Foram encontradas 1.120 questões.
A presença de anticorpos reagentes para o vírus da hepatite C indica
Provas
Em atenção à dosagem do antígeno carcino-embrionário (CEA), é incompatível a afirmação de que
Provas
Na suspeita de diverticulite, a maior sensibilidade para o diagnóstico é obtida por meio de
Provas
A complicação mais prevalente em portador de moléstia diverticular, forma hipotônica, é
Provas
Portador de ileite de Crohn apresenta litíase vesicular em exame ultrassonográfico abdominal de rotina. A maior incidência dessa patologia, nesses pacientes, é devida a
Provas
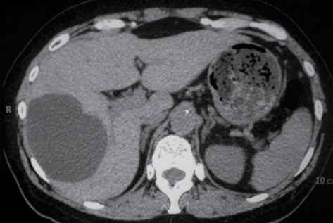
Observe a imagem a seguir.

O corte tomográfico computadorizado abdominal sugere
Provas
Paciente de 43 anos permaneceu com sonda nasogástrica por 12 dias após trauma abdominal e, três semanas após a retirada da sonda, passou a apresentar disfagia a alimentos sólidos. A investigação diagnóstica inicial implica em
Provas
A principal causa de pancreatite aguda nas mulheres é
Provas
Paciente procura pronto-socorro, com dor no rebordo costal direito, acompanhado de febre, vômitos e sinal de irritação peritoneal local. O ultrassom imediato revela litíase vesicular, paredes espessadas e líquido perivesicular com reação dolorosa ao transdutor. Assinale a alternativa que apresenta a conduta correta.
Provas
Na investigação das patologias digestivas que cursam com sintomas compatíveis com patologias gastroduodenais, o exame parasitológico das fezes se justifica pela possibilidade de
Provas
Caderno Container