Foram encontradas 60 questões.
A figura a seguir apresenta um esquema resumido das etapas que levam à síntese de proteínas a partir do gene em eucariotos, indicando diferentes etapas do processamento do RNA, incluindo a adição do cap 5', a poliadenilação e o splicing. Com base na figura e sobre a biologia molecular no processo de splicing do RNA, analise as assertivas abaixo e assinale V, se verdadeiras, ou F, se falsas.

Fonte: Adaptado de Alberts et al. (2017).
( ) A remoção dos íntrons do pré-mRNA ocorre por meio de duas reações de transesterificação catalisadas por moléculas de RNA (snRNA) e não por proteínas, tornando o splicing uma das raras reações enzimáticas em que o próprio RNA atua como catalisador.
( ) Apesar da variabilidade nas sequências consenso que definem os limites entre éxons e íntrons, a célula é capaz de identificar corretamente os locais de splicing com base exclusivamente nessas sequências, sem a necessidade de proteínas auxiliares ou outras estratégias regulatórias.
( ) A função evolutiva do splicing alternativo ainda é considerada limitada, uma vez que combinações distintas de éxons a partir de um mesmo gene geralmente não resultam em variações significativas na função das proteínas produzidas.
( ) A precisão do splicing é favorecida por dois mecanismos principais: (I) a coordenação espacial e temporal (acoplamento) entre transcrição e splicing e (II) a definição de éxons baseada em sua uniformidade de tamanho e na marcação por proteínas SR, que recrutam os snRNAs U1 e U2.
( ) A marcação dos limites entre éxons e íntrons, a montagem do spliceossomo e a remoção dos íntrons ocorrem de forma cotranscricional e linear, seguindo a ordem em que os íntrons surgem durante a síntese do pré-mRNA. Desse modo, cada íntron é removido assim que transcrito de forma linear, permitindo uma maior precisão regulatória no processamento do transcrito.
A ordem correta de preenchimento dos parênteses, de cima para baixo, é:
Provas
Os ciclídeos do lago Vitória, na África, são peixes de água doce conhecidos por sua impressionante diversidade. Em um trabalho recente, Svensson et al. (2024) descreveram um caso clássico de especiação simpátrica em ciclídeos, no qual duas espécies do gênero Pundamilia convivem no mesmo ambiente, mas desenvolvem isolamento reprodutivo devido à seleção sexual, pois as fêmeas preferem machos com colorações específicas adaptadas à profundidade e à qualidade da luz no lago. Com base nesse caso real e em outros exemplos descritos na literatura, qual outro mecanismo, além da seleção sexual, pode favorecer a especiação simpátrica?
Provas
Leia o poema “A Arvore da Serra” (1912), de Augusto dos Anjos:
A Árvore da Serra
— As árvores, meu filho, não têm alma!
E esta árvore me serve de empecilho...
E preciso cortá-la, pois, meu filho,
Para que eu tenha uma velhice calma!
— Meu pai, por que sua ira não se acalma?!
Não vê que em tudo existe o mesmo brilho?!
Deus pôs almas nos cedros... no junquilho...
Esta árvore, meu pai, possui minh'almal!...
— Disse — e ajoelhou-se, numa rogativa:
“Não mate a árvore, pai, para que eu viva!”
E quando a árvore, olhando a pátria serra,
Caiu aos golpes do machado bronco,
O moço triste se abraçou com o tronco
E nunca mais se levantou da terra.
A partir do poema, pode-se evocar a simbologia da árvore como elemento vital para o equilíbrio dos ecossistemas. Considerando os impactos ambientais associados à retirada inadequada de árvores em áreas de mananciais e serras, assinale a alternativa INCORRETA.
Provas
A figura a seguir representa uma filogenia dos vertebrados, com destaque para grupos de peixes e tetrápodes. Os nós numerados de 1 a 5 indicam pontos de divergência associados ao surgimento de características evolutivas (sinapomorfias).

Fonte: Adaptado de Campbell (2021).
Relacione os nós numerados da filogenia acima aos respectivos eventos evolutivos listados abaixo.
( ) Origem da mandíbula articulada, característica que define os gnatostomados e um esqueleto mineralizado.
( ) Aquisição de nadadeiras lobadas com ossos internos em forma de bastão, característica de sarcopterígios.
( ) Surgimento do ovo amniota, permitindo maior independência do meio aquático para a reprodução.
