Magna Concursos

Foram encontradas 29 questões.

318812 Ano: 2019
Disciplina: Medicina
Banca: COTEC
Orgão: Pref. Almenara-MG
Provas:

Antônio Carlos, 60 anos, tabagista 40 anos-maço, realiza TC de tórax como prevenção secundária para câncer de pulmão. No exame, foi observado nódulo de 6 mm, em vidro fosco, sem componente sólido, em lobo superior direito. Qual a recomendação CORRETA para esse paciente?

 

Provas

Questão presente nas seguintes provas
318811 Ano: 2019
Disciplina: Medicina
Banca: COTEC
Orgão: Pref. Almenara-MG
Provas:

JJ, 12 anos, morador de zona rural, ao retornar da escola, percebeu ter sido picado por animal não visualizado por ele, no membro inferior esquerdo. Em 4 horas, o quadro evoluiu para turvação visual e alteração da ectoscopia, conforme imagem abaixo:

enunciado 1960523-1

enunciado 1960523-2

Qual o achado laboratorial comumente encontrado pela ação do veneno desse animal?

 

Provas

Questão presente nas seguintes provas
318810 Ano: 2019
Disciplina: Medicina
Banca: COTEC
Orgão: Pref. Almenara-MG
Provas:

Sr.ª AM, 28 anos, motorista de aplicativo, procurou assistência da clínica médica com quadro de febre persistente, dor em abdômen superior, perda ponderal de 2 kg em 3 semanas, além de queda do estado geral. Ao exame clínico, a paciente apresentava palidez cutânea e esplenomegalia.

Baseando na história clínica de Sr.ª AM, assinale a alternativa INCORRETA.

 

Provas

Questão presente nas seguintes provas
318809 Ano: 2019
Disciplina: Medicina
Banca: COTEC
Orgão: Pref. Almenara-MG
Provas:

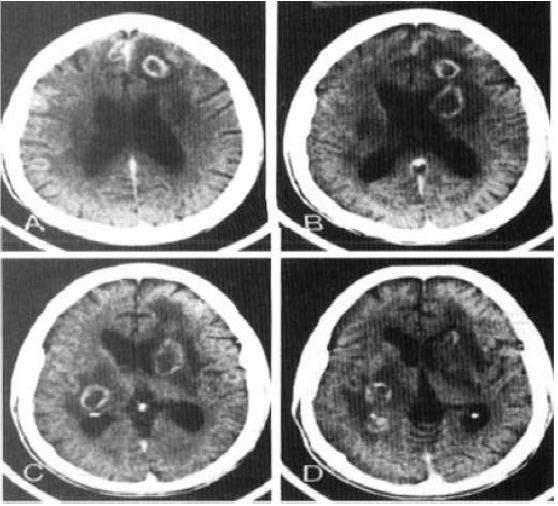
Sr. FS, 39 anos, convive com HIV há 10 anos, faz uso irregular de terapia antirretroviral e não sabe referir seu último CD4 dosado. Ele procura atendimento no pronto-socorro por quadro de rebaixamento do nível de consciência há três dias, associado à intensa cefaleia. Apresentou três episódios de convulsões tônico-clônicas generalizadas. O exame neurológico simplificado demonstrou hemiparesia à esquerda, Glasgow 13, sem sinais de irritação meníngea e com fundo de olho normal. Foi realizada tomografia, de acordo com a imagem a seguir:

enunciado 1960521-1

Considere que a principal hipótese diagnóstica foi confirmada. Qual deve ser a conduta CORRETA?

 

Provas

Questão presente nas seguintes provas
318808 Ano: 2019
Disciplina: Medicina
Banca: COTEC
Orgão: Pref. Almenara-MG
Provas:

Edileuza, 64 anos, tabagista e diabética, procura serviço de pronto atendimento com dor precordial há 2 horas e PA = 149x96 mmHg. A paciente realiza eletrocardiograma, conforme imagem a seguir:enunciado 1960520-1

Após a realização do eletrocardiograma, o plantonista institui algumas condutas terapêuticas. Porém, após a utilização de uma das medicações, o quadro de Edileuza evolui para hipotensão acentuada, mal-estar generalizado e sintomas de baixo débito, sem rash cutâneo ou angioedema. Qual medicação poderia justificar o quadro dessa paciente?

