Magna Concursos

Foram encontradas 60 questões.

2489830 Ano: 2014
Disciplina: Medicina
Banca: MPE-RS
Orgão: MPE-RS
Provas:
Os pacientes com síndrome mielodisplásica têm risco aumentado de evoluir para
 

Provas

Questão presente nas seguintes provas
2489739 Ano: 2014
Disciplina: Português
Banca: MPE-RS
Orgão: MPE-RS
Provas:
Instrução: A questão esta relacionadas ao texto abaixo.
O que é, de fato, a vida? O que é que caracteriza um ser vivo e o diferencia da matéria inanimada? Para os biólogos, a vida é caracterizada por alguns fatores: metabolismo, homeostase, capacidade de crescer e responder a estímulos, capacidade de se reproduzir e, finalmente, capacidade de se adaptar ao meio em que está inserida, por meio da seleção natural. Podemos dizer que a vida é a transformação constante de uma estrutura básica e estável.
Há muito se discute se às línguas naturais pode ser conferido o título de “vivas”. De um lado, temos os que defendem as semelhanças entre elas e os seres vivos, e, de outro, temos aqueles que afirmam serem as línguas apenas mais um fenômeno social. Apesar de a semelhança entre línguas e entidades vivas parecer evidente, é necessária uma breve comparação entre essas duas existências.
O metabolismo pode ser definido como o conjunto de reações químicas que ocorre nos organismos vivos para sustentar sua vida; a homeostase é a propriedade que mantém um sistema regulado e estável internamente; o crescimento é a capacidade de se desenvolver e de se transformar em algo maior e/ou mais complexo; a resposta a estímulos é a capacidade de responder a alterações no ambiente externo ou interno, e a capacidade de reprodução é a possibilidade de gerar descendentes; por fim, a adaptação é o processo por meio do qual, com o correr do tempo, a vida se torna mais bem “configurada” ao ambiente em que está inserida, aumentando assim as chances de sobrevivência.
As línguas naturais têm, se não todas, pelo menos a maioria das características que atribuímos à vida. Notaremos que o metabolismo das línguas se constitui na língua falada. Esta é a realização da língua, isto é, sem ela não existe nada que seja observável ou passível de estudo no campo da linguística. Sem a fala não há uma língua de fato, não há “vida” na língua: apenas um sistema estático, “inorgânico”.
A homeostase da língua se caracteriza pela estrutura linguística subjacente: sua gramática. Não é possível conceber a existência de uma língua agramatical. Sentenças ditas agramaticais, ou seja, que não estejam(1) de acordo com a gramática da língua por fugirem do “equilíbrio linguístico” que garante(2) a ordem do sistema, não encontram sustentação e simplesmente desaparecem, sem sequer terem sido pronunciadas. Que as línguas crescem, ou seja, que se tornam maiores e mais complexas com o passar do tempo, é inquestionável. Basta que observemos(3) a quantidade de neologismos surgidos quase diariamente em qualquer língua existente.
No que se refere à resposta a estímulos, talvez a língua seja o melhor exemplo para estudo, uma vez que mudamos nossa forma de expressão a todo o momento: conforme os estímulos são alterados (mudanças de situação, interlocutores, o tom de um texto, etc.), a língua também se altera, tendo uma espécie de sensibilidade, própria de seres vivos. Outro ponto inquestionável é a capacidade de reprodução das línguas naturais. O português é uma das muitas línguas-filhas do latim, bem como o italiano, o francês, o espanhol, o romeno, o catalão e tantas outras línguas.
Associada à capacidade de reprodução, encontramos a capacidade de adaptação das línguas naturais. Uma vez separadas do ramo principal e isoladas geograficamente de sua língua-mãe, as variantes linguísticas se tornarão maiores e mais maduras até constituírem línguas próprias e distintas, como ocorreu com o português e o francês após a queda do Império Romano e o consequente enfraquecimento do latim.
Pois bem, Darwin descobriu um mecanismo natural que preserva as características úteis à sobrevivência de um indivíduo e descarta as prejudiciais. Esse mecanismo – a seleção natural – é tão poderoso e universal que pode ser aplicado a praticamente qualquer sistema complexo. A língua de Darwin é afiada e poderosa, já que descreve o funcionamento da Natureza com precisão espantosa.
Adaptado de:MANES, P.; FIGUEIREDO, M. F. A seleção natural aplicada às línguas naturais. Disponível em: <http://www2.uol.com.br/sciam/artigos/a_lingua_de_darwin.html>. Acesso em: 30 de julho de 2014.
Assinale a alternativa que completa corretamente as lacunas dos enunciados abaixo, na ordem em que aparecem.
1. A forma verbal estejam está no modo .
2. A forma verbal garante está no modo .
3. A forma verbal observemos está no modo .
 

