Foram encontradas 1.670 questões.
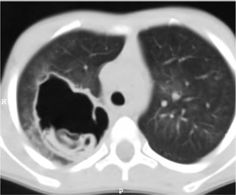
Determinado paciente de 49 anos de idade, morador em zona rural, iniciou com quadro de tosse importante, com piora progressiva, de início há dois meses, associada a alguns episódios de vômica. Refere febrículas na última semana. O paciente é tabagista leve, trabalha com criação de ovelhas e mora em casa com cachorros e gatos. Nega viagens internacionais recentes. Não foi encontrada nenhuma alteração no exame físico. Verificaram-se FC = 80 bpm, FR = 20 irpm e SatO2 = 99% em ar ambiente. A tomografia de tórax apresenta uma lesão cística de paredes espessas e conteúdo heterogêneo em seu interior, conforme representado na imagem a seguir.

Acervo Pessoal
Tendo em vista esse caso clínico e os conhecimentos médicos correlatos, julgue os itens a seguir.
O tamanho atingido pelo cisto não tem relação com os sítios acometidos.
Provas
Determinado paciente de 49 anos de idade, morador em zona rural, iniciou com quadro de tosse importante, com piora progressiva, de início há dois meses, associada a alguns episódios de vômica. Refere febrículas na última semana. O paciente é tabagista leve, trabalha com criação de ovelhas e mora em casa com cachorros e gatos. Nega viagens internacionais recentes. Não foi encontrada nenhuma alteração no exame físico. Verificaram-se FC = 80 bpm, FR = 20 irpm e SatO2 = 99% em ar ambiente. A tomografia de tórax apresenta uma lesão cística de paredes espessas e conteúdo heterogêneo em seu interior, conforme representado na imagem a seguir.

Acervo Pessoal
Tendo em vista esse caso clínico e os conhecimentos médicos correlatos, julgue os itens a seguir.
Esse paciente tem indicação de remoção cirúrgica da lesão.
Provas
Determinado paciente de 49 anos de idade, morador em zona rural, iniciou com quadro de tosse importante, com piora progressiva, de início há dois meses, associada a alguns episódios de vômica. Refere febrículas na última semana. O paciente é tabagista leve, trabalha com criação de ovelhas e mora em casa com cachorros e gatos. Nega viagens internacionais recentes. Não foi encontrada nenhuma alteração no exame físico. Verificaram-se FC = 80 bpm, FR = 20 irpm e SatO2 = 99% em ar ambiente. A tomografia de tórax apresenta uma lesão cística de paredes espessas e conteúdo heterogêneo em seu interior, conforme representado na imagem a seguir.

Acervo Pessoal
Tendo em vista esse caso clínico e os conhecimentos médicos correlatos, julgue os itens a seguir.
A doença apresentada é diagnosticada facilmente em pacientes com lesões císticas pulmonares e teste sorológico positivo, que moram em zonas endêmicas, como o paciente do caso clínico.
Provas
Determinado paciente de 49 anos de idade, morador em zona rural, iniciou com quadro de tosse importante, com piora progressiva, de início há dois meses, associada a alguns episódios de vômica. Refere febrículas na última semana. O paciente é tabagista leve, trabalha com criação de ovelhas e mora em casa com cachorros e gatos. Nega viagens internacionais recentes. Não foi encontrada nenhuma alteração no exame físico. Verificaram-se FC = 80 bpm, FR = 20 irpm e SatO2 = 99% em ar ambiente. A tomografia de tórax apresenta uma lesão cística de paredes espessas e conteúdo heterogêneo em seu interior, conforme representado na imagem a seguir.

Acervo Pessoal
Tendo em vista esse caso clínico e os conhecimentos médicos correlatos, julgue os itens a seguir.
O órgão acometido pela doença infecciosa do paciente é o sítio preferencial de acometimento por esse germe, e o segundo órgão preferencial é o fígado.
Provas
Determinado paciente de 49 anos de idade, morador em zona rural, iniciou com quadro de tosse importante, com piora progressiva, de início há dois meses, associada a alguns episódios de vômica. Refere febrículas na última semana. O paciente é tabagista leve, trabalha com criação de ovelhas e mora em casa com cachorros e gatos. Nega viagens internacionais recentes. Não foi encontrada nenhuma alteração no exame físico. Verificaram-se FC = 80 bpm, FR = 20 irpm e SatO2 = 99% em ar ambiente. A tomografia de tórax apresenta uma lesão cística de paredes espessas e conteúdo heterogêneo em seu interior, conforme representado na imagem a seguir.

