Foram encontradas 660 questões.
Paciente de 77 anos, sexo feminino, com antecedente de hipertensão arterial e insuficiência cardíaca (IC) de etiologia hipertensiva de fração de ejeção reduzida (FEVE 25%) foi internada na UTI após choque cardiogênico às custas de uma IC descompensada por uma sepse de foco urinário. No 5º dia de internação, evolui já extubada, em Glasgow 15, com desmame de noradrenalina. Atualmente em uso de dobutamina 7,5mcg/kg/min apenas, sem vasopressor. Ao final do plantão, você é chamado, pois a paciente exibe sinais de baixo débito e má perfusão periférica, mantendo a dose do inotrópico. Ao exame clínico, sonolenta, TEC lentificado, estertores basais à ausculta pulmonar, ausculta cardíaca normal. FR 20, SatO2 94% em ar ambiente, FC 115, PA 140x104 (PAM 116).
Assinale a opção que indica a melhor conduta para o caso descrito.
Provas
Sobre as condutas que reduzem a mortalidade nos paciente com Síndrome do Desconforto Respiratório do Adulto (SDRA), analise as afirmativas a seguir.
I. Ventilação mecânica protetora, com volumes correntes de até 6mL/kg e pressão de plateau até 30cmH2O, para os pacientes com esse diagnóstico e que são intubados.
II. Óxido nítrico inalatório para os pacientes com SDRA grave, com relação PaO2/FiO2 < 100.
III. Recrutamento alveolar para os pacientes com SDRA grave, com relação PaO2/FiO2 < 100.
Está correto o que se afirma em
Provas
Paciente de 50 anos do sexo feminino é transferida para UTI proveniente de Pronto Socorro de outro serviço, com relato de insuficiência respiratória aguda e necessidade de intubação orotraqueal. Relato de ventilação mecânica difícil. À admissão, optado por instalar capnografia em forma de onda, exibindo o seguinte traçado:

Assinale a opção que indica a medicação que provavelmente melhorará o quadro clínico da paciente, considerando o traçado da capnografia.
Provas
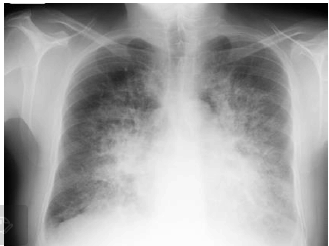
Paciente de 66 anos, do sexo masculino, com antecedente de hipertensão, dá entrada no Pronto Socorro com quadro de dispneia de instalação em horas, após comparecer a churrasco.
Admitido prontamente na UTI, apresenta os seguintes sinais vitais: FC 120, PA 210x120, FR 46, SatO2 90% em máscara de O2. Apresenta, ainda, a seguinte radiografia de tórax:

O paciente foi intubado, iniciada ventilação mecânica invasiva com os seguintes parâmetros em pressão controlada: PEEP 10, PC 15, FR 25, FiO2 100%. Coletada gasometria arterial com o seguinte resultado: pH 7,4, pCO2 40, HCO3 24, pO2 105, SatO2 98%. Tendo em vista os critérios de Berlin para diagnóstico de Síndrome do Desconforto Respiratório do Adulto, esse paciente não se encaixa no seguinte critério:
Provas
Pacientes submetidos à posição prona em UTI no caso de Síndromes do Desconforto Respiratório do Adulto moderadas a graves (relação PaO2/FiO2 < 150) apresentam menor mortalidade que os pacientes mantidos em posição supina. Assinale a opção que indica o parâmetro que, após a prona, avaliado individualmente em cada paciente, indica menor letalidade com essa conduta.
Provas
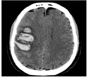
Paciente de 25 anos, do sexo feminino, usuária de anticoncepcional oral combinado, obesa, tabagista, sem outras comorbidades.
Internada na UTI com relato de cefaleia progressiva, em peso, com piora nas últimas 24h, agora bastante intensa e associada a náuseas e a vômitos.
Diante desse caso, foi realizada a tomografia de crânio que gerou a imagem a seguir.

A conduta adequada para essa doente é o(a)
Provas
Com relação aos pacientes com meningite bacteriana por Pneumococo na UTI, analise as afirmativas a seguir.
I. Esses pacientes devem receber dexametasona 10mg a cada 6 horas durante 4 dias – a primeira dose deve ser idealmente iniciada antes do início da antibioticoterapia.
II. Nos Estados Unidos é indicado o uso de vancomicina para esses pacientes, mas como Pneumococos intermediários a ceftriaxona são raros no Brasil, o tratamento com ceftriaxona em dose dobrada é suficiente para o manejo dessa condição na grande maioria dos casos.
III. Nesses casos, não é necessária a precaução respiratória para gotículas.
Estão corretas:
Provas
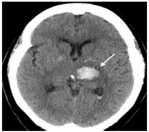
Paciente de 65 anos, do sexo masculino, com antecedente de hipertensão arterial mal controlada e diabetes, é admitido na UTI com o diagnóstico de acidente vascular cerebral hemorrágico de etiologia hipertensiva.
Ao ser admitido, apresenta-se em Glasgow 15, hemiplégico à direita, disártrico e com paralisia facial de padrão central, sem outras alterações ao exame neurológico. Encontra-se ainda com FC 65, PA 190x110, FR 18, SatO2 97% em ar ambiente e com glicemia capilar de 350mg/dL.
A imagem a seguir ilustra uma tomografia de crânio realizada no Pronto Socorro.

Na prescrição deste paciente da UTI devem constar os seguintes itens, à exceção de um. Assinale-o.
Provas
A utilização de fenitoína profilática em pacientes com traumatismo craniano é feita de maneira bastante criteriosa nas unidades de terapia intensiva e tem o objetivo de reduzir a incidência de crises convulsivas nessa população.
Quando indicada, ela deve ser prescrita pelo período de
Provas
Paciente de 50 anos, sexo masculino, vítima de acidente automobilístico, é internado na unidade de terapia intensiva com diagnóstico de traumatismo craniano grave.
No terceiro dia de internação, encontra-se intubado, com planejamento de desmame de sedação para avaliação de nível neurológico. Durante tal desmame, apresenta movimentos tônicos, taquicardia, taquipneia, hipertermia e hipertensão aos mínimos estímulos, caracterizando uma síndrome de hiperatividade simpática paroxística.
Para tal entidade, as opções a seguir apresentam escolhas de medicação válidas, à exceção de uma. Assinale-a.
Provas
Caderno Container