Foram encontradas 780 questões.
Provas
Provas
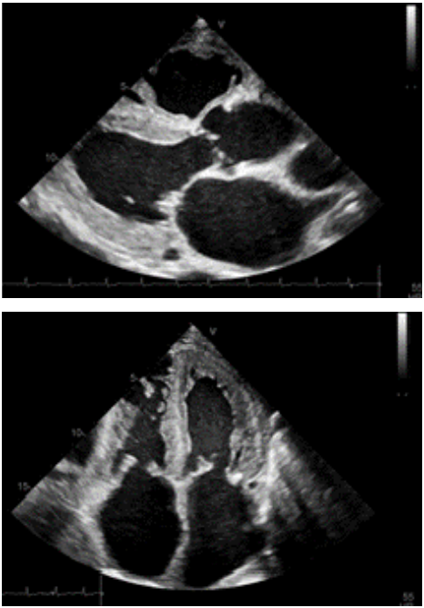
Paciente de 72 anos de idade, sexo masculino, sem histórico de doença coronariana, hipertensão arterial controlada, apresenta síndrome do túnel do carpo, síncope e sintomas de insuficiência cardíaca há 4 meses.
Com base nessa situação hipotética e nas imagens, assinale a alternativa que inclui a principal hipótese diagnóstica e um método complementar de avaliação ecocardiográfica que deve ser aplicado nesse caso.

Imagem: arquivo pessoal.
Provas

Imagem: arquivo pessoal.
O achado exibido na imagem acima e sua correlação clínica são
Provas
A respeito da avaliação da função sistólica do ventrículo direito (VD), assinale a alternativa incorreta
Provas
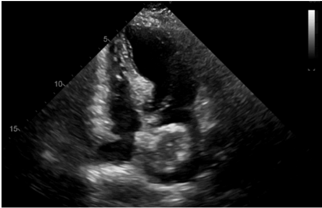
Paciente de 42 anos de idade, sexo feminino, relata há alguns meses perda ponderal, fadiga, mal-estar. Há dois meses refere episódios de síncope e dispneia aos moderados esforços. A paciente realizou ecocardiograma transtorácico com a imagem abaixo. Com base nessa situação hipotética, de acordo com a história clínica, epidemiologia e achado ecocardiográfico, o diagnóstico mais provável é

Imagem: arquivo pessoal.
Provas
Durante a avaliação da função diastólica do ventrículo esquerdo de um paciente de 50 anos de idade, hipertenso com controle pressórico são obtidos os seguintes dados: relação E/A = 1,4 durante o repouso; relação E/A = 0,6 durante a manobra de Valsalva.
Com base nessa situação hipotética, a respeito da função diastólica do ventrículo esquerdo desse paciente, é correto afirmar que
Provas
Segundo o “Posicionamento sobre indicações da Ecocardiografia em Adultos” de 2019, no contexto da Doença Coronariana Crônica e as indicações de ecocardiograma sob estresse, é correto afirmar que
Provas
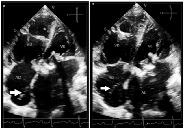
Paciente de 55 anos de idade, sexo feminino, em avaliação da prótese biológica em posição mitral com provável estenose, apresenta uma estrutura móvel em átrio direito (de acordo com a seta).
Com base nessa situação hipotética, assinale a alternativa correta que correlaciona a estrutura apontada pela seta e outro achado que pode estar associado à sua presença.

Imagem: arquivo pessoal.
Provas
Paciente de 48 anos de idade, sexo feminino, apresenta fibrilação atrial e sopro regurgitativo em foco mitral. Foi realizado ecocardiograma, o qual obteve as imagens abaixo.
Com base nessa situação hipotética, assinale a alternativa correta que apresenta o diagnóstico ecocardiográfico do mecanismo da insuficiência mitral e a classificação de Carpentier.

Imagem: Arquivo pessoal.
Provas
Caderno Container