Foram encontradas 931 questões.
Sobre a trombocitopenia induzida por heparina (TIH), marque a alternativa CORRETA:
Provas
Na rabdomiólise, classicamente manifesta por dor, fraqueza e inchaço muscular pode ocorrer:
Provas
Na investigação de derrame pleural, pode-se confirmar o diagnóstico de tuberculose pleural se demonstrado Mycobacterium tuberculosis no líquido pleural ou na biópsia da pleura. Marque a alternativa que descreve um cenário no qual, mesmo sem a identificação direta da micobactéria, estaria indicado iniciar tratamento com o diagnóstico presuntivo de tuberculose:
Provas
O controle da disseminação de infecção pelo Clostridioides difficile (previamente denominado Clostridium difficile) em ambiente hospitalar tem sido um desafio permanente, sobretudo em ambientes de Terapia Intensiva.
Marque a alternativa CORRETA:
Provas
A classificação da gravidade do pé diabético pode ser feita com base em vários escores. O sistema WIfI (Wound / Ischemia / foot infeccion) leva em consideração características da ferida, presença e gravidade de isquemia e o grau de infecção.
Marque a alternativa CORRETA sobre esta classificação:
Provas
O espectro clínico da febre amarela inclui a infecção subclínica, a forma chamada abortiva, caracterizada por doença febril inespecífica sem icterícia, e a forma grave, ameaçadora da vida, com febre, icterícia, insuficiência renal e hemorragia.
Sobre esta doença marque a alternativa CORRETA:
Provas
Sobre a leptospirose, marque a alternativa CORRETA:
Provas
Paciente mulher, de 48 anos, branca, natural e procedente de Belo Horizonte – MG, com queixas de febre intermitente há 1 mês. Ela relata episódios de temperatura superior a 39°C, com calafrios, perda de peso e fadiga. Ela mora e trabalha na zona urbana e tem contato contínuo com animais domésticos, como cães e gatos, porém ambos “saudáveis e vacinados”. Apresenta “sopro cardíaco” e “valva aórtica bicúspide”, faz acompanhamento com cardiologista.
Foram solicitados vários exames, dentre eles três amostras de hemoculturas, que foram negativas (ausência de crescimento bacteriano).
Marque a alternativa CORRETA:
Provas
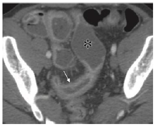
Homem de 29 anos de idade, tabagista, com emagrecimento significativo, dor no quadrante inferior direito do abdome e diarreia recorrentes, admitido no Pronto Atendimento em mal estado geral, 5 evacuações líquidas por dia, febre de 38,2ºC, dor intensa no quadrante inferior direito do abdome, anemia importante, leucocitose, proteína C reativa e calprotectina fecal aumentadas. Além disso, o exame físico revelou lesões compatíveis com eritema nodoso em membros inferiores.
A Figura 1 é representativa dos achados da tomografia computadorizada do abdome realizada na urgência.

Figura 1. Fonte: RadioGraphics 2018; 38:1352–1369
Para este paciente a melhor conduta É:
Provas
Uma mulher de 37 anos está em investigação por quadro de fadiga, mal estar inespecífico, perda de peso não intencional, poliartralgia e eritema malar, com cerca de 3 meses de evolução. Já documentados em seus exames anemia normocítica e normocrômica, com reticulócitos aumentados, elevação de bilirrubinas, haptoglobina reduzida, teste de Coombs direto positivo, FAN (fator antinuclear) positivo em títulos 1:320, complemento sérico reduzido. Ainda sem início de tratamento, procura o Pronto Atendimento por edema de face e membros associado a dispneia aos mínimos esforços. A urina coletada na urgência revelava proteinúria, hematúria, cilindros eritrocitários.
O melhor tratamento para esta paciente é:
Provas
Caderno Container