Magna Concursos

Foram encontradas 500 questões.

3810592 Ano: 2024
Disciplina: Medicina
Banca: FUNDATEC
Orgão: GHC
Homem, 46 anos, diabético e hipertenso, vai à emergência por sensação de perda da sensibilidade na hemiface direita, incapacidade de fechar o olho direito e sensação de ruído importante no ouvido direito. Ele não apresenta fraqueza ou dormência no braço ou perna esquerda. Os sintomas iniciaram há cerca de 20h. Diante desse caso, assinale a alternativa correta.
 

Provas

Questão presente nas seguintes provas
3810591 Ano: 2024
Disciplina: Medicina
Banca: FUNDATEC
Orgão: GHC

Sobre o uso do ultrassom à beira-leito para avaliação do paciente no cenário de emergência, analise as assertivas abaixo:

I. A presença do sinal de McConnell aumenta a especificidade para o diagnóstico de embolia pulmonar.

II. A ponta caudal do fígado é a área mais sensível para a detecção de líquido livre no exame FAST.

III. O protocolo BLUE tem boa acurácia para o diagnóstico etiológico rápido da insuficiência respiratória.

Quais estão corretas?

 

Provas

Questão presente nas seguintes provas
3810590 Ano: 2024
Disciplina: Medicina
Banca: FUNDATEC
Orgão: GHC
Mulher, 54 anos, previamente hipertensa, é levada à emergência por familiar, com relato de cefaleia, leve confusão mental e vômitos. Ela descreve piora aguda nas últimas horas, acompanhada de náuseas e vômitos. Familiar informa que a paciente não vem tomando suas medicações para pressão na última semana. Seus sinais vitais são: PA 220/130 mmHg, FC 88 bpm, FR 20 mpm, Tax 36,8, SpO2 97% em ar ambiente. Ao exame clínico, paciente com fácies de dor pela cefaleia, papiledema, retinopatia hipertensiva, sem alterações neurológicas focais. Sem alterações relevantes em exames laboratoriais gerais, eletrocardiograma e tomografia de crânio sem contraste. Qual é a próxima conduta mais apropriada?
 

Provas

Questão presente nas seguintes provas
3810589 Ano: 2024
Disciplina: Medicina
Banca: FUNDATEC
Orgão: GHC

Em relação à Doença Pulmonar Obstrutiva Crônica (DPOC), analise as assertivas abaixo:

I. A hipercapnia na DPOC explica-se basicamente pela hipoventilação alveolar e não propriamente à redução do volume minuto.

II. A DPOC exacerbada com acidose respiratória não apresenta benefício de usar ventilação não invasiva.

III. Cessar o tabagismo interrompe a progressão da DPOC.

Quais estão corretas?

 

Provas

Questão presente nas seguintes provas
3810588 Ano: 2024
Disciplina: Medicina
Banca: FUNDATEC
Orgão: GHC
Homem, 72 anos, com histórico de neoplasia de próstata, é levado à emergência com queixa de dor torácica. Seus sinais vitais são: PA 70/35 mmHg, FC 138 bpm, spO2 95% em ar ambiente. O eletrocardiograma da chegada demonstra elevação difusa do segmento ST e, à radiografia de tórax, nota-se importante cardiomegalia. Qual é a conduta inicial mais apropriada?
 

Provas

Questão presente nas seguintes provas
3810587 Ano: 2024
Disciplina: Medicina
Banca: FUNDATEC
Orgão: GHC
Mulher, 70 anos, vítima de atropelamento por automóvel, é levada à emergência pelo SAMU. Na chegada, o médico socorrista informa presença de fratura exposta com deformidade associada em membro inferior direito. Seus sinais vitais são PA 80/50 mmHg, FC 102 bpm e spO2 100% em ar ambiente. Ela está acordada, alerta e queixando-se de dor significativa no membro. Após o exame inicial, confirma-se que não há nenhuma alteração na avaliação das vias aéreas, respiração e circulação. Na inspeção visual, ela apresenta fratura exposta na diáfise da tíbia, com diminuição da sensibilidade distal à fratura. Qual é o passo mais importante no manejo dessa paciente?
 

