Foram encontradas 80 questões.
Existem três formas para ocorrência de hipernatremia: perda de água livre; perda hipotônica de sódio; ou, ganho hipertônico de sódio. Assinale, a seguir, uma forma de ganho hipertônico de sódio.
Provas
Considerando a muscular extraocular, assinale, a seguir, o músculo inervado pelo VI par craniano (nervo abducente).
Provas
Sobre o plexo braquial, qual o nervo sensitivo originário do nervo musculocutâneo?
Provas
Sobre o nervo fibular superficial, assinale a afirmativa correta.
Provas
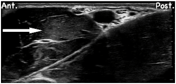
Observe a imagem relacionada ao bloqueio de plexo braquial ao nível axilar:

O músculo destacado pela seta é o:
Provas
Observe a imagem relacionada ao bloqueio do plexo braquial ao nível axilar:

O nervo destacado pela seta é o:
Provas
Considerando os fármacos agonistas-antagonistas opioides, assinale, a seguir, o fármaco desta classe com maior potência analgésica.
Provas
Considerando os fármacos e sua contraindicação em pacientes portadores de Porfiria Aguda Intermitente, qual o único fármaco seguro nestes pacientes?
Provas
Considerando a depressão ventilatória causada pelos fármacos, NÃO possui efeito depressor ventilatório em pacientes com doença pulmonar obstrutiva crônica:
Provas
Sobre o score de Child-Pugh modificado para o risco cirúrgico de paciente cirrótico, considere determinado paciente com albumina de 3 g/dL; ausência de ascite ou encefalopatia; RNI de 2,5; e, bilirrubina 2,5mg/dL. “É correto afirmar que tal paciente apresenta score de pontos; portanto, Classe ”. Assinale a alternativa que completa correta e sequencialmente a afirmativa anterior.
Provas
Caderno Container