Foram encontradas 2.894 questões.

Um homem de sessenta e dois anos de idade, com antecedentes de hipertensão arterial e tabagismo, foi atendido na emergência ambulatorial, apresentando um quadro de precordialgia em peso, de forte intensidade, com irradiação para o membro superior esquerdo, surgido havia três horas. No exame físico, o paciente encontrou-se eupneico, acianótico, com pressão arterial de 138 mmHg × 84 mmHg, frequência cardíaca de 78 bpm, ritmo cardíaco regular em dois tempos e sem sopros. O restante do exame físico, a dosagem das enzimas cardíacas (CK-MB massa e troponina) e demais exames laboratoriais de rotina se mostraram normais. Foi realizado um exame de eletrocardiograma (com calibração normal), e o resultado encontra-se ilustrado na figura apresentada.
Com relação a esse caso clínico, julgue o item a seguir.
Trata-se de paciente com infarto agudo do miocárdio, com acometimento da parede anterior e lateral do ventrículo esquerdo.
Provas

Um homem de sessenta e dois anos de idade, com antecedentes de hipertensão arterial e tabagismo, foi atendido na emergência ambulatorial, apresentando um quadro de precordialgia em peso, de forte intensidade, com irradiação para o membro superior esquerdo, surgido havia três horas. No exame físico, o paciente encontrou-se eupneico, acianótico, com pressão arterial de 138 mmHg × 84 mmHg, frequência cardíaca de 78 bpm, ritmo cardíaco regular em dois tempos e sem sopros. O restante do exame físico, a dosagem das enzimas cardíacas (CK-MB massa e troponina) e demais exames laboratoriais de rotina se mostraram normais. Foi realizado um exame de eletrocardiograma (com calibração normal), e o resultado encontra-se ilustrado na figura apresentada.
Com relação a esse caso clínico, julgue o item a seguir.
A melhor estratégia para tratamento imediato desse paciente, visando à redução de eventos cardiovasculares graves, é o uso de terapia fibrinolítica intravenosa.
Provas
Acerca dos exames complementares invasivos e não invasivos de indicação frequente na prática clínica, julgue o item que se segue.
A detecção de níveis plasmáticos do d-dímero em quantidades menores do que 500 µg/L, por meio do método quantitativo rápido ELISA (enzyme-linked immunosorbent assay), constitui uma evidência usada na prática clínica para descartar o diagnóstico de tromboembolismo venoso em indivíduos de baixa probabilidade clínica.
Provas
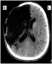
Uma mulher de sessenta e dois anos de idade foi levada pelo acompanhante ao atendimento médico de um hospital, às 7 horas e 30 minutos da manhã. O acompanhante relatou que a paciente tinha sofrido uma queda no banheiro de sua residência enquanto tomava banho, às 6 horas da manhã, e que ele a havia encontrado minutos depois. A paciente não conseguia mover o braço e a perna esquerdos, falava de forma lenta e arrastada, mas com sentido lógico. No exame clínico, foram observadas pressão arterial de 160 mmHg × 95 mmHg, ausculta cardíaca com ritmo cardíaco irregularmente irregular e frequência cardíaca de 98 bpm, sem sopros. A paciente estava com lentidão para responder a questionamentos, apresentava pupilas isocóricas e fotorreagentes, diminuição da sensibilidade dolorosa no lado esquerdo da face, paralisia facial central, hemiparesia flácida do hemicorpo esquerdo (mais acentuada nos membros superiores), reflexos profundos mais acentuados à esquerda e sinal de Babinski à esquerda. No eletrocardiograma realizado foram detectados ritmo de fibrilação atrial, com frequência ventricular média de 100 spm, SÂQRS = -30º, sinais de sobrecarga ventricular esquerda e alterações difusas e secundárias da repolarização ventricular. A tomografia computadorizada do crânio, sem contraste, realizada na paciente, apresentou o resultado mostrado a seguir.

