Foram encontradas 305 questões.
Wennström & Lindhe (1983) realizaram um estudo utilizando cães beagle à fim de avaliar a importância da gengiva inserida para a proteção do periodonto. Sobre a importância do tecido queratinizado para manutenção de saúde periodontal, analise as afirmativas abaixo.
I. Uma faixa de no mínimo 3 mm de tecido queratinizado é determinante para mantermos a saúde periodontal.
II. Uma faixa mínima de tecido queratinizado não determina saúde periodontal.
III. O tecido queratinizado está propenso a sinais clínicos de inflamação mais pronunciados comparado a áreas com ausência de gengiva inserida.
Assinale a alternativa correta.
Provas
Questão presente nas seguintes provas
Os mecanismos ou fenômenos biológicos do crescimento/regeneração óssea com o uso de enxertos, podem ocorrer por osteocondução, osteoindução e osteogênese. Com base nisso, analise as afirmativas a seguir:
I. _____: alcançada por osteoblastos e osteoprogenitores. O osso autógeno é o único com essa propriedade. Promove a reparação _____ dos tecidos _____ resposta imunológica e infecções cruzadas entre doador e receptor.
II. _____: estimula diferenciação celular mesenquimal em células progenitoras. A remodelação ocorre por meio de atividade _____, diferenciação celular e produção de novo osso.
III. ______: dá suporte à neoformação e crescimento ósseo. A _____ favorece a proliferação de células osteoprogenitoras e posterior aposição de tecido ósseo novo.
Assinale a alternativa que preencha correta e respectivamente as lacunas.
Provas
Questão presente nas seguintes provas
Paciente com 45 anos, trabalhador rural, refere dor lombar de forte intensidade, com piora pela manhã ao encostar os pés no chão ao levantar, associada à rigidez e irradiação para região da coxa apenas. Nega relação com esforço físico, alterações de força ou sensibilidade e mesmo em repouso mantém queixa álgica. Nega dor à palpação de quadril e à abdução de MMII. Em relação aos diagnósticos possíveis assinale a alternativa correta que explique todo seu quadro.
Provas
Questão presente nas seguintes provas
O traumatismo dentário é uma situação de urgência frequente. A ocorrência dele é frequente em crianças e adolescentes, e o primeiro atendimento ao paciente, a conduta correta frente ao trauma e a agilidade para encaminhar o caso ao especialista são de extrema importância para o prognóstico. Sobre algumas emergências médicas, analise as afirmativas abaixo e dê valores Verdadeiro (V) ou Falso (F).
( ) Fratura em esmalte é a perda parcial de esmalte. O elemento fraturado deve ser armazenado em soro fisiológico para colagem (técnica de baixo custo e de resultados estéticos satisfatórios). Também pode ser feita a restauração convencional.
( ) Fratura coronária envolvendo esmalte, dentina e polpa: O atendimento de urgência deve ocorrer em até três horas após o trauma, com intervenções menos invasivas e melhor prognóstico.
( ) Fratura de coroa e raiz é a fratura de esmalte, dentina, cemento e polpa, podendo ocorrer tanto no sentido axial como horizontal com presença de mobilidade. Se a fratura for no sentido vertical, pode-se manter o elemento radicular por meio de técnicas de reposicionamento dental. É necessário o tratamento endodôntico pelo risco de necrose pulpar. O rápido atendimento após o trauma oferece melhor prognóstico. Na fratura horizontal, o único tratamento é a extração do elemento dentário.
( ) Fratura da parede e processo alveolar envolve a parede óssea do alvéolo envolvendo ou não o elemento dental. Deve-se realizar o reposicionamento do fragmento e contenção rígida ou semirrígida por quatro semanas. Necessidade de acompanhamento odontológico depois de quatro, oito, 24 semanas a um ano.
Assinale a alternativa que apresenta a sequência correta de cima para baixo.
Provas
Questão presente nas seguintes provas
Em conformidade com os princípios constitucionais que regem o SUS, a rede de serviços de atenção à saúde bucal vem se organizando de forma a possibilitar a atenção integral (CECÍLIO; MERHY, 2003). Os Centros de Especialidades Odontológicas (CEOs) são pontos de Atenção Secundária Ambulatorial que utilizam os mecanismos de referência e contra referência, o apoio matricial e a educação permanente em saúde como instrumentos, para assegurar a integralidade do atendimento. Sobre os tipos de CEOS e suas atividades, assinale a alternativa incorreta.
Provas
Questão presente nas seguintes provas
A busca por restaurações posteriores estéticas e que sejam conservadoras e resistentes afligiu a odontologia por anos. Surge então a restauração de porcelana adesiva, inlays e onlays. Diante dessa descoberta, assinale a alternativa que apresenta corretamente as vantagens da porcelana em relação às restaurações diretas de resina composta.
