguir.

Acervo Pessoal.
Tendo em vista esse caso clínico, a imagem apresentada e os conhecimentos médicos correlatos, julgue os itens a seguir.
O paciente tem como principais complicações possíveis da doença hemoptise, atelectasia, empiema e formação de bronquiectasias.
Provas
Um adolescente de 17 anos de idade procura atendimento em função de tosse vespertina, febre e hemoptise em pequena quantidade. Refere sudorese noturna e perda de peso. A tomografia de tórax apresenta nódulos centrolobulares com padrão de árvore em brotamento, além de pequenas cavitações espessas e de paredes irregulares, bem como brônquios espessados em segmento posterior do lobo inferior direito, conforme a imagem a seguir.

Acervo Pessoal.
Tendo em vista esse caso clínico, a imagem apresentada e os conhecimentos médicos correlatos, julgue os itens a seguir.
O paciente é forte candidato a tratamento com RHZE.
Provas
Caderno Container