Acervo Pessoal
Tendo em vista esse caso clínico e os conhecimentos médicos correlatos, julgue os itens a seguir.
A doença que o paciente apresenta é uma parasitose causada pelo Echinococcus.
Provas
Um paciente de 40 anos de idade é vítima de acidente automobilístico, sofrendo politrauma grave. É levado pelo serviço de ambulância da região e, na chegada, a via aérea está aparentemente obstruída por sangue e dentes fraturados. O paciente está tossindo e não conversa, e tem respiração assimétrica e ferimento perfurante no hemitórax à direita, em que o murmúrio está abolido. Verificam-se FR = 30 irpm, SatO2 = 89% com O2 óculos nasal a 3l/min, extremidades frias, com tempo de enchimento capilar lentificado, PA = 80 mmHg x 40 mmHg, FC = 125 bpm, quadril estável e sem evidência de fraturas. Com Glasgow 6, o paciente aparenta pupilas isocóricas e fotorreagentes, diversas escoriações por todo o corpo, fratura exposta na perna à direita e sinais de fratura de mandíbula.
Considerando esse caso clínico e os conhecimentos médicos correlatos, julgue os itens a seguir.
A via aérea deve ser prioridade nesse caso, seguida de avaliação do tórax.
Provas
Um paciente de 75 anos de idade queixa-se de disfagia, perda de peso e rouquidão. É tabagista ativo e refere consumir de três a cinco latas de cerveja diariamente. Nega outras doenças. O exame físico encontra-se sem particularidades, exceto pelo fato de o paciente estar um pouco emagrecido. As tomografias computadorizadas de região cervical e de tórax são normais. Endoscopia digestiva alta evidenciou lesão vegetante em esôfago médio.
Considerando esse caso clínico e os conhecimentos médicos correlatos, julgue os itens a seguir.
O paciente do caso clínico terá indicação de mucosectomia endoscópica, se o tumor for restrito à mucosa (denominado tumor precoce).
Provas
Um paciente de 75 anos de idade queixa-se de disfagia, perda de peso e rouquidão. É tabagista ativo e refere consumir de três a cinco latas de cerveja diariamente. Nega outras doenças. O exame físico encontra-se sem particularidades, exceto pelo fato de o paciente estar um pouco emagrecido. As tomografias computadorizadas de região cervical e de tórax são normais. Endoscopia digestiva alta evidenciou lesão vegetante em esôfago médio.
Considerando esse caso clínico e os conhecimentos médicos correlatos, julgue os itens a seguir.
A esofagectomia trans-hiatal tem maior risco de mediastinite e menor risco de sangramento.
Provas
Um paciente de 75 anos de idade queixa-se de disfagia, perda de peso e rouquidão. É tabagista ativo e refere consumir de três a cinco latas de cerveja diariamente. Nega outras doenças. O exame físico encontra-se sem particularidades, exceto pelo fato de o paciente estar um pouco emagrecido. As tomografias computadorizadas de região cervical e de tórax são normais. Endoscopia digestiva alta evidenciou lesão vegetante em esôfago médio.
Considerando esse caso clínico e os conhecimentos médicos correlatos, julgue os itens a seguir.
O diagnóstico provável é adenocarcinoma de esôfago.
Provas
Um paciente de 75 anos de idade queixa-se de disfagia, perda de peso e rouquidão. É tabagista ativo e refere consumir de três a cinco latas de cerveja diariamente. Nega outras doenças. O exame físico encontra-se sem particularidades, exceto pelo fato de o paciente estar um pouco emagrecido. As tomografias computadorizadas de região cervical e de tórax são normais. Endoscopia digestiva alta evidenciou lesão vegetante em esôfago médio.
Considerando esse caso clínico e os conhecimentos médicos correlatos, julgue os itens a seguir.
Fibrobroncoscopia é exame realizado no estadiamento dessa condição, para avaliar invasão de traqueia.
Provas
Caderno Container