Provas
Questão presente nas seguintes provas
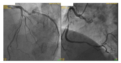
Paciente do sexo feminino, 65 anos, com antecedente de hipertensão arterial, tabagismo, diabética e com histórico familiar de doença arterial coronariana. Vem em consulta ambulatorial com histórico de angina de início há 6 meses, atualmente aos moderados esforços, CCS II (Canadian Cardiovascular Society), sem dispneia ou demais queixas. Em uso ambulatorial de aspirina 100mg ao dia, atorvastatina 40mg ao dia, metformina 850mg 3x ao dia, enalapril 20mg 2x ao dia e anlodipino 10mg ao dia. Exames laboratoriais revelam: LDL colesterol de 88 mg/dl, HDL colesterol de 51 mg/dl, triglicérides de 177 mg/dl, glicemia de jejum de 140 mg/dl e hemoglobina glicada de 7,4%. Ao exame físico, Pressão arterial de 150/70 mmHg, frequência cardíaca de 79 batimentos por minuto. Demais sem alterações.
Durante a investigação, a paciente apresentou piora da angina, atualmente em CCS III e manteve-se refratária às medicações. Realizou o cateterismo (imagem abaixo).

Analise as afirmativas abaixo:
I. Paciente apresenta lesão grave em artéria coronária direita e a revascularização percutânea dessa lesão pode ser realizada visando melhora de sintomas.
II. Paciente apresenta lesão em artéria coronária descendente anterior. O uso de métodos fisiológicos, como reserva de fluxo coronário (FFR) pode ser indicado para melhor avaliação e caso FFR menor que 0,8 a revascularização está indicado.
III. Em situações de lesões triarteriais, com acometimento de coronária descendente anterior (DA) em porção proximal, há indicação de revascularização. Deve-se calcular o Synthax escore e caso ele for maior que 32, há indicação de revascularização percutânea (via hemodinâmica) e caso menor que 32, há indicação de revascularização cirúrgica.
IV. Independente do tipo de revascularização a ser indicada (percutânea ou cirúrgica), o paciente deve receber dupla antiagregação plaquetária por 1 ano, com indicação Classe IA de diretrizes.
Assinale a alternativa correta.
Provas
Questão presente nas seguintes provas
O pulso venoso é uma onda de volume que reflete a dinâmica do retorno venoso ao coração direito. As ondas observadas no pulso venoso jugular, traduzem as mudanças de volume que ocorrem no átrio direito e a cada momento do ciclo cardíaco. O vaso que melhor reflete às alterações pressóricas cardíacas é a veia jugular interna direita, pois é uma linha reta com a veia cava superior e por não sofrer alteração de fluxo por compressão pela artéria aorta.

Faça a associação entre a onda/descenso (letras A a E) e a sua respectiva definição (números I a V):
A. Onda A
B. Onda C
C. Descenso X
D. Onda V
E. Descenso Y
I. Reflete o aumento pressórico devido ao enchimento atrial direito na diástole atrial, com a valva tricúspide fechada. Ocorre ao final da sístole ventricular junto ao descenso do pulso carotídeo.
II. Corresponde ao aumento da pressão atrial direita pela sístole atrial. Ocorre imediatamente antes da primeira bulha cardíaca (B1) e da ejeção ventricular (pulso carotídeo).
III. Corresponde à queda da pressão do átrio direito pela abertura da valva tricúspide e ao esvaziamento para o ventrículo direito.
IV. Corresponde ao aumento da pressão devido à protusão retrógada da valva tricúspide pelo aumento da pressão ventricular no início da sístole. Ocorre logo após a primeira bulhar (B1).
V. Ocorre devido à queda de pressão pelo relaxamento atrial direito e pela movimentação valvar tricuspídea para baixo na sístole ventricular.
Assinale a alternativa que apresenta a correlação correta entre a onda/descenso (letras A a E) com a sua respectiva definição (números I a V).
Provas
Questão presente nas seguintes provas
Transtornos psicóticos podem ter causas orgânicas associadas. Em relação às opções de psicose de causa orgânica e opções terapêuticas adequadas, assinale a alternativa correta quanto ao quadro clínico e tratamento.
Provas
Questão presente nas seguintes provas
Atualizações diagnósticas no DSM-5 promoveram mudanças nos sistemas classificatórios de diversos transtornos, especialmente pela perspectiva dimensional. Isso se aplica a alterações do neurodesenvolvimento. Dessa forma, com relação ao transtorno de déficit de atenção/ hiperatividade (TDAH) e sua classificação diagnóstica segundo o DSM-5 assinale alternativa correta.
Provas
Questão presente nas seguintes provas
Cadernos
Caderno Container