Foram encontradas 79 questões.
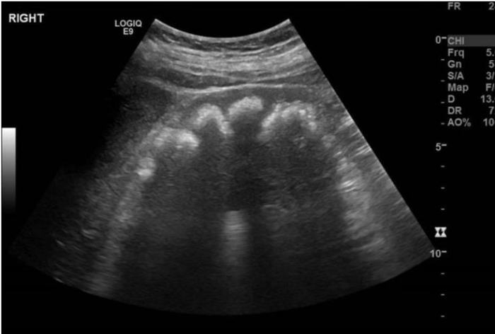
Um lactente de 8 meses é levado ao pediatra devido a irritabilidade, baixo ganho de peso e episódios recorrentes de vômitos nos últimos meses. Ao exame físico, apresenta-se emagrecido, sem sinais de desidratação, mas com atraso no crescimento. A investigação laboratorial revela acidose metabólica com ânion gap normal. pH arterial de 7,22; PCO2 de 28 mmHg, bicarbonato sérico de 12 mEq/L, sódio sérico de 138 mEq/L, cloro 116mEql/L e potássio sérico de 3,0 mEq/L. A avaliação urinária mostra um pH urinário de 6,5. Na investigação foi solicitado ultrassom renal:

Foto: Radiopaedia.org
Com base nesses achados, qual é o diagnóstico mais provável?
Provas
Provas
Provas
Provas
Provas
Provas
Provas
Provas
Provas
Provas
Caderno Container