Foram encontradas 335 questões.
Homem de 34 anos, previamente hígido, há 2 meses com
quadro de tosse seca, edema em face e pletora facial
moderada, que melhoram ao sentar-se. Realizou extração
dentária há 3 semanas. Ao exame físico: saturação de
95% em ar ambiente; hemodinamicamente estável. Massa palpável em testículo direito, que o paciente não havia
notado antes. Foi então submetido à angiotomografia de
tórax, com os seguintes achados relevantes: massa heterogênea de 10 cm no mediastino anterior com áreas
necróticas; compressão moderada da veia cava superior
e traqueia pérvia. Marcadores sanguíneos relevantes:
β-hCG 1.200 mUI/mL, AFP 2.500 ng/mL, DHL elevada.
Diante desse quadro, assinale a alternativa que apresenta a conduta inicial mais indicada.
Diante desse quadro, assinale a alternativa que apresenta a conduta inicial mais indicada.
Provas
Questão presente nas seguintes provas
Homem acamado de 70 anos, com histórico de AVC
isquêmico há 3 anos, evoluiu com úlcera de pressão em
região sacral, estágio IV, com 10 cm de diâmetro, exposição de osso sacro, presença de tecido necrótico e secreção purulenta. Não há sinais de sepse.
Qual a conduta mais adequada nesse momento?
Qual a conduta mais adequada nesse momento?
Provas
Questão presente nas seguintes provas
Homem de 65 anos, com antecedente de DPOC grave,
foi submetido há 10 dias a uma traqueostomia eletiva por
intubação prolongada. Apresenta episódio de hemoptise
volumosa pela cânula associada à hipotensão arterial.
Assinale a alternativa que apresenta a conduta imediata mais indicada.
Assinale a alternativa que apresenta a conduta imediata mais indicada.
Provas
Questão presente nas seguintes provas
Homem de 23 anos com linfonodomegalia de 2 cm,
conforme demonstrada na imagem a seguir, com suspeita
de doença linfoproliferativa.
(Arquivo pessoal; imagem usada com autorização)
Assinale a alternativa que apresenta os cuidados cirúrgicos necessários durante a biópsia excisional.
(Arquivo pessoal; imagem usada com autorização)
Assinale a alternativa que apresenta os cuidados cirúrgicos necessários durante a biópsia excisional.
Provas
Questão presente nas seguintes provas
Mulher de 42 anos, previamente hígida, foi submetida a
procedimento estético em consultório odontológico há 8
horas. Há 1 hora, notou aumento do volume cervical e
veio ao pronto-socorro para avaliação. No momento, está
estável hemodinamicamente, eupneica em ar ambiente.
A imagem a seguir demonstra o aspecto do pescoço.
(Sociedade Brasileira de Cirurgia de Cabeça e Pescoço)
Assinale a alternativa que apresenta a conduta mais indicada no manejo do caso.
(Sociedade Brasileira de Cirurgia de Cabeça e Pescoço)
Assinale a alternativa que apresenta a conduta mais indicada no manejo do caso.
Provas
Questão presente nas seguintes provas
Homem de 65 anos assintomático, sem comorbidades,
com antecedente de tabagismo de 40 anos/maço, teve
achado incidental de um nódulo pulmonar. Realizou tomografia com achado de nódulo sólido localizado na periferia do lobo superior direito, medindo aproximadamente
2,5 x 1,5 cm. No PET-TC, o nódulo demonstra SUV máximo 6,0. Não se observam linfonodomegalias hipermetabólicas no mediastino ou no hilo pulmonar, nem focos de
hipercaptação à distância sugestivos de doença metastática. O paciente tem boa função pulmonar.
Qual a conduta mais indicada para esse paciente nesse momento?
Qual a conduta mais indicada para esse paciente nesse momento?
Provas
Questão presente nas seguintes provas
Mulher de 68 anos, com antecedente de tabagismo e
etilismo, vem para avaliação com queixa de disfonia há 4
meses. Nega disfagia e está eupneica.
Assinale a alternativa que apresenta uma descrição de exame físico compatível com o quadro dessa paciente.
Assinale a alternativa que apresenta uma descrição de exame físico compatível com o quadro dessa paciente.
Provas
Questão presente nas seguintes provas
Homem de 22 anos, previamente hígido, procura atendimento ambulatorial por aumento doloroso na linha média
do pescoço há 4 dias, associado a febre baixa e odinofagia. Ao exame, apresenta massa de aproximadamente
3 cm na região submentoniana média, dolorosa à palpação, sem sinais de flutuação, mas com hiperemia e calor
local. Realizada ultrassonografia cervical, que evidenciou
lesão cística 3,2 cm nesta topografia com conteúdo
espesso, cranial à chanfradura laríngea.
Com base no quadro clínico e nos achados do exame de imagem, assinale a alternativa que apresenta a conduta mais adequada nesse momento.
Com base no quadro clínico e nos achados do exame de imagem, assinale a alternativa que apresenta a conduta mais adequada nesse momento.
Provas
Questão presente nas seguintes provas
Mulher de 28 anos com queixa de perda de peso e insônia. Ao exame físico, tem FC 100 bpm, tireoide palpável
com nódulo 2 cm em lobo direito, bem delimitado, fibroelástico e móvel. Apresenta os exames a seguir: hemoglobina 12,2 g/dL; ureia 45 mg/dL; creatinina 0,7 mg/dL;
sódio 140 mg/dL; potássio 4,0 mg/dL, TSH < 0,005 mU/L,
T4l 2,1 ng/dL, anti-TPO 25 U/mL (ref. < 35 U/mL), TRAb
1 U/L (< 1,75), além da cintilografia de tireoide ilustrada
a seguir.
Com esses dados, assinale a alternativa correta em relação à conduta mais indicada.
Com esses dados, assinale a alternativa correta em relação à conduta mais indicada.
Provas
Questão presente nas seguintes provas
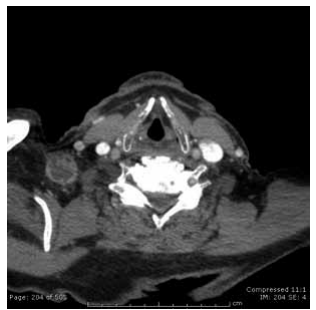
Homem de 52 anos vem ao pronto-socorro com queixa
de dor em região cervical há 2 dias. Refere dor intensa
em região cervical à esquerda, associada ao aumento de
volume local, hiperemia e calor. Nega febre ou episódios
prévios semelhantes. Refere piora da dor à alimentação.
Ao exame físico, há aumento importante de volume de
partes moles em nível IB à esquerda, com intensa hiperemia e calor locais. Palpação profunda impedida por dor.
À oroscopia, há saída de secreção purulenta na papila
sublingual.
Sobre a condução do caso, assinale a alternativa correta.
Sobre a condução do caso, assinale a alternativa correta.
Provas
Questão presente nas seguintes provas
Cadernos
Caderno Container