Magna Concursos

Foram encontradas 335 questões.

Homem de 54 anos com cirrose alcoólica (Child-Pugh B8, MELD 15) chega ao pronto-socorro com hematêmese volumosa há 6 horas. Apresenta frequência cardíaca de 110 bpm, pressão arterial de 95 × 60 mmHg, Sat O2 de 94% em ar ambiente. Recebeu reposição volêmica inicial, antibioticoterapia profilática e foi iniciado terlipressina. A endoscopia digestiva alta mostra varizes esofágicas de grosso calibre com coágulo aderido instável, que sangra após manipulação com o endoscópio, sendo realizada ligadura elástica.
Dessa forma, qual a conduta mais adequada segundo as diretrizes atuais?
 

Provas

Questão presente nas seguintes provas
Homem de 25 anos, ocupante da motocicleta que colidiu contra um carro que atravessava na transversal, há 30 minutos, velocidade de 40 km/h, sem capacete. Lateral do veículo com deformidades significativas na porta e no vidro. Sinais vitais no local: Sat O2 : 95%, FR: 16 ipm, FC: 100 bpm, PA: 110   x   70 mmHg, GCS: (AO: 3 RV: 4 RM: 6). O médico recebe o paciente em um hospital com total capacidade diagnóstica e cirúrgica, e os dados da admissão são os seguintes:
A: via aérea pérvia, Sat O2 : 94%, com colar cervical;
B: MV+ bilateral, escoriações em tórax anterior bilateral, FR: 16 ipm;
C: FC: 110 bpm, PA: 110 x 70 mmHg, FAST negativo, pelve estável, sem sangramentos externos;
D: pupilas anisocóricas, midríase à direita, GCS: (AO: 2 RV: 2 RM: 3); E: laceração em crânio à direita, sem lesões em dorso.

Qual achado do exame físico seria esperado nessa condição e quais condutas devem ser instituídas nesse momento?
 

Provas

Questão presente nas seguintes provas
Homem de 30 anos, condutor do automóvel que sofreu colisão lateral no lado do motorista por veículo que transitava a 80 km/h. Extricação em 30 minutos, FC: 90 bpm, PA: 110 x 70 mmHg, FR: 18 ipm e Sat O2 94%. Chega ao serviço médico com colar cervical, prancha rígida e máscara de O2 a 15 L/min. Sua unidade não possui tomografia e equipe cirúrgica. Os dados da admissão são os seguintes:

• Conversa com equipe, respiração sem ruídos;
• Murmúrios vesiculares e expansibilidade reduzidos a esquerda, Sat. O2 : 92%;
• Sem sangramentos externos, dor abdominal difusa, pelve estável, PA: 100 x 70 mmHg, FC: 100 bpm, FR: 18 ipm, TEC: 4s;
• AO: 4, RV: 5, RM: 6, pupilas isocóricas e fotorreagentes;
• Escoriações toracoabdominais à esquerda, sem lesões em dorso.

Qual exame adjunto confirmaria os prováveis diagnósticos e quais as condutas necessárias, respectivamente?
 

Provas

Questão presente nas seguintes provas
Homem de 22 anos, vítima de colisão de motocicleta versus automóvel, ocupante da motocicleta, sem capacete, a 50 km/h. Colidiu com a face contra o para-brisa traseiro do veículo. Levado ao pronto-socorro em prancha rígida, com colar cervical e máscara não reinalante com oxigênio 100% a 15 L/min. Há múltiplas fraturas de face, fratura de mandíbula e sangramento em grande quantidade em cavidade oral. Realizada aspiração de via aérea e tentativa de laringoscopia, sem sucesso devido a sangramento contínuo em orofaringe.

Qual a complicação tardia mais frequente do procedimento necessário para assegurar a via aérea do paciente?
 

Provas

Questão presente nas seguintes provas
Homem de 46 anos, trabalhador da construção civil, sofreu queda ao escorregar, caindo sentado sobre um vergalhão. Não houve perfuração da parede abdominal. A imagem a seguir mostra o exame físico da região genital:


Enunciado 4425230-1


(Arquivo pessoal; imagem usada com autorização)

Durante a exploração cirúrgica para retirada do vergalhão, quais estruturas devem ser avaliadas?
 

Provas

Questão presente nas seguintes provas
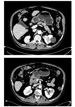
Homem de 65 anos refere hematúria macroscópica há 1 mês. Nega comorbidades ou cirurgias prévias e tem antecedente de cálculos urinários. É tabagista há 40 anos, de um maço por dia. Foi solicitada a tomografia de abdome e pelve, demonstrada a seguir:


Enunciado 4425229-1


(Arquivo pessoal; imagem usada com autorização)

Com essas informações, qual o diagnóstico, uma possível complicação pós-operatória e a medida necessária para reduzir o risco dessa complicação, respectivamente?
 

Provas

Questão presente nas seguintes provas
Homem de 67 anos, com queixa de piora progressiva do jato miccional associada a aumento do esforço miccional e hesitação, além de urgência miccional esporádica sem perdas urinárias. Paciente com hipertensão arterial sistêmica, com controle adequado e em programação cirúrgica para correção de catarata bilateral. O PSA é de 1,8 ng/dL, e a ultrassonografia demonstra próstata com 45 g, bexiga normal e resíduo pós-miccional de 60 mL.
Dentre os medicamentos utilizados para tratar esse paciente, qual deve ser evitado nesse momento?
 

Provas

Questão presente nas seguintes provas

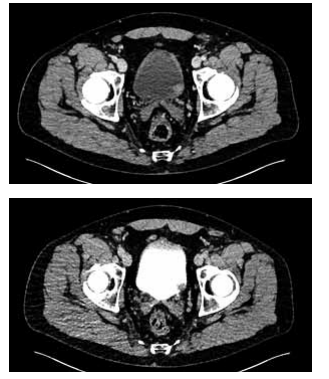
Observe a imagem da tomografia a seguir:

Enunciado 4425227-1

Enunciado 4425227-2

(Arquivo pessoal; imagem usada com autorização)




Qual diagnóstico deve ser considerado com base nos achados da tomografia e qual diagnóstico concomitante está associado à sua hipótese?

 

Provas

Questão presente nas seguintes provas
Mulher de 62 anos, submetida a histerectomia total videolaparoscópica, sem intercorrências, há 7 dias. Chega ao pronto-socorro referindo dor abdominal difusa há 3 dias, incialmente leve, mas com piora progressiva, e que melhora com dipirona. Sem queixas miccionais. Ao exame físico, as feridas operatórias estão com bom aspecto, abdome distendido, mas compressível e dor difusa à palpação. Exames relevantes: Hb: 12,5 g/dL, Cr: 1,3 mg/dL, Ur: 25 mg/dL, PCR: 5,3 mg/dL. A ultrassonografia demonstra líquido livre abdominal em moderada quantidade.

Qual estrutura está comprometida e qual a sua provável causa, respectivamente?
 

Provas

Questão presente nas seguintes provas
Mulher de 42 anos, submetida e ureterorrenolitotripsia flexível com colocação de duplo J à direita por cálculo calicinal superior de 10 mm. No primeiro dia pós-operatório, refere hematúria, disúria e urgência miccional sem perdas urinárias.
Esses sintomas estão relacionados a qual condição e qual o tratamento indicado, respectivamente?
 

Provas

Questão presente nas seguintes provas