Magna Concursos

Foram encontradas 50 questões.

Uma paciente de nove anos de idade foi internada para investigação de quadro de anemia ferropriva com duração de seis meses e necessidade de várias transfusões sanguíneas. Apresentava também tosse com hemoptise intermitente. Negou febre. Ao exame físico, encontrava-se eupneica, descorada, sem ruídos adventícios na ausculta pulmonar ou outras anormalidades. A radiografia de tórax revelou áreas de opacidade bilaterais. Os autoanticorpos, como FAN, ANCA e anti-membrana basal glomerular, foram negativos. O coagulograma foi normal. O lavado broncoalveolar apresentou predomínio de macrófagos com hemossiderina e pesquisa de BK negativa.

Nessa situação hipotética, o diagnóstico mais provável será

 

Provas

Questão presente nas seguintes provas
A cânula nasal de alto fluxo tem se mostrado um recurso útil na diminuição das taxas de intubação orotraqueal em pacientes com doenças respiratórias. Em relação a esse aparelho, assinale a alternativa correta.
 

Provas

Questão presente nas seguintes provas

Após cair de uma laje, um paciente de dez anos de idade foi levado ao hospital com escala de Glasgow de 8, frequência cardíaca de 75 bpm, tempo de enchimento capilar menor que três segundos, pressão arterial de 150 x 90 mmHg e pulsos palpáveis e normais.

Com base nesse caso hipotético, é correto afirmar que

 

Provas

Questão presente nas seguintes provas

Um paciente com seis meses de vida chegou ao pronto-socorro com história de diarreia grave há três dias. Encontra-se taquicárdico, desidratado, torporoso, com pulsos finos e tempo de enchimento capilar maior que três segundos. A enfermagem encontrou dificuldade para obter acesso venoso, mas só fez uma tentativa.

Considerando esse caso hipotético, assinale a alternativa correta.

 

Provas

Questão presente nas seguintes provas

Uma paciente de oito anos de idade, com anemia falciforme, foi internada com história de febre e fadiga há dois dias. Ao exame físico, apresentava palidez, taquipneia, taquicardia, hemoglobina de 4,8 g/dL, leucócitos de 12.000/μL, plaquetas de 145.000/μL, reticulócitos de 0,6% e proteína c-reativa de 1,2 mg/dL.

Com base nesse caso hipotético, é correto afirmar que

 

Provas

Questão presente nas seguintes provas

Um lactente com seis meses de vida e diagnóstico de tetralogia de Fallot foi internado com história de crises de hipoxemia frequentes. Logo após sua admissão, começou a apresentar inquietação, taquipneia, piora da cianose, choro incoercível e sudorese fria.

Considerando-se essa situação hipotética, assinale a alternativa correta.

 

Provas

Questão presente nas seguintes provas

Um lactente com seis meses de vida e antecedente de epilepsia está hospitalizado. O médico plantonista foi chamado para auxiliar no atendimento porque o paciente estava convulsionando há vinte minutos, sob os cuidados do médico residente. Estava recebendo oxigênio. Foram coletados exames (“ponta de dedo” – dextrostix) e afastada a suspeita de hipoglicemia. Já foi administrada uma dose de benzodiazepínico sem sucesso.

Nesse caso hipotético, a conduta mais adequada na sequência do atendimento será administrar

 

Provas

Questão presente nas seguintes provas

Um paciente de catorze anos de idade, com índice de massa corpórea acima do percentil 97 e obesidade centrípeta confirmada por aumento da circunferência abdominal, Acantose nigricans e hipertensão arterial sistêmica estágio I (de acordo com as tabelas de referência de normalidade de PA para sexo, idade e altura), foi atendido pela primeira vez pelo hebiatra. Ele levou exames iniciais que revelavam dislipidemia e aumento de hemoglobina glicada. Referiu pais obesos e que o pai apresentou infarto agudo do miocárdio aos 42 anos de idade.

Com base nesse caso hipotético, assinale a alternativa correta.

 

Provas

Questão presente nas seguintes provas

Um lactente com quinze dias de vida foi levado ao pediatra porque os pais achavam que ele estava ictérico desde que saiu da maternidade. Os dados do nascimento na carteira da criança mostravam que não havia incompatibilidade sanguínea. No dia anterior, foi realizado exame que revelava aumento de bilirrubina direta. Considerando essa situação hipotética, assinale a alternativa corretaUm lactente com quinze dias de vida foi levado ao pediatra porque os pais achavam que ele estava ictérico desde que saiu da maternidade. Os dados do nascimento na carteira da criança mostravam que não havia incompatibilidade sanguínea. No dia anterior, foi realizado exame que revelava aumento de bilirrubina direta.

Considerando essa situação hipotética, assinale a alternativa correta.

 

Provas

Questão presente nas seguintes provas

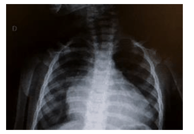
Uma paciente com onze meses de vida, previamente hígida e com história de cansaço há sete dias, foi levada para atendimento médico em duas ocasiões e medicada com sintomáticos. Sem melhora do quadro, chegou no pronto-socorro em regular estado geral, taquicárdica, com tiragem subcostal, taquipneia, saturação de oxigênio de 92% em ar ambiente, estertores crepitantes finos em ambas as bases pulmonares e fígado palpável a 3 cm do rebordo costal direito. Realizou um ecocardiograma, que evidenciou dilatação ventricular esquerda com fração de ejeção de 25%, e a radiografia de tórax mostrada abaixo.

Enunciado 1748883-1

Com base nessa situação hipotética, assinale a alternativa correta.

 

Provas

Questão presente nas seguintes provas