Foram encontradas 50 questões.
Quanto ao tronco arterial comum, pode-se afirmar que
Provas
Na atresia pulmonar com septo interventricular íntegro, podemos encontrar
Provas
A operação de Jatene pode ser realizada na seguinte cardiopatia:
Provas
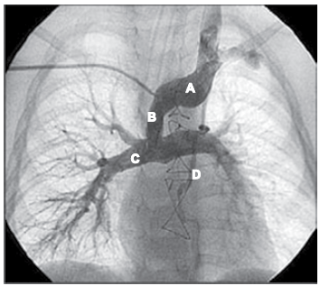
Observe a imagem.

Essa ventriculografia representa a seguinte cardiopatia congênita:
Provas
Uma adolescente de 13 anos apresenta um ecocardiograma que evidenciou uma comunicação interventricular subaórtica com insuficiência aórtica. A válvula coronariana responsável pela regurgitação aórtica é a
Provas
Em relação à atresia pulmonar com comunicação interventricular, pode-se afirmar que
Provas
Assinale a alternativa correta sobre uma criança de um dia de vida, com o diagnóstico de atresia tricúspide.
Provas
Quanto à drenagem anômala das veias pulmonares, pode- se afirmar que
Provas
Observe a cardiopatia ilustrada a seguir.

Com base na imagem, pode-se afirmar que
Provas
Observe a figura.

Essa imagem diz respeito ao seguinte procedimento cirúrgico:
Provas
Caderno Container