Foram encontradas 1.703 questões.
A demência com corpos de Lewy é caracterizada por alterações cognitivas flutuantes, alucinações visuais e, algumas vezes, transtorno depressivo. Alguns pacientes podem apresentar alterações na fisiologia do sono que podem sugerir essa doença. Assinale a alternativa que apresenta a alteração correta.
Provas
O achado de pupila de Argyll-Robertson é usualmente encontrado na(s) seguinte(s) patologia(s):
Provas
Mulher, 55 anos, hipertensa, admitida na emergência trazida por familiares devido a quadro de crises convulsivas de início há 10 minutos, sem recuperação da consciência. Familiares negam antecedente de epilepsia. Durante a estabilização clínica, apresentou novas crises tônico- -clônica generalizadas. Assinale a alternativa que contempla a correta intervenção terapêutica farmacológica inicial para essa paciente.
Provas
Paciente masculino, 30 anos, relata que há 10 dias iniciou quadro de parestesias em membros inferiores, progressiva e ascendente, com acometimento de membros superiores, 24 horas após o início dos sintomas. Cerca de 5 dias após, acordou com perda de força em membros inferiores com dificuldade para deambulação. Por este motivo, procurou o pronto-socorro. Antecedente de febre e artralgias há duas semanas. Ao exame físico, apresenta hiporreflexia profunda nos 4 membros, força muscular diminuída em membros inferiores e hipoestesia tátil e dolorosa nos 4 membros.
Assinale a alternativa que contempla corretamente a suspeita diagnóstica e a conduta inicial para esse paciente.
Provas
Assinale a alternativa que identifica corretamente a localização da área de broca.
Provas
Assinale a alternativa correta referente ao atestado médico.
Provas
Assinale a alternativa que contempla corretamente os reflexos patológicos que representam comprometimento do lobo frontal.
Provas
A presença de achados de fibrilação, onda aguda positiva e aumento na proporção de potenciais polifásicos ao exame eletroneuromiográfico de musculatura bulbar, cervical, medular torácica ou lombossacra é sugestivo de qual diagnóstico?
Provas
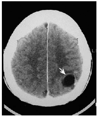
Paciente masculino, 32 anos, previamente hígido, admitido no pronto-socorro com crises convulsivas tônico- clônicas generalizadas. Realizou tomografia de crânio sem contraste em anexo. Assinale a alternativa que apresenta causa mais provável para as crises epilépticas desse paciente.

(https://www.google.com.br/url?sa=i&url=http%3A%2F% 2Fanatpat.unicamp.br%2Fradcisti1.html&psig= AOvVaw3ggRImGRRs2HpnFI_iMY6B&ust= 1627055724801000&source=images&cd=vfe&ved= 0CAsQjRxqFwoTCOiM8YqF9_ECFQAAAAAdAAAAABAD)
Provas
Paciente vítima de atropelamento é admitido no setor de emergência em prancha do SAMU, consciente, referindo perda de sensibilidade em membros inferiores. Ao exame físico, apresenta paraplegia em membros inferiores com arreflexia, anestesia completa de ambos os membros inferiores a partir de T10, sensibilidade vibratória e proprioceptivas preservadas. Qual é a síndrome medular mais provável que esse paciente apresenta?
Provas
Caderno Container