Foram encontradas 70 questões.
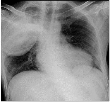
Homem, 56 anos, deu entrada na emergência com quadro de tosse, hemoptise, febre e fraqueza muscular há uma semana. Exame físico: regular estado geral; desidratado; taquipneico; FR = 28 irp. Auscuta pulmonar: estertores creptantes em hemitórax direito. Gram de escarro: presença de bastonetes gram-negativos. Analise a radiografia de tórax a seguir:

Qual o mais provável agente etiológico implicada neste caso clínico hipotético?
Provas
Paciente, 56 anos, sexo feminino, nuligesta, comparece ao pronto atendimento com dor abdominal de início há 60 minutos. Refere dor 7/10; localizada em abdômen superior; inicada após alimentação gordurosa. Nega febre e adinamia. Comorbidades: Hipertrigliceridemia (em uso de ciprofibrato); Hipertensão arterial sistêmica (em uso de Losartana e Hidroclorotiazida); e, Lúpus Eritematoso Sistêmico (em uso de hidroxicloroquina). Passado de cirurgia bariátrica há um ano. Em uso de terapia de reposição hormonal com estrogênio e progesterona transdérmicos. Ao exame físico: REG; normocorada; hidratada; fáceis de dor. PA 140 x 90 mmHg / FC 120 bpm / TAx 37,4° C. abdômen: plano, normotenso, sinal de Murphy positivo. Exames complementares: HB 13,5 g/dL / HT 34% / LEUCO 17.076/μL com desvio à esquerda / PCR 120 / Plaquetas 150.000 / mm3 / Creatinina 1,2 mg/dL / Ureia 14 mg/dL. De acordo com o caso hipotético, quais fatores de risco corroboram com a principal hipótese diagnóstica?
Provas
Paciente, 63 anos, sexo masculino, é trazido ao pronto-socorro pela equipe do SAMU após queda da própria altura há 30 minutos. Está acompanhado da esposa, que refere hipertensão de longa data, mal controlada. Exame físico de admissão: REG; confusão mental. PA 220 x 110 mmHg; FC 140 bpm; TEC <5s; lentificação de fala; paralisia de hemiface esquerda com apagamento de sulco labial; marcha atáxica. De acordo com a principal hipótese diagnóstica para o caso, qual é o primeiro sinal mais comumente visível em exame complementar que corrobora com tal diagnóstico?
Provas
O comprometimento cognitivo leve amnéstico (CCLa) pode ocorrer como um pródromo para várias demências neurodegenerativas, bem como condições não neurodegenerativas. Portanto, a designação específica de CCLa devido à Doença de Alzheimer (DA) é empregada quando um biomarcador associado está presente no sujeito afetado. Dentre esses biomarcadores, os que marcam lesões ou degeneração neuronal são:
Provas
Paciente, 64 anos, sexo masculino, é trazido por cuidadores de lar de idosos ao pronto-socorro com quadro de confusão mental, dispneia e dor torácica de início há um dia, com piora nas últimas horas. Exame físico: dispneico; confuso; SatO2 = 88%; PA = 80 x 40 mmHg; FC = 160 bpm; ritmo cardíaco irregular. Puncionado acesso venoso, colocado oxigênio suplementar e monitorização eletrocardiográfica cujo traçado, na derivação D2, é representado a seguir:

Analise a conduta correta.
Provas
O Programa Nacional de Prevenção e Controle de Infecções Relacionadas à Assistência à Saúde (PNPCIRAS, 2021-2025) foi elaborado pela Anvisa com a finalidade de reduzir a incidência de Infecções Relacionadas à Assistência à Saúde (IRAS) e de Resistência Microbiana (RM) em serviços de saúde, por meio da implementação de práticas de prevenção e controle de infecções baseadas em evidências. São considerados objetivos específicos desse programa, EXCETO:
Provas
A infecção crônica por Helicobacter pylori é muito prevalente em humanos e causa inúmeros problemas digestivos. Avanços recentes no conhecimento sobre essa entidade motivaram a escrita do “IV Consenso Brasileiro sobre a infecção por Helicobacter pylori”. De acordo com tal documento, assinale a afirmativa correta.
Provas
Paciente, 33 anos, sexo feminino, previamente hígida, está há 3 dias com dor em flanco esquerdo, febre e polaciúria. Ao exame, vigil e orientada, PA 102/65, FC 108, FR 18, SpO2 99% em AA, sinal de Giordano positivo à esquerda. Coletados exames complementares e dois pares de hemoculturas periféricas, que evidenciam bilirrubinas totais de 1,7 mg/dL e creatinina de 2,5 mg/dL. Considerando o quadro clínico hipotético, assinale a afirmativa correta.
Provas
Paciente, 78 anos, sexo masculino, portador de doença de Parkinson em estágio avançado, internado por disfagia e necessidade via alternativa para alimentação; além de ajuste medicamentoso, está com um cateter venoso central em veia jugular interna esquerda há 7 dias por dificuldade de acesso venoso periférico. Evolui com febre, calafrios, piora da função renal e leucocitose. Radiografia simples de tórax sem alterações, urina sem alterações e urocultura parcial negativa. Foi coletado um par de hemocultura do MSD e um par de hemocultura do cateter venoso central, ambos crescendo Staphylococcus aureus MRSA sensível à vancomicina, com 11 horas e 15 minutos e 11 horas e 56 minutos, respectivamente. Diante do caso hipotético, assinale a afirmativa INCORRETA.
Provas
Considerando que as espondiloartropatias soronegativas são um grupo heterogêneo de doenças que são agrupadas dessa forma por compartilharem algumas características, assinale a afirmativa correta.
Provas
Caderno Container