( ) Aparecimento de crânio e vértebras envolvendo parcialmente a notocorda.
( ) Desenvolvimento de pulmões funcionais e membros com dígitos — origem dos tetrápodes.
A ordem correta de preenchimento dos parênteses, de cima para baixo, é:
Provas
A replicação do DNA é um processo essencial para a perpetuação da informação genética. Embora os princípios gerais desse processo sejam conservados em todos os organismos, existem diferenças significativas entre procariontes e eucariontes relacionadas à estrutura genômica, à complexidade celular e à maquinaria enzimática envolvida. Sobre biologia molecular, analise as assertivas abaixo e assinale V, se verdadeiras, ou F, se falsas.
( ) Tanto em procariontes quanto em eucariontes, a replicação do DNA é semiconservativa e iniciada por primers de RNA sintetizados por uma primase (RNA polimerase), que são posteriormente removidos e substituídos por DNA.
( ) Enquanto os procariontes possuem uma única origem de replicação por cromossomo circular, os eucariontes apresentam múltiplas origens de replicação ao longo de seus cromossomos lineares.
( ) A enzima helicase atua separando as fitas de DNA em ambas as células, e a topoisomerase atua removendo a supertorção; porém, essas enzimas são exclusivas de procariontes, dada a estrutura circular do seu DNA.
( ) Em procariontes, a replicação na dupla hélice ocorre de forma contínua e bidirecional ao redor do cromossomo circular; já em eucariontes, há síntese contínua na fita principal e descontínua na fita molde oposta, gerando os fragmentos de Okazaki.
( ) Apenas os eucariontes requerem a ação da telomerase, que impede a perda de informações genômicas após cada rodada de replicação do DNA, pois os cromossomos lineares apresentam extremidades que não podem ser totalmente replicadas pela DNA polimerase.
A ordem correta de preenchimento dos parênteses, de cima para baixo, é:
Provas
A reação em cadeia da polimerase (PCR) é uma técnica fundamental da biologia molecular, amplamente utilizada na pesquisa científica, no diagnóstico molecular, na medicina forense e no melhoramento genético. Ela permite a amplificação in vitro de sequências específicas de DNA por meio de ciclos repetidos de reações enzimáticas controladas por temperatura. Esse processo é realizado em um equipamento chamado termociclador, que ajusta automaticamente as temperaturas específicas necessárias para cada etapa do ciclo, garantindo a replicação exponencial da sequência-alvo. Com base nessa técnica, enumere, correta e respectivamente, as etapas de um ciclo completo da PCR em um protocolo padrão, considerando suas funções e as temperaturas típicas em que ocorrem conforme apresentado no livro “Introdução à Genética” (Griffiths et al., 2020).
( ) Aquecimento ~95 ºC.
( ) Desnaturação completa da dupla fita de DNA em moldes simples.
( ) Resfriamento da reação para entre ~50-65 ºC.
( ) Hibridização dos primers às regiões complementares da fita molde de DNA.
( )Aquecimento para 72ºC.
( ) Extensão catalisada pela enzima Taq DNA polimerase.
A ordem correta de preenchimento dos parênteses, de cima para baixo, é:
Provas
A produção de uvas no Vale do São Francisco, no sertão de Pernambuco, tem se destacado por sua alta produtividade e possibilidade de múltiplas safras anuais graças ao manejo intensivo e ao uso de tecnologias agrícolas, incluindo a aplicação de reguladores de crescimento. Nos polos de fruticultura irrigada, como os de Petrolina e Juazeiro, o cultivo da videira é favorecido pelo controle da irrigação e pela manipulação hormonal. Para garantir uma produção de frutos com maior qualidade comercial e fora da sazonalidade natural, são aplicados hormônios vegetais em diferentes fases do cultivo, que auxiliam na indução do florescimento, no alongamento dos cachos, no raleio de frutos e no amadurecimento mais uniforme. Em relação aos fitormônios, analise as funções desejadas a seguir:
• Quebra de dormência de gemas e estímulo ao florescimento fora de época.
• Alongamento dos cachos e aumento do tamanho das bagas (uva sem semente).
• Inibição da abscisão precoce e aumento do tempo de prateleira.
• Aumento do acúmulo de açúcares no fruto, produzindo uvas mais doces.
• Amadurecimento uniforme dos frutos em tempo reduzido.
