Foram encontradas 2.214 questões.
Paciente em tratamento para LLA, encerrou o bloco de quimioterapia há 7 dias e chega ao pronto-atendimento apresentando febre sem sinais de localização no exame físico. No momento, apresenta-se clinicamente estável, sem sinais de gravidade. Foi colhido hemograma com 500 leucócitos totais e 80 neutrófilos. Sobre a conduta imediata nesse caso, além da coleta de culturas e provas inflamatórias, está indicado
Provas
Paciente masculino de 47 anos, admitido com dor torácica e insuficiência cardíaca aguda.

Considerando a foto acima, sobre a causa da descompensação clínica, assinale a afirmativa correta.
Provas
Com relação ao tratamento cirúrgico de lesões metastáticas para o pulmão, assinale a afirmativa incorreta.
Provas
Em um paciente com diagnóstico de adenocarcinoma de pulmão, com 3cm de maior diâmetro, comprometendo lobo superior de pulmão esquerdo e atividade metabólica aumentada no PET-CT, comprometendo linfonodos da cadeia 6, na investigação do linfonodo, não se deve fazer
Provas
Paciente de 2 anos, com má formação de trato urinário, que faz uso de profilaxia com Cefalexina para ITU de repetição, encontrase internado em uso de ceftriaxona há 3 dias e apresenta piora clínica, com sinais de desidratação, taquicardia e taquipneia. A cultura de urina coletada antes do início do tratamento teve crescimento de E. coli, ainda sem antibiograma. Em relação à antibioticoterapia adequada no momento, assinale a afirmativa correta.
Provas
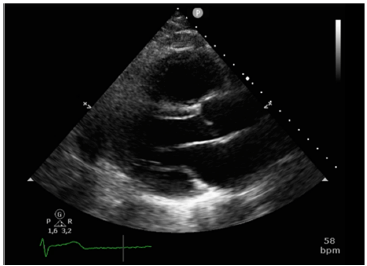
Analise a figura a seguir.

As cúspides aórticas vistas nessa imagem são:
Provas
De acordo com o atual estadiamento TNM para neoplasia de pulmão (IALSC, oitava edição), assinale a afirmativa incorreta.
Provas
As opções a seguir são características anatômicas associadas a risco tromboembólico aumentado em paciente com forame oval patente, à exceção de uma. Assinale-a.
Provas
Assinale a opção que apresenta a condição que está associada ao defeito do septo atrial do tipo seio venoso.
Provas
Assinale a opção que indica a estrutura cardíaca que comumente dilata nos pacientes com comunicação interventricular com repercussão hemodinâmica.
Provas
Caderno Container