Provas

Questão presente nas seguintes provas
2489419 Ano: 2014
Disciplina: Medicina
Banca: MPE-RS
Orgão: MPE-RS
Provas:
No bloco superior, a seguir, estão listados cinco achados clínicos; no inferior, nomes de doenças que correspondem a cada um desses cinco achados. Associe o bloco superior ao inferior.
1. Nódulos endurecidos e dolorosos em interfalangeanas distais
2. Desvio ulnar dos dedos das mãos
3. Heliotropo
4. Xeroftalmia
5. Teste de Phalen positivo
( ) Síndrome de Sjögren
( ) Artrite reumatoide
( ) Síndrome do túnel do carpo
( ) Osteoartrite ( ) Dermatomiosite
A sequência correta de preenchimento dos parênteses, de cima para baixo, é
 

Provas

Questão presente nas seguintes provas
2489262 Ano: 2014
Disciplina: Medicina
Banca: MPE-RS
Orgão: MPE-RS
Provas:
Homem, 87 anos, chega à emergência por hipertensão endocraniana secundária a lesões metastáticas de neoplasia pulmonar avançada. Apresenta melhora parcial com uso de dexametasona. Entretanto, ao piorar novamente o quadro clínico, com importante diminuição do sensório e dispneia, seu médico institui cuidados paliativos e discute com a família a conduta a ser seguida. Uma médica amiga da família exige transferência imediata para Unidade de Tratamento Intensivo (UTI) para que o paciente tenha suporte ventilatório, se necessário.
Com relação a essa situação clínica, considere as seguintes afirmações.
I. A indicação de tratamento paliativo na UTI caracteriza eutanásia ativa.
II. Na situação irreversível e terminal do caso, é eticamente justificável evitar a realização de novos procedimentos diagnósticos.
III. A decisão de encaminhá-lo para a UTI, atendendo a solicitação da médica, representa o respeito ao princípio ético da justiça.
Quais estão corretas?
 

Provas

Questão presente nas seguintes provas
2488920 Ano: 2014
Disciplina: Direito Constitucional
Banca: MPE-RS
Orgão: MPE-RS
Provas:

Considere as seguintes afirmações em relação aos servidores públicos.

I. Uma das formas da perda do cargo de servidor público estável decorre de processo administrativo em que lhe seja assegurada ampla defesa.

II. Extinto o cargo ou declarada sua desnecessidade, o servidor estável ficará em disponibilidade, com a remuneração proporcional ao tempo de serviço, até seu adequado aproveitamento em outro cargo.

III. Como condição da estabilidade do servidor público, é obrigatória a avaliação especial de desempenho por comissão instituída para essa finalidade.

Quais estão corretas, de acordo com a Constituição Federal?

 

Provas

Questão presente nas seguintes provas
2488467 Ano: 2014
Disciplina: Medicina
Banca: MPE-RS
Orgão: MPE-RS
Provas:
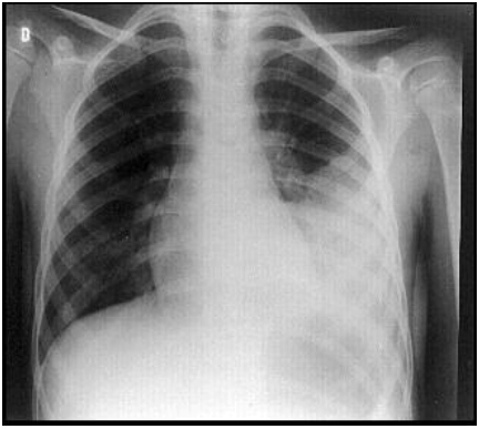
Instrução: A questão está relacionada ao caso clínico a seguir.
Homem, 24 anos, apresenta tosse, expectoração purulenta, dor torácica ventilatório-dependente à esquerda, febre (39,6ºC.) e calafrios. O radiograma de tórax é mostrado abaixo.
Enunciado 2886020-1
Em relação aos achados do radiograma do hemitórax esquerdo (no lobo inferior), é correto afirmar que se trata de
 

Provas

Questão presente nas seguintes provas
2488068 Ano: 2014
Disciplina: Medicina
Banca: MPE-RS
Orgão: MPE-RS
Provas:
Mulher, 55 anos, apresenta cansaço, sonolência, mialgias, frio mesmo em dias quentes, ganho de peso e constipação. Ao exame, apresenta fácies infiltrada, especialmente em região orbicular, voz rouca, pele seca e descamativa.
Diante desse quadro clínico, esta paciente pode apresentar outras alterações, EXCETO
 

Provas

Questão presente nas seguintes provas
2488055 Ano: 2014
Disciplina: Medicina
Banca: MPE-RS
Orgão: MPE-RS
Provas:
Homem, 72 anos, apresentou episódio de síncope após esforço. Ausculta revelou sopro sistólico ejetivo em 2º espaço intercostal direito, 4+/6+ acompanhado de frêmito com irradiação para o pescoço. O eletrocardiograma mostrou ritmo sinusal com sinais de crescimento ventricular esquerdo.
Qual é o exame complementar a ser solicitado para confirmação da hipótese diagnóstica?
 

