Foram encontradas 335 questões.
As Diretrizes Brasileiras para o Rastreamento do
Câncer de Colo do Útero, utilizando testes moleculares
para detecção de DNA-HPV oncogênico, foram aprovadas em 2025.
Assinale a alternativa que NÃO está em acordo com as recomendações de transição do rastreamento citológico para o rastreamento com teste de DNA-HPV oncogênico.
Assinale a alternativa que NÃO está em acordo com as recomendações de transição do rastreamento citológico para o rastreamento com teste de DNA-HPV oncogênico.
Provas
Questão presente nas seguintes provas
Paciente, 28 anos, G2P0A1, 6 semanas pela DUM, apresenta dor pélvica de leve intensidade e sangramento
genital vinhoso. USG transvaginal: massa anexial esquerda de 2,5 cm de diâmetro médio, sem líquido livre
em fundo de saco. β-hCG inicial: 3.200 mUI/mL. Opta-se por metotrexato dose única (50 mg/m2
). No 4º
dia:
β-hCG 3.050 mUI/mL; no 7º
dia: 2.750 mUI/mL. Paciente
permanece assintomática.
Assinale a alternativa que apresenta a conduta mais adequada.
Assinale a alternativa que apresenta a conduta mais adequada.
Provas
Questão presente nas seguintes provas
Gestante G3P0, 40 semanas, período expulsivo há
50 min, analgesiada por duplo bloqueio, apresenta desaceleração prolongada de 6 min na cardiotocografia, não
responsiva a medidas iniciais de ressuscitação fetal. Ao
toque: dilatação total, occípito-direita-anterior, plano +2
de De Lee, pelve adequada e líquido claro.
Qual a conduta mais adequada nesse momento?
Qual a conduta mais adequada nesse momento?
Provas
Questão presente nas seguintes provas
Gestante G2P1, 39 semanas, durante palpação obstétrica pelas manobras de Leopold, apresenta: polo duro, regular e globoso no fundo uterino; superfícies irregulares
e pequenas partes palpáveis bilateralmente, sem dorso
definido; polo volumoso, duro e móvel sobre a sínfise púbica; e estrutura mole e volumosa ocupando o estreito
superior, sem pés palpáveis.
Assinale a alternativa que apresenta a interpretação mais provável.
Assinale a alternativa que apresenta a interpretação mais provável.
Provas
Questão presente nas seguintes provas
Quanto à vigilância do bem-estar fetal diante de quadro
de restrição do crescimento, é correto afirmar que
Provas
Questão presente nas seguintes provas
Para uma paciente gestante com diagnóstico de síndrome de antifosfolípides, assinale a alternativa correta.
Provas
Questão presente nas seguintes provas
Quanto ao rastreio de pré-eclâmpsia, assinale a alternativa correta.
Provas
Questão presente nas seguintes provas
Em relação aos cuidados no ciclo gravídico-puerperal de
mulheres portadoras de HIV, é incorreto afirmar que
Provas
Questão presente nas seguintes provas
Uma paciente de 16 anos procura o ambulatório de ginecologia por nunca ter menstruado. Informa que sua mãe
teve menopausa precoce aos 37 anos. O exame físico
evidencia desenvolvimento das mamas e pelos pubianos
(Tanner IV), índice de Ferriman = 7, e seu peso e altura
são 59 kg e 1,65 m, respectivamente.
Ela traz alguns exames laboratoriais recentes já solicitados previamente em outro serviço:
• FSH: 5 mUI/mL Valores de referência: Fase folicular: 3,5 a 12,5 mUI/mL Meio do ciclo: 4,7 a 21,5 mUI/mL Fase lútea: 1,7 a 7,7 mUI/mL Pós-menopausa: 25,8 a 134,8 mUI/mL
• LH: 7 mUI/mL Valores de referência: Fase folicular: 2,4 a 12,6 mUI/mL Meio do ciclo: 14,0 a 95,6 mUI/mL Fase lútea: 1,0 a 11,4 mUI/mL Pós-menopausa: 7,7 a 58,5 mUI/mL
• Prolactina: 17 ng/mL (Valores de referência: 5 − 20 ng/mL) • TSH: 2,6 µUI/mL (Valores de referência: 0,4 − 4,3 µUI/mL)
Qual é o próximo passo na investigação diagnóstica dessa paciente?
Ela traz alguns exames laboratoriais recentes já solicitados previamente em outro serviço:
• FSH: 5 mUI/mL Valores de referência: Fase folicular: 3,5 a 12,5 mUI/mL Meio do ciclo: 4,7 a 21,5 mUI/mL Fase lútea: 1,7 a 7,7 mUI/mL Pós-menopausa: 25,8 a 134,8 mUI/mL
• LH: 7 mUI/mL Valores de referência: Fase folicular: 2,4 a 12,6 mUI/mL Meio do ciclo: 14,0 a 95,6 mUI/mL Fase lútea: 1,0 a 11,4 mUI/mL Pós-menopausa: 7,7 a 58,5 mUI/mL
• Prolactina: 17 ng/mL (Valores de referência: 5 − 20 ng/mL) • TSH: 2,6 µUI/mL (Valores de referência: 0,4 − 4,3 µUI/mL)
Qual é o próximo passo na investigação diagnóstica dessa paciente?
Provas
Questão presente nas seguintes provas
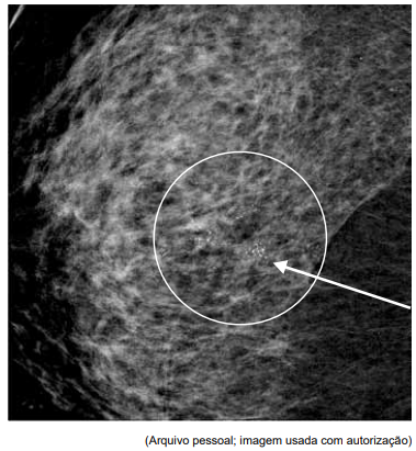
Paciente de 57 anos, assintomática, sem história familiar
de câncer de mama, comparece ao serviço de ginecologia trazendo mamografia de rastreamento, reproduzida a
seguir. O exame físico não evidencia nódulos palpáveis
ou linfadenopatia axilar.
Qual a conduta diagnóstica mais apropriada neste caso e a hipótese histopatológica mais provável, caso se confirme malignidade?
Qual a conduta diagnóstica mais apropriada neste caso e a hipótese histopatológica mais provável, caso se confirme malignidade?
Provas
Questão presente nas seguintes provas
Cadernos
Caderno Container