Foram encontradas 120 questões.

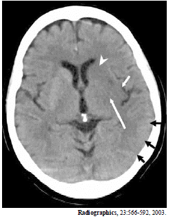
A imagem acima é de uma paciente de 65 anos de idade, com hemiplegia direita há cinco horas. Com base nessa imagem, é correto afirmar que
a cabeça de flexa indica o núcleo caudado.
Provas

A imagem acima é de uma paciente de 65 anos de idade, com hemiplegia direita há cinco horas. Com base nessa imagem, é correto afirmar que
as flechas negras indicam edema cortical no lobo occipital.
Provas

A radiografia acima é de um paciente do sexo masculino, com 25 anos de idade, com queixa de dores no joelho. Considerando essa imagem, é correto afirmar que
fibroma não ossificante é um diagnóstico diferencial adequado.
Provas

A radiografia acima é de um paciente do sexo masculino, com 25 anos de idade, com queixa de dores no joelho. Considerando essa imagem, é correto afirmar que
a lesão é do tipo metafisária.
Provas

A radiografia acima é de um paciente do sexo masculino, com 25 anos de idade, com queixa de dores no joelho. Considerando essa imagem, é correto afirmar que
a lesão tem aspecto de benignidade.
Provas

A radiografia acima é de um paciente do sexo masculino, com 25 anos de idade, com queixa de dores no joelho. Considerando essa imagem, é correto afirmar que
a lesão é predominantemente blástica.
Provas

A radiografia acima é de um paciente do sexo masculino, com 25 anos de idade, com queixa de dores no joelho. Considerando essa imagem, é correto afirmar que
o diagnóstico mais provável é de tumor de células gigantes.
Provas

A radiografia acima é de um paciente do sexo masculino, com 25 anos de idade, com queixa de dores no joelho. Considerando essa imagem, é correto afirmar que
a lesão situa-se na medular.
Provas

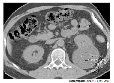
A figura acima mostra um corte de tomografia computadorizada de um homem com 47 anos de idade. Considerando essa imagem e as patologias a ela associadas, julgue os seguintes itens.
Quando a tomografia indica suspeição em um nódulo renal, a biópsia percutânea é recomendada.
Provas

A figura acima mostra um corte de tomografia computadorizada de um homem com 47 anos de idade. Considerando essa imagem e as patologias a ela associadas, julgue os seguintes itens.
Cistos renais são normalmente assintomáticos.
Provas
Caderno Container