Foram encontradas 25 questões.
Paciente de 40 anos, com insuficiência cardíaca, FE 35% e que apresenta piora progressiva da dispneia há um mês, procura emergência por dispneia ao repouso. Ao exame, apresenta-se aquecido, com PA 110/70mmHg, FC 140bpm e com congestão pulmonar. A figura abaixo representa o ECG da chegada.

Em relação ao caso descrito, assinale a alternativa correta.
Provas
Em relação ao manejo terapêutico na fase aguda da insuficiência cardíaca e durante a internação, assinale a alternativa correta.
Provas
Homem de 75 anos, com história de insuficiência cardíaca, FE de 30%, chega à emergência com queixa de dispneia intensa e edema. Ao exame, apresenta PA de 80/50, FC 90, SatO2 89%, estertores crepitantes finos difusos na ausculta respiratória, presença de B3, anasarca e extremidades cianóticas. Frente a esse quadro clínico, é correto afirmar que
Provas
Quanto à avaliação de pacientes com insuficiência cardíaca aguda, considere as afirmações abaixo.
I - O aumento do BNP pode ser observado em outras condições clínicas, como em estados hiperdinâmicos, entre as quais, a sepse.
II - A realização de cateterismo cardíaco direito deve ser considerada na avaliação de pacientes hipotensos, dependentes de inotrópicos e refratários à terapêutica otimizada, nos quais informações hemodinâmicas precisas norteiam a tomada de decisão terapêutica.
III - A presença de hiponatremia persistente está fortemente associada ao prognóstico do paciente, bem como ao aumento de permanência hospitalar e risco de óbito; entretanto, a correção nos níveis de sódio não demonstram clara melhora no curso clínico da doença.
Quais estão corretas?
Provas
Paciente com infarto do miocárdio anterior extenso, com 10 horas de evolução, tendo realizado revascularização percutânea da artéria coronária descendente anterior, com fluxo TIMI 3 após procedimento, é admitido em unidade de cuidados coronarianos. Na chegada, apresenta-se ansioso, agitado, com PA 90/60mmHg, FC 110bpm, Sat O2 90%, estertores crepitantes finos na metade inferior do tórax e extremidades frias. Em relação a esse caso, assinale a afirmação INCORRETA.
Provas
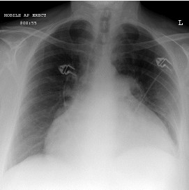
Mulher de 50 anos chega à Emergência com queixa de dispneia e desconforto torácico. Apresenta história de dor torácica intensa, manejada em hospital do interior como infarto do miocárdio sem estratificação invasiva, há uma semana. A paciente apresenta PA 90/40mmHg, FC 120mmHg, turgência venosa central e mínimos estertores crepitantes em bases; está fria e com sensório deprimido. RX de tórax (Fig. 1) e ECG (Fig. 2) da chegada estão representados abaixo.
Fig. 1

Fig. 2

Frente a esse quadro, qual seria a melhor conduta?
Provas
Considere um paciente em parada cardiorrespiratória, recebendo manejo avançado em Emergência, com compressões torácicas e ventilações eficazes. A figura abaixo representa a checagem de ritmo desse paciente, que permanece sem pulso.

No que se refere ao quadro acima, qual ação deve ser realizada em seguida?
Provas
Homem de 55 anos, tabagista e obeso, apresenta quadro de dor torácica súbita, acompanhada de sudorese. É prontamente levado ao hospital mais próximo. Ao chegar ao Serviço de Emergência, o paciente apresenta parada cardiorrespiratória (PCR), com o ritmo cardíaco representado no ECG abaixo.

Com relação ao caso acima, assinale a sequência terapêutica correta.
Provas
A incorporação, a exclusão ou a alteração pelo SUS de novos medicamentos, produtos e procedimentos, bem como a constituição ou a alteração de protocolo clínico ou de diretriz terapêutica, são atribuições do Ministério da Saúde, assessorado pela Comissão Nacional de Incorporação de Tecnologias no SUS. Essa comissão leva em consideração os atributos a seguir, EXCETO um. Assinale-o.
Provas
- SUSLei 8.080/1990: Lei Orgânica da SaúdeSistema Único de SaúdePrincípios, Objetivos, Diretrizes e Atribuições.Art. 7º: Princípios e Diretrizes
De acordo com a Lei nº 8.080, de 1990, que estabelece as diretrizes do Sistema Único de Saúde, compete ao SUS atuação direta em todas as seguintes áreas, EXCETO uma. Assinale-a.
Provas
Caderno Container