 

Provas

Questão presente nas seguintes provas
318807 Ano: 2019
Disciplina: Medicina
Banca: COTEC
Orgão: Pref. Almenara-MG
Provas:

Sr. JG, 60 anos, procura o serviço hospitalar com falta de ar e dor torácica iniciada há 40 minutos. Referiu que, na véspera, começou a se sentir mal e esteve no mesmo hospital, quando foi examinado e realizou radiografia de tórax e eletrocardiograma. Na ocasião, os médicos lhe disseram que não encontraram anormalidades relevantes e deram alta a ele, que foi para casa. O paciente possui histórico de tabagismo crônico. Exame físico: FC = 134 bpm, FR+ 36irpm, PA = 89x58 mmHg, Oximetria = 85%, sudorético. AR = murmúrio vesicular fisiológico, sem ruídos adventícios; ACV: bulhas rítmicas e fonéticas. Seguem abaixo as imagens do ECG e TC de tórax.

enunciado 1960519-1

Qual a conduta CORRETA para esse paciente?

 

Provas

Questão presente nas seguintes provas
318806 Ano: 2019
Disciplina: Medicina
Banca: COTEC
Orgão: Pref. Almenara-MG
Provas:

A reposição de levotiroxina (LT4) constitui tratamento consagrado do hipotireoidismo, independentemente da sua etiologia. Muitas drogas e várias situações clínicas afetam a farmacocinética e o metabolismo do hormônio tireoidiano; por exemplo, absorção, síntese, secreção, catabolismo, ligação proteica e resposta do tecido-alvo, reduzindo a resposta terapêutica a LT4. Em qual das alternativas a seguir encontramos situações em que NÃO há necessidade de aumento da dose de levotiroxina?

 

Provas

Questão presente nas seguintes provas
318805 Ano: 2019
Disciplina: Medicina
Banca: COTEC
Orgão: Pref. Almenara-MG
Provas:

O Sr. FB, 72 anos, portador de cardiopatia chagásica dilatada com fração de ejeção de 42% e aumento de ventrículo esquerdo, comparece à unidade de saúde. O paciente informa uso de captopril, carvedilol, furosemida e digoxina, há 6 meses, e relata que vem notando, nas últimas semanas, visão amarelada, anorexia e náuseas. Qual propedêutica laboratorial pode contribuir para justificar o quadro clínico apresentado pelo Sr. FB?

 

Provas

Questão presente nas seguintes provas
318804 Ano: 2019
Disciplina: Medicina
Banca: COTEC
Orgão: Pref. Almenara-MG
Provas:

A Sr.ª MK, 57 anos, comparece à consulta médica para tratamento de diabetes mellitus. Histórico de dislipidemia, hipertensão arterial e tabagismo crônico. Faz uso de 1000mg de metformina, 20 mg de enalapril e 20 mg de sinvastatina por dia, há 6 meses. Exame físico: PA = 134x84 mmHg, FC = 90 bpm, IMC = 29 kg/m2. Exames laboratoriais: glicemia de jejum = 147 mg/dl, hemoglobina glicada = 8,1%, LDL-colesterol = 135 mg/dl; triglicérides = 176mg/dl; creatinina = 1,2 mg/dl; relação albumina/creatinina urinária = 360 mg/24h e TFG (CKD-EPI) 56 ml/min. Qual a conduta CORRETA para esse caso?

 

Provas

Questão presente nas seguintes provas
318803 Ano: 2019
Disciplina: Medicina
Banca: COTEC
Orgão: Pref. Almenara-MG
Provas:

De acordo com a Lei Orgânica da Saúde, Lei n.º 8.080/1990, o Sistema Único de Saúde (SUS) pode se organizar em distritos de forma a integrar e articular recursos, técnicas e práticas voltadas para a cobertura total das ações de saúde, no nível

 

Provas

Questão presente nas seguintes provas