Foram encontradas 50 questões.
Paciente de 26 anos de idade, alpinista, retorna de uma
viagem onde foi realizada uma expedição ao Nepal.
Desde então apresenta diarreia persistente há 5 semanas,
observou fezes que flutuam na água, gases e distensão
abdominal. Realizado exame parasitológico de fezes que
evidencia um protozoário flagelado.
Com base nesse caso clínico hipotético, assinale a opção que contempla o mais provável patógeno.
Com base nesse caso clínico hipotético, assinale a opção que contempla o mais provável patógeno.
Provas
Questão presente nas seguintes provas
Paciente mulher, de 31 anos idade, em acompanhamento
ambulatorial devido hipertensão arterial sistêmica. Em uso
de anlodipino e losartana, pressão arterial na consulta de
160x90, mantendo níveis semelhantes em domicilio. Possui
diagnóstico recente, fazia acompanhamento ambulatorial
regular para promoção e prevenção em saúde. Exames
laboratoriais com hipocalemia persistente nas últimas
semanas, sem mais alterações dignas de nota.
Com base nesse caso clínico hipotético, assinale a opção que apresenta a principal hipótese diagnóstica.
Com base nesse caso clínico hipotético, assinale a opção que apresenta a principal hipótese diagnóstica.
Provas
Questão presente nas seguintes provas
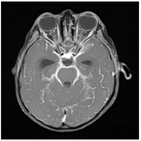
Um homem de 29 anos de idade e recém-diagnosticado
com HIV (CD4 25) apresentou-se com febre, dor de
cabeça e fotofobia. A análise de LCR evidenciou pleocitose
linfocítica, aumento de proteínas e glicose consumida. A
RNM de crânio apontou realce leptomeningeo das cisternas
da base.
A partir desse caso clínico hipotético, assinale a opção com a hipótese diagnóstica adequada.
A partir desse caso clínico hipotético, assinale a opção com a hipótese diagnóstica adequada.
Provas
Questão presente nas seguintes provas
Um homem de 45 anos de idade compareceu ao
departamento de emergência em estado de confusão,
taquidispneico e com borramento visual. O acompanhante
relatou que o paciente possuía o hobby de produzir bebidas
alcoólicas artesanais com os amigos e bebeu grande
quantidade recentemente. Exames com pH de 7,05, ânion
gap de 28 mmol/l e gap osmolar de 18 mOsm/kg.
Com base nesse caso clínico hipotético, assinale a opção que apresenta a provável causa dos sintomas visuais
Com base nesse caso clínico hipotético, assinale a opção que apresenta a provável causa dos sintomas visuais
Provas
Questão presente nas seguintes provas
Caso clínico hipotético para a questão.
Uma paciente de 35 anos de idade dirigiu-se ao pronto
atendimento com queixa de tosse há 4 meses. Ela
relatou fadiga, astenia e mal-estar desde o início do
quadro. Também queixou-se de febre baixa intermitente,
oligoartrite aguda simétrica em tornozelos e lesões
nodulares e dolorosas em região pré-tibial de membros
inferiores com perda de peso não mensurada.
Provas
Questão presente nas seguintes provas
Caso clínico hipotético para a questão.
Uma paciente de 35 anos de idade dirigiu-se ao pronto
atendimento com queixa de tosse há 4 meses. Ela
relatou fadiga, astenia e mal-estar desde o início do
quadro. Também queixou-se de febre baixa intermitente,
oligoartrite aguda simétrica em tornozelos e lesões
nodulares e dolorosas em região pré-tibial de membros
inferiores com perda de peso não mensurada.
Provas
Questão presente nas seguintes provas
Caso clínico hipotético para a questão.
Uma paciente de 35 anos de idade dirigiu-se ao pronto
atendimento com queixa de tosse há 4 meses. Ela
relatou fadiga, astenia e mal-estar desde o início do
quadro. Também queixou-se de febre baixa intermitente,
oligoartrite aguda simétrica em tornozelos e lesões
nodulares e dolorosas em região pré-tibial de membros
inferiores com perda de peso não mensurada.

Provas
Questão presente nas seguintes provas
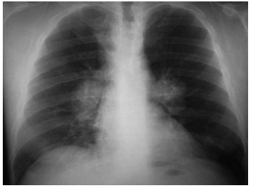
Um paciente de 67 anos de idade, diabético e hipertenso,
dirigiu-se ao pronto-socorro com quadro de tosse, febre,
dispneia e mal-estar há 2 dias. Foram negados sintomas
gripais, internações recentes ou uso de antibiótico no
último ano.
Com base nesse caso clínico hipotético, assinale a opção adequada.
Com base nesse caso clínico hipotético, assinale a opção adequada.
Provas
Questão presente nas seguintes provas
Com base no quadro clínico e eletrocardiograma da questão
anterior, assinale a parede cardíaca acometida.
Provas
Questão presente nas seguintes provas
Considere-se a imagem a seguir.

Foi realizado eletrocardiograma do paciente e solicitada troponina. Com base no quadro clínico e na imagem apresentada, assinale a opção que apresenta a conduta adequada.
Provas
Questão presente nas seguintes provas
Cadernos
Caderno Container