Foram encontradas 512 questões.
A Manobra de Chin-Lift, ilustrada na imagem abaixo, é
utilizada em pacientes com nível de consciência diminuído
com a finalidade de:


Provas
Questão presente nas seguintes provas
Conforme o Código de Ética Profissional, referente às
infrações éticas, analisar os itens abaixo:
I. Constitui infração ética revelar, sem justa causa, fato sigiloso de que tenha conhecimento em razão do exercício de sua profissão.
II. Constitui infração ética negligenciar a orientação de seus colaboradores quanto ao sigilo profissional.
III. Constitui infração ética fazer referência a casos clínicos identificáveis, exibir paciente, sua imagem ou qualquer outro elemento que o identifique, em qualquer meio de comunicação ou sob qualquer pretexto, salvo se o cirurgião-dentista estiver no exercício da docência ou em publicações científicas, nos quais, a autorização do paciente ou seu responsável legal, lhe permite a exibição da imagem ou prontuários com finalidade didáticoacadêmica.
Estão CORRETOS:
I. Constitui infração ética revelar, sem justa causa, fato sigiloso de que tenha conhecimento em razão do exercício de sua profissão.
II. Constitui infração ética negligenciar a orientação de seus colaboradores quanto ao sigilo profissional.
III. Constitui infração ética fazer referência a casos clínicos identificáveis, exibir paciente, sua imagem ou qualquer outro elemento que o identifique, em qualquer meio de comunicação ou sob qualquer pretexto, salvo se o cirurgião-dentista estiver no exercício da docência ou em publicações científicas, nos quais, a autorização do paciente ou seu responsável legal, lhe permite a exibição da imagem ou prontuários com finalidade didáticoacadêmica.
Estão CORRETOS:
Provas
Questão presente nas seguintes provas
Quanto ao tratamento de fraturas faciais, o material e o
instrumental ilustrados na imagem abaixo são utilizados
para:


Provas
Questão presente nas seguintes provas
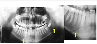
Nas áreas sinalizadas na imagem, a radiografia panorâmica evidencia traço de:

Provas
Questão presente nas seguintes provas
As bandagens são dispositivos simples, de fácil
confecção, que previnem desvios e deslocamentos das
fraturas, fornecendo conforto ao paciente. A técnica de
bandagem ilustrada na imagem abaixo, usada para
contenção de luxação recidivante da articulação
temporomandibular (ATM), é conhecida como:


Provas
Questão presente nas seguintes provas
Quanto à avaliação do quadro clínico do paciente
traumatizado, equimoses localizadas atrás da orelha (Sinal
de Battle) sugerem:
Provas
Questão presente nas seguintes provas
Geralmente, as fraturas alvéolo-dentárias afetam os
tecidos moles adjacentes, causando abrasões, contusões,
lacerações, que devem ser avaliadas quanto à presença de
corpos estranhos no seu interior, limpas e suturadas quando
necessário. Comumente os lábios e o tecido gengival são
lacerados e necessitam de suturas. É importante observar a
presença de lesão em região de mento, principalmente em
crianças. Dentre as fraturas abaixo, a que é mais sugestiva
das lesões em mento é:
Provas
Questão presente nas seguintes provas
Quanto aos traumas nasais, a presença de hematoma
em septo:
Provas
Questão presente nas seguintes provas
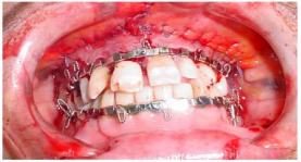
A imagem abaixo ilustra a técnica de bloqueio maxilomandibular com barras de Erich, que é utilizada no
tratamento de fraturas da face com o objetivo de:


Provas
Questão presente nas seguintes provas
Quando o arcabouço facial é fraturado, o objetivo do
tratamento é promover uma rápida reparação do tecido
ósseo, restabelecer o contorno anatômico e a estética facial
e devolver as funções nasal, ocular e mastigatória. Quanto
aos princípios básicos no tratamento de fraturas, a
alternativa que melhor se relaciona com o processo de
“reduzir a fratura” é:
Provas
Questão presente nas seguintes provas
Cadernos
Caderno Container