Magna Concursos

Foram encontradas 40 questões.

À luz do Estatuto da Criança e do Adolescente, assinale a alternativa correta em relação à adoção.
 

Provas

Questão presente nas seguintes provas
Com base no Estatuto da Criança e do Adolescente, assinale a alternativa correta.
 

Provas

Questão presente nas seguintes provas
323649 Ano: 2019
Disciplina: Medicina
Banca: QUADRIX
Orgão: FHGV-RS
Provas:
De acordo com a nova classificação dos tumores cerebrais da Organização Mundial de Saúde (OMS), assinale a alternativa correta.
 

Provas

Questão presente nas seguintes provas
323612 Ano: 2019
Disciplina: Medicina
Banca: QUADRIX
Orgão: FHGV-RS
Provas:
Texto para a questão.
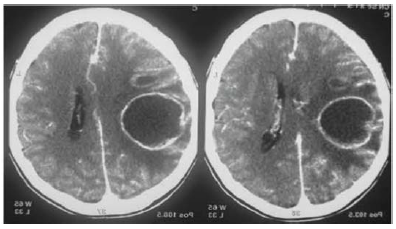
Um paciente de 32 anos de idade deu entrada no pronto-socorro com quadro de tosse e dor torácica de padrão pleural há cerca de um mês. Seu acompanhante refere que, há cinco dias, ele evoluiu com febre associada à cefaleia e, hoje, iniciou sonolência, afasia e hemiplegia à direita. O plantonista solicitou exames laboratoriais gerais, bem como tomografia computadorizada de crânio sem e com contraste. Após o resultado do exame de imagem mostrado a seguir, solicitou avaliação da neurocirurgia.
enunciado 323612-1

Mário G. Siqueira. Tratado de neurocirurgia. 1.ª ed. 2016.
Considerando esse caso hipotético e as características radiológicas do principal diagnóstico em questão, assinale a alternativa incorreta.
 

Provas

Questão presente nas seguintes provas
323575 Ano: 2019
Disciplina: Medicina
Banca: QUADRIX
Orgão: FHGV-RS
Provas:
Texto para a questão.
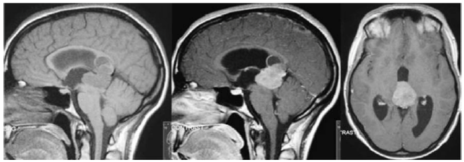
Um paciente de 28 anos de idade, previamente hígido, queixa-se de cefaleia de intensidade progressiva há duas semanas, associada a vômitos e à turvação visual. Ao exame físico, observa-se sonolência e desorientação, bem como papiledema à fundoscopia, paresia do olhar conjugado para cima e nistagmo em convergência. Traz consigo a ressonância magnética de crânio mostrada a seguir, que foi realizada após pedido de médico no posto de saúde.
enunciado 323575-1
O diagnóstico mais provável para esse caso hipotético é o de
 

Provas

Questão presente nas seguintes provas
323548 Ano: 2019
Disciplina: Medicina
Banca: QUADRIX
Orgão: FHGV-RS
Provas:
Um paciente hipertenso de 64 anos de idade foi internado devido a quadro de AVC hemorrágico não cirúrgico. Após 48 horas do íctus, foi realizada ressonância magnética de crânio de controle, sem aumento da lesão.
Com base nesse caso hipotético, assinale a alternativa que apresenta as características esperadas quanto à intensidade do sinal hemático nas ponderações T1 e T2, respectivamente.
 

Provas

Questão presente nas seguintes provas
323537 Ano: 2019
Disciplina: Medicina
Banca: QUADRIX
Orgão: FHGV-RS
Provas:

Texto para a questão.

Uma paciente de 62 anos de idade, com queixa de cefaleia há seis meses, evoluindo, há uma semana, com hemiparesia à esquerda (confirmada ao exame físico, com força grau III em membro inferior e grau IV em membro superior), realizou ressonância magnética de crânio com contraste, que evidenciou lesão intradural, extra-axial, localizada na convexidade frontal direita, medindo 5 cm de diâmetro, com intenso realce pelo meio de contraste e compressão do parênquima cerebral adjacente. Foi então submetida à ressecção da lesão, sendo o material encaminhado para análise histopatológica e imuno-histoquímica.

Na descrição do procedimento, o cirurgião relatou que a ressecção tumoral em sua porção intradural foi completa. Entretanto, não foi retirada ou coagulada a dura-máter onde o tumor estava aderido. Considerando essas informações, assinale a alternativa que apresenta o grau de ressecção alcançado nessa situação hipotética de acordo com a classificação de Simpson.
 

Provas

Questão presente nas seguintes provas
323491 Ano: 2019
Disciplina: Medicina
Banca: QUADRIX
Orgão: FHGV-RS
Provas:
A craniotomia frontotemporoesfenoidal, mais conhecida como pterional, representa o acesso transcraniano mais utilizado na neurocirurgia devido à sua praticidade e ampla exposição às mais variadas lesões neurocirúrgicas. A respeito dessa modalidade de craniotomia, assinale a alternativa correta.
 

Provas

Questão presente nas seguintes provas
323463 Ano: 2019
Disciplina: Medicina
Banca: QUADRIX
Orgão: FHGV-RS
Provas:
Texto para a questão.
Um paciente de 28 anos de idade, previamente hígido, queixa-se de cefaleia de intensidade progressiva há duas semanas, associada a vômitos e à turvação visual. Ao exame físico, observa-se sonolência e desorientação, bem como papiledema à fundoscopia, paresia do olhar conjugado para cima e nistagmo em convergência. Traz consigo a ressonância magnética de crânio mostrada a seguir, que foi realizada após pedido de médico no posto de saúde.
enunciado 323463-1
Além da síndrome de hipertensão intracraniana, outra síndrome observada no quadro clínico do paciente é a de
 

Provas

Questão presente nas seguintes provas
323448 Ano: 2019
Disciplina: Medicina
Banca: QUADRIX
Orgão: FHGV-RS
Provas:

Texto para a questão.

Uma paciente de 62 anos de idade, com queixa de cefaleia há seis meses, evoluindo, há uma semana, com hemiparesia à esquerda (confirmada ao exame físico, com força grau III em membro inferior e grau IV em membro superior), realizou ressonância magnética de crânio com contraste, que evidenciou lesão intradural, extra-axial, localizada na convexidade frontal direita, medindo 5 cm de diâmetro, com intenso realce pelo meio de contraste e compressão do parênquima cerebral adjacente. Foi então submetida à ressecção da lesão, sendo o material encaminhado para análise histopatológica e imuno-histoquímica.

Com base nessa situação hipotética, assinale a alternativa que apresenta o marcador que mais auxilia no diagnóstico diferencial entre meningioma e hemangiopericitoma.
 

Provas

Questão presente nas seguintes provas