Provas

Questão presente nas seguintes provas
3810586 Ano: 2024
Disciplina: Medicina
Banca: FUNDATEC
Orgão: GHC

O choque séptico é uma condição comum nos cenários de emergência. Considerando seus efeitos no sistema cardiovascular, analise as assertivas abaixo e assinale V, se verdadeiras, ou F, se falsas.

( ) A maior parte da descompensação cardíaca é reversível.

( ) A resistência vascular periférica é alta.

( ) O débito cardíaco geralmente está aumentado. ) A dilatação ventricular é incomum.

A ordem correta de preenchimento dos parênteses, de cima para baixo, é:

 

Provas

Questão presente nas seguintes provas
3810585 Ano: 2024
Disciplina: Medicina
Banca: FUNDATEC
Orgão: GHC
Homem, 22 anos, é levado à sala vermelha após colisão de motocicleta versus poste. Na chegada, seus sinais vitais são: PA 100/65 mmHg, FC 118 bpm, FR 30 mpm, spO2 88% com máscara de Hudson a 10 L/min. Ao exame, apresenta-se agitado, com deformidade importante em região mandibular e maxilar, abertura oral restrita, porém, visualiza-se presença de sangue em cavidade oral associado a roncos em via aérea superior. O médico decide intubar esse paciente. Qual é a melhor abordagem para essa via aérea?
 

Provas

Questão presente nas seguintes provas
3810584 Ano: 2024
Disciplina: Medicina
Banca: FUNDATEC
Orgão: GHC
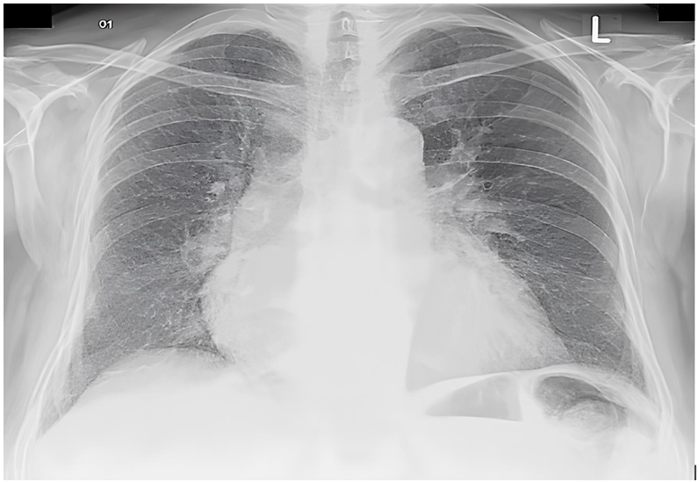
Homem, 65 anos, hipertenso e diabético, vai à emergência por dispneia súbita e dor torácica intensa. Seus sinais vitais são: PA 170/110 mmHg, FC 92 bpm, FR 26 mpm, spO2 92% em ar ambiente. Ao eletrocardiograma e à radiografia de tórax, tem-se os seguintes achados: 
Enunciado 4713563-1
Enunciado 4713563-2
Inicialmente, o paciente é colocado em máscara de Hudson a 10 L/min com infusão de nitroglicerina endovenosa, apresentando melhora dos sintomas. Na sequência, o paciente apresenta PA 76/40 mmHg e FC de 120 bpm. Além de suspender a nitroglicerina, qual é a próxima conduta mais adequada para esse paciente?
 

Provas

Questão presente nas seguintes provas
3810583 Ano: 2024
Disciplina: Medicina
Banca: FUNDATEC
Orgão: GHC
Mulher, 55 anos, com histórico de pancreatite crônica, apresenta dor abdominal e perda ponderal significativa. Foi solicitada ecoendoscopia (EUS) para avaliação de uma lesão cística no pâncreas, detectada em TC de abdome. Sobre o tema, assinale a alternativa INCORRETA.
 

Provas

Questão presente nas seguintes provas