Provas

Questão presente nas seguintes provas
2487824 Ano: 2014
Disciplina: Português
Banca: MPE-RS
Orgão: MPE-RS
Provas:
Instrução: A questão esta relacionadas ao texto abaixo.
O que é, de fato, a vida? O que é que caracteriza um ser vivo e o diferencia da matéria inanimada? Para os biólogos, a vida é caracterizada por alguns fatores: metabolismo, homeostase, capacidade de crescer e responder a estímulos, capacidade de se reproduzir e, finalmente, capacidade de se adaptar ao meio em que está inserida, por meio da seleção natural. Podemos dizer que a vida é a transformação constante de uma estrutura básica e estável.
Há muito se discute se línguas naturais pode ser conferido o título de “vivas”. De um lado, temos os que defendem as semelhanças entre elas e os seres vivos, e, de outro, temos aqueles que afirmam serem as línguas apenas mais um fenômeno social. Apesar de a semelhança entre línguas e entidades vivas parecer evidente, é necessária uma breve comparação entre essas duas existências.
O metabolismo pode ser definido como o conjunto de reações químicas que ocorre nos organismos vivos para sustentar sua vida; a homeostase é a propriedade que mantém um sistema regulado e estável internamente; o crescimento é a capacidade de se desenvolver e de se transformar em algo maior e/ou mais complexo; a resposta a estímulos é a capacidade de responder a alterações no ambiente externo ou interno, e a capacidade de reprodução é a possibilidade de gerar descendentes; por fim, a adaptação é o processo por meio do qual, com o correr do tempo, a vida se torna mais bem “configurada” ao ambiente em que está inserida, aumentando assim as chances de sobrevivência.
As línguas naturais têm, se não todas, pelo menos a maioria das características que atribuímos vida. Notaremos que o metabolismo das línguas se constitui na língua falada. Esta é a realização da língua, isto é, sem ela não existe nada que seja observável ou passível de estudo no campo da linguística. Sem a fala não há uma língua de fato, não há “vida” na língua: apenas um sistema estático, “inorgânico”.
A homeostase da língua se caracteriza pela estrutura linguística subjacente: sua gramática. Não é possível conceber a existência de uma língua agramatical. Sentenças ditas agramaticais, ou seja, que não estejam de acordo com a gramática da língua por fugirem do “equilíbrio linguístico” que garante a ordem do sistema, não encontram sustentação e simplesmente desaparecem, sem sequer terem sido pronunciadas. Que as línguas crescem, ou seja, que se tornam maiores e mais complexas com o passar do tempo, é inquestionável. Basta que observemos a quantidade de neologismos surgidos quase diariamente em qualquer língua existente.
No que se refere resposta a estímulos, talvez a língua seja o melhor exemplo para estudo, uma vez que mudamos nossa forma de expressão a todo o momento: conforme os estímulos são alterados (mudanças de situação, interlocutores, o tom de um texto, etc.), a língua também se altera, tendo uma espécie de sensibilidade, própria de seres vivos. Outro ponto inquestionável é a capacidade de reprodução das línguas naturais. O português é uma das muitas línguas-filhas do latim, bem como o italiano, o francês, o espanhol, o romeno, o catalão e tantas outras línguas.
Associada à capacidade de reprodução, encontramos a capacidade de adaptação das línguas naturais. Uma vez separadas do ramo principal e isoladas geograficamente de sua língua-mãe, as variantes linguísticas se tornarão maiores e mais maduras até constituírem línguas próprias e distintas, como ocorreu com o português e o francês após a queda do Império Romano e o consequente enfraquecimento do latim.
Pois bem, Darwin descobriu um mecanismo natural que preserva as características úteis sobrevivência de um indivíduo e descarta as prejudiciais. Esse mecanismo – a seleção natural – é tão poderoso e universal que pode ser aplicado a praticamente qualquer sistema complexo. A língua de Darwin é afiada e poderosa, já que descreve o funcionamento da Natureza com precisão espantosa.
Adaptado de:MANES, P.; FIGUEIREDO, M. F. A seleção natural aplicada às línguas naturais. Disponível em: <http://www2.uol.com.br/sciam/artigos/a_lingua_de_darwin.html>. Acesso em: 30 de julho de 2014.
Assinale a alternativa que preenche corretamente as lacunas das linhas, nesta ordem.
 

Provas

Questão presente nas seguintes provas
2487623 Ano: 2014
Disciplina: Medicina
Banca: MPE-RS
Orgão: MPE-RS
Provas:
Mulher, 32 anos, apresenta eritema malar e lesões pouco dolorosas na mucosa oral. Assinale a alternativa que apresenta corretamente o conjunto de alterações clínicas que confirmaria o diagnóstico de lúpus eritematoso sistêmico.
 

Provas

Questão presente nas seguintes provas