Internet:<www.emedicinehealth.com> (com modificações).
Com relação a esse caso clínico, julgue o item seguinte.
Nesse caso, o uso de medicação trombolítica é contraindicado por ter ultrapassado o tempo da janela terapêutica.
Provas
Uma mulher de sessenta e dois anos de idade foi levada pelo acompanhante ao atendimento médico de um hospital, às 7 horas e 30 minutos da manhã. O acompanhante relatou que a paciente tinha sofrido uma queda no banheiro de sua residência enquanto tomava banho, às 6 horas da manhã, e que ele a havia encontrado minutos depois. A paciente não conseguia mover o braço e a perna esquerdos, falava de forma lenta e arrastada, mas com sentido lógico. No exame clínico, foram observadas pressão arterial de 160 mmHg × 95 mmHg, ausculta cardíaca com ritmo cardíaco irregularmente irregular e frequência cardíaca de 98 bpm, sem sopros. A paciente estava com lentidão para responder a questionamentos, apresentava pupilas isocóricas e fotorreagentes, diminuição da sensibilidade dolorosa no lado esquerdo da face, paralisia facial central, hemiparesia flácida do hemicorpo esquerdo (mais acentuada nos membros superiores), reflexos profundos mais acentuados à esquerda e sinal de Babinski à esquerda. No eletrocardiograma realizado foram detectados ritmo de fibrilação atrial, com frequência ventricular média de 100 spm, SÂQRS = -30º, sinais de sobrecarga ventricular esquerda e alterações difusas e secundárias da repolarização ventricular. A tomografia computadorizada do crânio, sem contraste, realizada na paciente, apresentou o resultado mostrado a seguir.

Internet:<www.emedicinehealth.com> (com modificações).
Com relação a esse caso clínico, julgue o item seguinte.
O caso clínico em questão permite concluir a existência de correlação causal entre os achados eletrocardiográficos observados nessa paciente e a situação clínica neurológica observada.
Provas
Em um estudo epidemiológico transversal, o número de casos de uma doença existente em determinada população indica a medida de incidência dessa doença.
Provas
Por meio da tonometria, é possível diagnosticar lesões de fundo de olho que fundamentam o diagnóstico de hipertensão arterial e de diabetes melito.
Provas
A respeito do consumo de ácidos graxos e da sua influência na prevenção do desenvolvimento de doenças cardiovasculares, julgue o item a seguir.
O consumo de peixe, especialmente de espécies ricas em ácidos graxos do tipo eicosapentaenoico (EPA) e ácido docosaexaenoico (DHA), reduz o risco de morte coronária e de mortalidade total. Para isso, recomenda-se a ingestão de peixe no mínimo duas vezes por semana como parte de uma dieta saudável.
Provas
Foi atendida, em uma consulta médica, uma jovem de dezoito anos de idade. De acordo com a anamnese da paciente, o médico tomou conhecimento de que, nos últimos dois meses, ela vinha apresentando episódios diários de dispneia com sibilos durante esforço, além de quadros semanais de dispneia e tosse improdutiva no período noturno. A paciente negou outras doenças ou tabagismo e, no exame físico, não foram constatadas anormalidades significativas. O exame de espirometria realizado revelou uma redução do volume expiratório forçado no primeiro segundo (VEF1) de 69%.
No que diz respeito a esse caso clínico e a controle e prevenção de doenças respiratórias, julgue o próximo item.
Essa paciente deve ser submetida a tratamento com medicamento beta-agonista de ação rápida, em associação com um corticoide sistêmico.
Provas
Um indivíduo aparentemente saudável, de trinta e seis anos de idade, procurou o serviço de triagem de câncer colorretal de um ambulatório hospitalar, relatando que sua tia materna havia falecido de câncer de mama aos trinta e oito anos de idade, e que sua mãe foi diagnosticada como portadora de câncer colorretal, aos quarenta anos de idade, e de câncer de endométrio aos quarenta e cinco anos de idade.
Com relação a essa situação hipotética, julgue o seguinte item.
Deve-se submeter esse indivíduo à realização do teste da o-tolidina ou guaiaco, para monitoramento de sangue oculto nas fezes, devido à alta sensibilidade e especificidade do teste no diagnóstico de câncer colorretal.
Provas
Caderno Container