Assinale a alternativa que apresenta, correta e respectivamente, os hormônios vegetais utilizados para as funções apresentadas acima.
Provas
Durante uma aula prática de Biologia com os alunos do 3º ano do Ensino Médio Integrado, o professor realizou a técnica de tipagem sanguínea em lâmina, utilizando soros anti-A, anti-B e anti-D (fator Rh). Após a aplicação de gotas do sangue de um aluno voluntário nos três campos da lâmina, foi observado o seguinte resultado:

O professor então propôs uma discussão sobre herança genética, perfil genotípico do aluno, possível genótipo dos pais e implicações clínicas, como o risco de eritroblastose fetal. Com base no apresentado e sobre hereditariedade dos sistemas ABO e Rh, assinale a alternativa INCORRETA.
Provas
Em relação às medidas de prevenção relacionadas a doenças parasitárias, analise as assertivas abaixo e assinale V, se verdadeiras, ou F, se falsas.
( ) Métodos modernos para a prevenção da dengue, além das medidas tradicionais, incluem o controle biotecnológico, com a liberação de machos Aedes aegypti transgênicos estéreis, que reduzem a população do mosquito, e a introdução da bactéria Wolbachia em populações do vetor, a qual interfere na replicação do vírus da dengue no mosquito, diminuindo sua capacidade de transmissão.
( ) Para evitar infecção com cistos da Entamoeba histolytica, é necessário o uso de instalações sanitárias adequadas, como privadas, esgotos e fossas sépticas que impeçam a contaminação da água. Outras medidas importantes incluem a cloração da água utilizada para consumo humano bem como o uso profilático de antibióticos em áreas endêmicas.
( ) A prevenção da doença de Chagas envolve ações de controle do inseto vetor, melhorias em habitações rurais e triagem sorológica em bancos de sangue para evitar transmissão transfusional. Outra medida de prevenção inclui cuidados no processamento de alimentos como o açaí, especialmente nas regiões amazônicas, por meio da higienização rigorosa dos frutos e da pasteurização, evitando a contaminação por insetos vetores infectados pelo Trypanosoma cruzi.
( ) A esquistossomose pode ser prevenida evitando-se a ingestão de água contaminada por cercárias do parasita; por isso, é fundamental que a água utilizada para beber seja clorada ou fervida. Além disso, outra ação importante inclui a erradicação dos caramujos do gênero Biomphalaria, hospedeiros intermediários do Schistosoma mansoni.
( ) A prevenção da teníase e de sua forma mais grave, a cisticercose humana, baseia-se em evitar o consumo de carne bovina mal cozida para não haver a ingestão do cisticerco da Taenia solium. Adicionalmente, medidas como inspeção sanitária dos matadouros e eliminação da carne de animais contaminados são importantes para prevenir essas doenças.
A ordem correta de preenchimento dos parênteses, de cima para baixo, é:
Provas
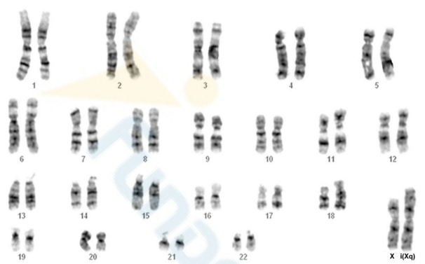
A citogenética clínica é uma área fundamental da genética médica, que combina os conhecimentos de citologia e genética, sendo responsável pela investigação de anomalias cromossômicas numéricas e estruturais por meio de técnicas como o cariótipo com bandas G, a hibridação in situ fluorescente (FISH) e a hibridação genômica comparativa (CGH). O exame do cariótipo é um dos testes mais tradicionais utilizados na citogenética clínica, permitindo a análise do conjunto cromossômico, e é indicado na investigação de diferentes distúrbios, incluindo infertilidade, abortos de repetição, atraso do desenvolvimento, casos de malformações congênitas, entre outros (Nussbaum et al, 2016). Uma paciente com 15 anos de idade, que foi atendida na especialidade de endocrinologia pediátrica, apresenta baixa estatura, atraso do desenvolvimento das características sexuais e falência ovariana. A equipe médica solicitou o exame de cariotipagem, cujo resultado é apresentado abaixo:

Fonte: Bispo (2015).
Com base no resultado do cariótipo - 46,X,i(Xq)[30], assinale a alternativa que apresenta a conclusão diagnóstica mais adequada.
Provas
Caderno Container