Foram encontradas 556 questões.
No acesso retromandibular é CORRETO afirmar que:
Provas
Questão presente nas seguintes provas
Em relação à icterícia obstrutiva, é CORRETO afirmar que:
Provas
Questão presente nas seguintes provas
Em relação à densidade óssea e o efeito das abordagens cirúrgicas para implante, é CORRETO afirmar que:
Provas
Questão presente nas seguintes provas
Sobre a Hanseniase, marque a alternativa INCORRETA:
Provas
Questão presente nas seguintes provas
Sobre as oclusões arteriais agudas, é CORRETO afirmar que:
Provas
Questão presente nas seguintes provas
Em relação ao paciente idoso, marque a alternativa INCORRETA:
Provas
Questão presente nas seguintes provas
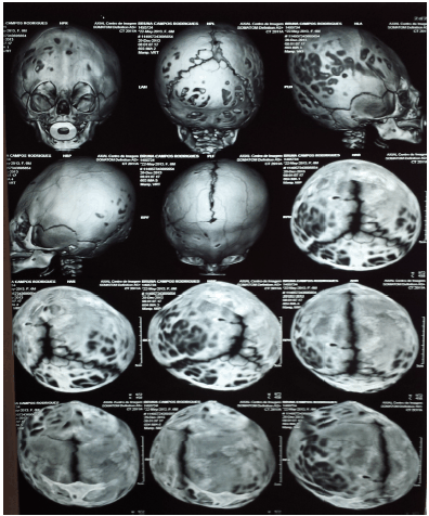
Criança de 9 meses, prematura de 30 semanas de idade gestacional, encaminhada para avaliação neurológica devido a um atraso do desenvolvimento neuropsicomotor leve. Foi solicitada uma tomografia de crânio que se vê abaixo.

A abordagem da doença detectada ao exame consiste em:
Provas
Questão presente nas seguintes provas
O uso de anestésico SEM vasoconstrictor é uma solicitação frequente quando se trata de pacientes que requerem cuidados especiais. O uso de anestésico SEM vasoconstrictor está indicado nos pacientes que se enquadram em qual situação abaixo?
Provas
Questão presente nas seguintes provas
Sobre as anormalidades da morfologia dentária, marque nas assertivas abaixo, “V” para as verdadeiras e “F” para as falsas. Em seguida, marque a alternativa que contém a sequência de respostas CORRETA, na ordem de cima para baixo.
( ) Geminação é a divisão completa de um único germe dentário, criando dois dentes.
( ) Concrescência é a união do cemento celular de dois dentes, a partir de dois germes dentários.
( ) Maclação é a divisão incompleta de um germe dentário.
( ) Fusão é a união da dentina de dois dentes, a partir de dois germes dentários.
Provas
Questão presente nas seguintes provas
Durante a reanimação cardiorrespiratória da criança, se for registrado - na curta pausa para observação do monitor - ritmo regular taquicárdico com QRS alargado, a conduta CORRETA a ser tomada na sequência é:
Provas
Questão presente nas seguintes provas
Cadernos
Caderno Container