Magna Concursos

Foram encontradas 780 questões.

3126084 Ano: 2023
Disciplina: Medicina
Banca: QUADRIX
Orgão: FSNH
Provas:

A continência anal e todo o mecanismo de defecação depende de inúmeros fatores. Com base nessa informação, assinale a alternativa correta.

 

Provas

Questão presente nas seguintes provas
3126083 Ano: 2023
Disciplina: Medicina
Banca: QUADRIX
Orgão: FSNH
Provas:

A anatomia cirúrgica é de suma importância nas cirurgias colorretais. Com base nessa informação, assinale a alternativa correta.

 

Provas

Questão presente nas seguintes provas
3126082 Ano: 2023
Disciplina: Medicina
Banca: QUADRIX
Orgão: FSNH
Provas:

Paciente 64 anos de idade, DRC dialítica (3x na semana, dialisa por cateter de longa permanência), internada na enfermaria de clínica médica para investigação de quadro de dispneia. Inicialmente na admissão, visto padrão B predominando nos pulmões ao POCUS e veia cava turgida. Quadro em ampla melhora após receber furosemida e realizar hemodiálise. O interno do leito refere resultado de um par de hemocultura coletada no momento da admissão: candida albicans. Paciente afebril, estável hemodinamicamente, em melhora clínica.

Com base nessa situação hipotética, assinale qual é a conduta mais adequada.

 

Provas

Questão presente nas seguintes provas
3126081 Ano: 2023
Disciplina: Medicina
Banca: QUADRIX
Orgão: FSNH
Provas:

Paciente deu entrada no hospital devido à confusão mental aguda. Nos exames, foi notado cálcio elevado e albumina normal. PTH suprimido.

Com base nessa situação hipotética, assinale a possível causa dessa hipercalmia.

 

Provas

Questão presente nas seguintes provas
3126080 Ano: 2023
Disciplina: Medicina
Banca: QUADRIX
Orgão: FSNH
Provas:

Paciente de 47 anos de idade, previamente hígido, internado na enfermaria de clínica médica devido à erisipela em membro inferior direito, inicia, no quinto dia de internação, dispneia e tosse. A equipe realiza USG à beira leito, que evidencia:

• Padrão A em todo hemitórax direito e esquerdo

• Veia cava turgida

• Ausência de derrame pericárdico

• Sinal de McConnel na janela apical 4 câmaras

• E seguinte imagem na janela paraesternal eixo curto

Enunciado 3526401-1

Legenda: D Sign

Com base nessa situação hipotética, assinale a alternativa com o diagnóstico mais provável.

 

Provas

Questão presente nas seguintes provas
3126079 Ano: 2023
Disciplina: Medicina
Banca: QUADRIX
Orgão: FSNH
Provas:

Paciente com injúria renal aguda, cateter de diálise de curta permanência em femoral direita, com sinais flogísticos, inicia quadro de febre, calafrios, hipotensão arterial e tremores. Além de coleta de hemoculturas e expansão volêmica inicial (a depender da volemia do paciente).

Com base nessa situação hipotética, um esquema de antibioticoterapia empírica mais adequado seria

 

Provas

Questão presente nas seguintes provas
3126078 Ano: 2023
Disciplina: Medicina
Banca: QUADRIX
Orgão: FSNH
Provas:

Paciente de 63 anos de idade, sexo feminino, internada na emergência do pronto-socorro devido à palpitação e dispneia. PA 100x60 sat 90% em ar ambiente, turgência jugular ao exame físico. ECG: ausência de onda P, RR irregular, QRS estreito. FC 180 bpm.

Com base nessa situação hipotética, a melhor conduta seria

 

Provas

Questão presente nas seguintes provas
3126077 Ano: 2023
Disciplina: Medicina
Banca: QUADRIX
Orgão: FSNH
Provas:

Paciente de 50 kg internado devido à injúria renal aguda. Gasometria arterial: PH 7,25, HCO3 20, PO2 62, PCO2 37 SAT 99%.

Com base nesse caso hipotético, assinale a alternativa correta.

 

Provas

Questão presente nas seguintes provas
3126076 Ano: 2023
Disciplina: Medicina
Banca: QUADRIX
Orgão: FSNH
Provas:

Mulher, 27 anos de idade, internada devido pielonefrite, em D4 de Ceftriaxone. O resultado de urocultura coletada na admissão demonstra E. Coli ESBL (Extended Spectrum Beta Lactamase).

Com base nessa situação hipotética, o esquema de antibioticoterapia mais adequado é

 

Provas

Questão presente nas seguintes provas
3126075 Ano: 2023
Disciplina: Medicina
Banca: QUADRIX
Orgão: FSNH
Provas:

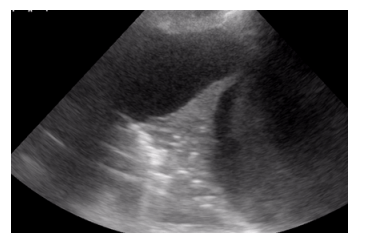
O exame físico do hemitórax esquerdo de um paciente internado na enfermaria de clínica médica, com dispneia, revelou: ausculta abolida, frêmito toracovocal abolido, percussão maciça. O POCUS realizado em transição toracoabdominal evidencia a imagem a seguir.

Enunciado 3526396-1

Com base nessa situação hipotética, é correto afirmar que a alteração patológica percebida no exame físico e no exame complementar trata-se de

 

Provas

Questão presente nas seguintes provas